• 文献检索
  • 文档翻译
  • 深度研究
  • 学术资讯
  • Suppr Zotero 插件Zotero 插件
  • 邀请有礼
  • 套餐&价格
  • 历史记录
应用&插件
Suppr Zotero 插件Zotero 插件浏览器插件Mac 客户端Windows 客户端微信小程序
定价
高级版会员购买积分包购买API积分包
服务
文献检索文档翻译深度研究API 文档MCP 服务
关于我们
关于 Suppr公司介绍联系我们用户协议隐私条款
关注我们

Suppr 超能文献

核心技术专利:CN118964589B侵权必究
粤ICP备2023148730 号-1Suppr @ 2026

文献检索

告别复杂PubMed语法,用中文像聊天一样搜索,搜遍4000万医学文献。AI智能推荐,让科研检索更轻松。

立即免费搜索

文件翻译

保留排版,准确专业,支持PDF/Word/PPT等文件格式,支持 12+语言互译。

免费翻译文档

深度研究

AI帮你快速写综述,25分钟生成高质量综述,智能提取关键信息,辅助科研写作。

立即免费体验

中间分化型松果体实质肿瘤:一种罕见的松果体区肿瘤鉴别诊断。

Pineal parenchymal tumour of intermediate differentiation: a rare differential diagnosis of pineal region tumours.

作者信息

Yoon Daniel J, Park James, Lezama Lhara M, Heller Gordon D

机构信息

Department of Radiology, Mount Sinai West Hospital Center of the Icahn School of Medicine, New York, NY, USA.

Department of Pathology, Mount Sinai West Hospital Center of the Icahn School of Medicine, New York, NY, USA.

出版信息

BJR Case Rep. 2016 Nov 2;2(4):20150371. doi: 10.1259/bjrcr.20150371. eCollection 2016.

DOI:10.1259/bjrcr.20150371
PMID:30460022
原文链接:https://pmc.ncbi.nlm.nih.gov/articles/PMC6243328/
Abstract

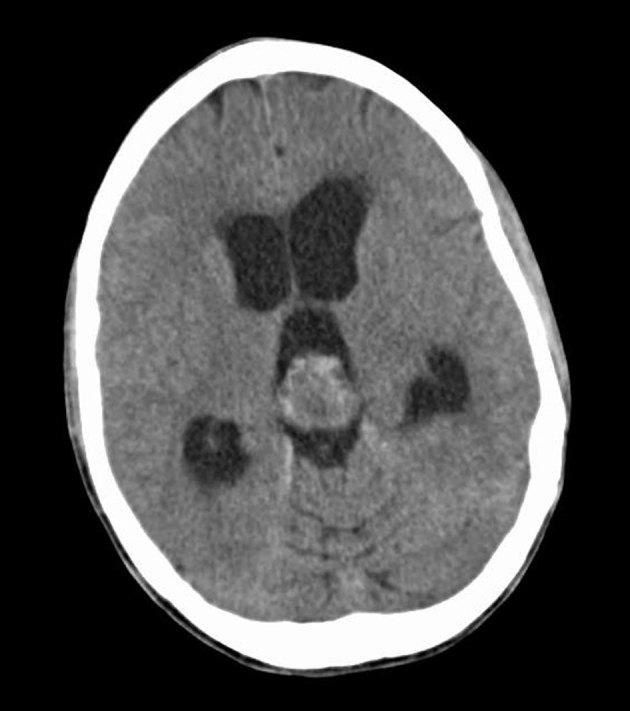
Pineal parenchymal tumours of intermediate differentiation are a rare type of pineal parenchymal tumours. As indicated by their name, these tumours fall between pineoblastoma (a malignant pineal parenchymal tumour) and pineocytoma (a benign pineal parenchymal tumour). In this article, we present a case of pineal parenchymal tumour of intermediate differentiation that was successfully treated by resection the supracerebellar approach. We also discuss the differential consideration based on epidemiological, pathological and radiological findings.

