Suppr超能文献

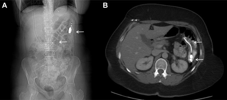
Intracolonic cardiac pacemaker: A case of device migration with colon perforation out of a subcutaneous epifascial pocket.

作者信息

Russi Ian, Liechti Rémy, Memeti Elza, Bertschy Sonja, Weberndoerfer Vanessa, Kobza Richard

机构信息

Division of Cardiology, Heart Center Lucerne, Luzerner Kantonsspital, Lucerne, Switzerland.

Department of Surgery, Luzerner Kantonsspital, Lucerne, Switzerland.

出版信息

HeartRhythm Case Rep. 2018 Apr 22;4(11):497-500. doi: 10.1016/j.hrcr.2018.04.006. eCollection 2018 Nov.

Abstract
摘要
https://cdn.ncbi.nlm.nih.gov/pmc/blobs/30b7/6241037/fa2134108b71/gr1.jpg

文献AI研究员

20分钟写一篇综述,助力文献阅读效率提升50倍。

立即体验

用中文搜PubMed

大模型驱动的PubMed中文搜索引擎

马上搜索

文档翻译

学术文献翻译模型,支持多种主流文档格式。

立即体验