Suppr超能文献

慢性饮用能量饮料后雄性Wistar大鼠肾上腺皮质中脂滴的减少

Decrease in Lipid Droplets in Adrenal Cortex of Male Wistar Rats after Chronic Exposure to Energy Drinks.

作者信息

Zarobkiewicz Michał K, Woźniakowski Mateusz M, Wawryk-Gawda Ewelina, Sławiński Mirosław A, Halczuk Paweł, Korolczuk Agnieszka, Jodłowska-Jędrych Barbara

机构信息

Chair and Department of Histology and Embryology with Experimental Cytology Unit, Medical University of Lublin, 20-080 Lublin, Poland.

Chair and Department of Clinical Patomorphology, Medical University of Lublin, 20-090 Lublin, Poland.

出版信息

Medicina (Kaunas). 2018 Nov 19;54(5):90. doi: 10.3390/medicina54050090.

Abstract

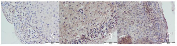
: Energy drinks are popular non-alcoholic beverages. They are consumed in large amounts, mainly by active, young people. Although they are easily accessible and marketed as safe, numerous cases of adverse effects have been published, including cardiac arrest, arrythmias, acute hepatitis, and renal failure. The aim of the current study is the assessment of energy drink influence on the histological structure of adrenal cortex in rats. : 15 male young Wistar rats were equally divided into three groups: control (C), experimental (E) and reversibility control (RC). C group received water and standard rodent food while both E and RC groups had additionally unlimited access to energy drinks. C and E groups were decapitated after 8 weeks and RC was given another 8 weeks without energy drinks. Adrenal glands were embedded in paraffin blocks and 5 μm slides were prepared and stained according to standard H&E and Masson's trichrome protocols. Additionally, immunohistochemical stainings against Ki-67, p53, CTGF and caspase-3 were prepared. : Decreased vacuolization and numerous pyknotic nuclei were noted in E and RC groups. Overexpression of caspase-3 was noted both subcapsular in zona glomerulosa and along sinusoids in zona fasciculata. Increased collagen deposition in zona glomerulosa and zona fasciculata of E and RC was observed. Insular and irregular overexpression of CTGF was noted. The overall picture of CTGF expression matched the Masson's trichrome. No significant difference was observed in Ki-67 expression. : The results of the current study suggest that the stimulation is so intense that it causes significant damage to adrenal cortical cells, resulting in their apoptosis. It seems, however, that the observed effects are at least partially reversible.

摘要

能量饮料是广受欢迎的非酒精饮料。大量人群饮用这些饮料,主要是活跃的年轻人。尽管它们很容易获得且被宣传为安全饮品,但已有大量关于其不良反应的报道,包括心脏骤停、心律失常、急性肝炎和肾衰竭。本研究的目的是评估能量饮料对大鼠肾上腺皮质组织结构的影响。

15只雄性幼年Wistar大鼠被平均分为三组:对照组(C)、实验组(E)和可逆性对照组(RC)。C组给予水和标准啮齿动物食物,而E组和RC组可无限制饮用能量饮料。8周后,C组和E组大鼠断头处死,RC组在停止饮用能量饮料的情况下再饲养8周。将肾上腺包埋于石蜡块中,制备5μm厚的切片,并按照标准苏木精-伊红(H&E)和马松三色染色法进行染色。此外,还进行了针对Ki-67、p53、结缔组织生长因子(CTGF)和半胱天冬酶-3的免疫组织化学染色。

在E组和RC组中观察到空泡化减少和大量固缩核。在球状带的被膜下以及束状带的血窦周围均观察到半胱天冬酶-3的过表达。在E组和RC组的球状带和束状带中观察到胶原沉积增加。观察到CTGF呈岛状和不规则过表达。CTGF表达的整体情况与马松三色染色结果相符。Ki-67表达未观察到显著差异。

本研究结果表明,这种刺激非常强烈,会对肾上腺皮质细胞造成严重损伤,导致细胞凋亡。然而,观察到的影响似乎至少部分是可逆的。

https://cdn.ncbi.nlm.nih.gov/pmc/blobs/8ffe/6262569/d6b89dcae144/medicina-54-00090-g001.jpg

文献AI研究员

20分钟写一篇综述,助力文献阅读效率提升50倍。

立即体验

用中文搜PubMed

大模型驱动的PubMed中文搜索引擎

马上搜索

文档翻译

学术文献翻译模型,支持多种主流文档格式。

立即体验