摘要

中间分化型松果体实质肿瘤是一种罕见的松果体实质肿瘤。顾名思义,这些肿瘤介于松果体母细胞瘤(一种恶性松果体实质肿瘤)和松果体细胞瘤(一种良性松果体实质肿瘤)之间。在本文中,我们报告了一例通过小脑上入路切除成功治疗的中间分化型松果体实质肿瘤病例。我们还根据流行病学、病理学和影像学结果讨论了鉴别诊断。

https://cdn.ncbi.nlm.nih.gov/pmc/blobs/c968/6243328/f99c75e7c152/bjrcr.20150371.g004.jpg
https://cdn.ncbi.nlm.nih.gov/pmc/blobs/c968/6243328/f83565a1ea82/bjrcr.20150371.g001.jpg
https://cdn.ncbi.nlm.nih.gov/pmc/blobs/c968/6243328/220cae60702f/bjrcr.20150371.g002.jpg
https://cdn.ncbi.nlm.nih.gov/pmc/blobs/c968/6243328/236fe99b3eb7/bjrcr.20150371.g003.jpg
https://cdn.ncbi.nlm.nih.gov/pmc/blobs/c968/6243328/f99c75e7c152/bjrcr.20150371.g004.jpg
https://cdn.ncbi.nlm.nih.gov/pmc/blobs/c968/6243328/f83565a1ea82/bjrcr.20150371.g001.jpg
https://cdn.ncbi.nlm.nih.gov/pmc/blobs/c968/6243328/220cae60702f/bjrcr.20150371.g002.jpg
https://cdn.ncbi.nlm.nih.gov/pmc/blobs/c968/6243328/236fe99b3eb7/bjrcr.20150371.g003.jpg
https://cdn.ncbi.nlm.nih.gov/pmc/blobs/c968/6243328/f99c75e7c152/bjrcr.20150371.g004.jpg

相似文献

1
Pineal parenchymal tumour of intermediate differentiation: a rare differential diagnosis of pineal region tumours.中间分化型松果体实质肿瘤:一种罕见的松果体区肿瘤鉴别诊断。
BJR Case Rep. 2016 Nov 2;2(4):20150371. doi: 10.1259/bjrcr.20150371. eCollection 2016.
2
Surgical treatment of a mixed pineocytoma/pineoblastoma in a 72-year-old patient.一名72岁患者混合性松果体细胞瘤/松果体母细胞瘤的外科治疗
Acta Neurochir (Wien). 2002 Apr;144(4):389-93. doi: 10.1007/s007010200055.
3
Pineal parenchymal tumours and pineal cysts.松果体实质肿瘤和松果体囊肿。
Neurochirurgie. 2015 Apr-Jun;61(2-3):123-9. doi: 10.1016/j.neuchi.2013.04.003. Epub 2014 Jun 27.
4
Pineocytoma with malignant transformation to pineal parenchymal tumor with intermediate differentiation and leptomeningeal dissemination after subtotal tumor resection and adjuvant radiotherapy.松果体细胞瘤在肿瘤次全切除及辅助放疗后发生恶性转化,转变为中间分化的松果体实质肿瘤并伴有软脑膜播散。
Indian J Pathol Microbiol. 2023 Jan-Mar;66(1):141-144. doi: 10.4103/ijpm.ijpm_817_21.
5
The cytological differentiating potential of pineal parenchymal neoplasms (true pinealomas). A clinicopathological study of 28 tumours.松果体实质肿瘤(真性松果体瘤)的细胞分化潜能。28例肿瘤的临床病理研究
Brain. 1979 Jun;102(2):289-320. doi: 10.1093/brain/102.2.289.
6
Pathology of pineal parenchymal tumors.松果体实质肿瘤的病理学。
Neurosurg Clin N Am. 2011 Jul;22(3):335-40, vii. doi: 10.1016/j.nec.2011.05.006. Epub 2011 Jun 16.
7
Patterns of care and survival outcomes in patients with pineal parenchymal tumor of intermediate differentiation: An individual patient data analysis.松果体实质肿瘤中度分化患者的治疗模式和生存结局:一项个体患者数据分析。
Radiother Oncol. 2016 Nov;121(2):204-208. doi: 10.1016/j.radonc.2016.10.025. Epub 2016 Nov 16.
8
Therapeutic strategy for pineal parenchymal tumor of intermediate differentiation (PPTID): case report of PPTID with malignant transformation to pineocytoma with leptomeningeal dissemination 6 years after surgery.松果体中间分化型实质肿瘤(PPTID)的治疗策略:1例术后6年发生恶性转化为松果细胞瘤并伴有软脑膜播散的PPTID病例报告
J Neurosurg. 2018 Jul 20;130(6):2009-2015. doi: 10.3171/2018.2.JNS171876. Print 2019 Jun 1.
9
SNO-EANO-EURACAN consensus on management of pineal parenchymal tumors.SNO-EANO-EURACAN关于松果体实质肿瘤管理的共识
Neuro Oncol. 2024 Dec 5;26(12):2159-2173. doi: 10.1093/neuonc/noae128.
10
Pineal Parenchymal Tumors With Intermediate Differentiation to Pineoblastoma: A Transitional Neuroectodermal Tumor of the Pineal Gland.具有向松果体母细胞瘤中等分化的松果体实质肿瘤:一种松果体的过渡性神经外胚层肿瘤。
Cureus. 2023 May 3;15(5):e38495. doi: 10.7759/cureus.38495. eCollection 2023 May.

引用本文的文献

1
Pineal Parenchymal Tumors of Intermediate Differentiation: A Case Report and Literature Review.中间分化型松果体实质肿瘤:1例报告及文献复习
Cureus. 2023 Dec 7;15(12):e50139. doi: 10.7759/cureus.50139. eCollection 2023 Dec.
2
Case report: Implantation metastasis following stereotactic biopsy of pineal parenchymal tumor of intermediate differentiation in an adult patient: An exceptionally rare complication.病例报告:一名成年患者松果体实质中间分化型肿瘤立体定向活检后发生种植转移:一种极其罕见的并发症。
Front Neurol. 2022 Nov 17;13:1019955. doi: 10.3389/fneur.2022.1019955. eCollection 2022.
3
Pineal parenchymal tumor of intermediate differentiation: a systematic review and contemporary management of 389 cases reported during the last two decades.

本文引用的文献

1
Distinguishing between germinomas and pineal cell tumors on MR imaging.在磁共振成像上鉴别生殖细胞瘤与松果体细胞瘤。
AJNR Am J Neuroradiol. 2012 Mar;33(3):550-5. doi: 10.3174/ajnr.A2806. Epub 2011 Dec 15.
2
Surgical approaches to the pineal region.松果体区域的手术入路。
Neurosurg Clin N Am. 2011 Jul;22(3):367-80, viii. doi: 10.1016/j.nec.2011.05.007.
3
Pineal parenchymal tumor of intermediate differentiation: imaging spectrum of an unusual tumor in 11 cases.松果体实质肿瘤中度分化:11 例不常见肿瘤的影像谱。
松果体实质肿瘤中分化:过去二十年 389 例报告的系统回顾和当代治疗方法。
Neurosurg Rev. 2022 Apr;45(2):1135-1155. doi: 10.1007/s10143-021-01674-3. Epub 2021 Oct 20.
4
Combined microscope and endoscopy total resection of primary pineal malignant melanoma: case report and literature review.显微镜与内镜联合切除原发性松果体恶性黑色素瘤:病例报告与文献复习。
J Cancer Res Clin Oncol. 2020 Oct;146(10):2589-2594. doi: 10.1007/s00432-020-03328-1. Epub 2020 Jul 22.
Neuroradiology. 2011 Aug;53(8):577-84. doi: 10.1007/s00234-010-0794-2. Epub 2010 Nov 16.
4
Masses of the pineal region: clinical presentation and radiographic features.松果体区肿块:临床表现和影像学特征。
Postgrad Med J. 2010 Oct;86(1020):597-607. doi: 10.1136/pgmj.2009.087460.
5
The 2007 WHO classification of tumours of the central nervous system.2007年世界卫生组织中枢神经系统肿瘤分类
Acta Neuropathol. 2007 Aug;114(2):97-109. doi: 10.1007/s00401-007-0243-4. Epub 2007 Jul 6.
6
Prognosis and histopathologic features in papillary tumors of the pineal region: a retrospective multicenter study of 31 cases.松果体区乳头状肿瘤的预后及组织病理学特征:一项对31例病例的回顾性多中心研究
J Neuropathol Exp Neurol. 2006 Oct;65(10):1004-11. doi: 10.1097/01.jnen.0000240462.80263.13.
7
Pineal tumors: analysis of treatment results in 20 patients.松果体肿瘤:20例患者的治疗结果分析
J Neurosurg. 2005 Jan;102 Suppl:175-9. doi: 10.3171/jns.2005.102.s_supplement.0175.
8
The role of radiosurgery for the treatment of pineal parenchymal tumors.放射外科在松果体实质肿瘤治疗中的作用。
Neurosurgery. 2002 Oct;51(4):880-9. doi: 10.1097/00006123-200210000-00006.
9
Pineal parenchymal tumors: a correlation of histological features with prognosis in 66 cases.松果体实质肿瘤:66例组织学特征与预后的相关性
Brain Pathol. 2000 Jan;10(1):49-60. doi: 10.1111/j.1750-3639.2000.tb00242.x.
10
Pineal parenchymal tumors. Clinical, pathologic, and therapeutic aspects.松果体实质肿瘤。临床、病理及治疗方面
Cancer. 1993 Aug 1;72(3):870-80. doi: 10.1002/1097-0142(19930801)72:3<870::aid-cncr2820720336>3.0.co;2-x.