• 文献检索
  • 文档翻译
  • 深度研究
  • 学术资讯
  • Suppr Zotero 插件Zotero 插件
  • 邀请有礼
  • 套餐&价格
  • 历史记录
应用&插件
Suppr Zotero 插件Zotero 插件浏览器插件Mac 客户端Windows 客户端微信小程序
定价
高级版会员购买积分包购买API积分包
服务
文献检索文档翻译深度研究API 文档MCP 服务
关于我们
关于 Suppr公司介绍联系我们用户协议隐私条款
关注我们

Suppr 超能文献

核心技术专利:CN118964589B侵权必究
粤ICP备2023148730 号-1Suppr @ 2026

文献检索

告别复杂PubMed语法,用中文像聊天一样搜索,搜遍4000万医学文献。AI智能推荐,让科研检索更轻松。

立即免费搜索

文件翻译

保留排版,准确专业,支持PDF/Word/PPT等文件格式,支持 12+语言互译。

免费翻译文档

深度研究

AI帮你快速写综述,25分钟生成高质量综述,智能提取关键信息,辅助科研写作。

立即免费体验

一名人类免疫缺陷病毒患者的原发性胃肠道卡波西肉瘤

Primary Gastrointestinal Kaposi's Sarcoma in a Patient with Human Immunodeficiency Virus.

作者信息

Zapata Laguado Martin Ignacio, Aponte Monsalve Jorge Enrique, Santos Jorge Hernan, Preciado Javier, Mosquera Zamudio Andres, Garza Acosta Cristina

机构信息

Internal Medicine, Universidad El Bosque, Bogotá, Colombia.

Internal Medicine, Universidad de La Sabana, Bogotá, Colombia.

出版信息

Case Rep Oncol. 2018 Oct 22;11(3):638-647. doi: 10.1159/000492715. eCollection 2018 Sep-Dec.

DOI:10.1159/000492715
PMID:30483091
原文链接:https://pmc.ncbi.nlm.nih.gov/articles/PMC6244015/
Abstract

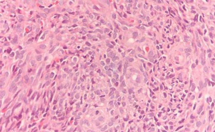
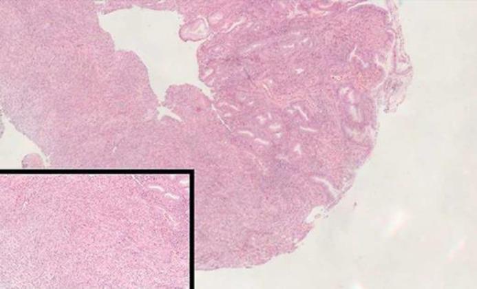
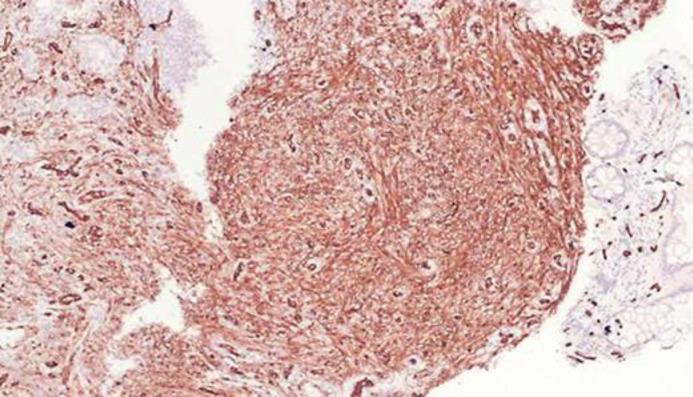
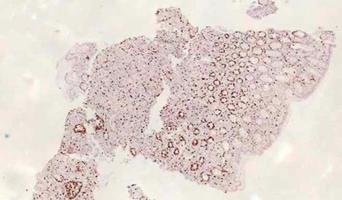
Gastrointestinal bleeding in HIV patients secondary to coinfection by HHV8 and development of Kaposi's sarcoma (KS) is a rare complication even if no skin lesions are detected on physical examination. This article indicates which patients might develop this type of clinical sign and also tries to recall that absence of skin lesions never rules out the presence of KS, especially if gastrointestinal involvement is documented. Gastrointestinal bleeding in terms of hematemesis has rarely been reported in the literature. We review some important clinical findings, diagnosis, and treatment approach. We present the case of an HIV patient who presented to the emergency department with hematemesis and gastrointestinal signs of KS on upper gastrointestinal endoscopy without any dermatological involvement.

摘要

人类免疫缺陷病毒(HIV)患者因同时感染人类疱疹病毒8型(HHV8)并发展为卡波西肉瘤(KS)而导致胃肠道出血是一种罕见的并发症,即使体格检查未发现皮肤病变。本文指出了哪些患者可能出现这种临床症状,同时也试图提醒人们,没有皮肤病变并不能排除KS的存在,尤其是在有胃肠道受累记录的情况下。关于呕血的胃肠道出血在文献中很少有报道。我们回顾了一些重要的临床发现、诊断和治疗方法。我们报告了一例HIV患者,该患者因呕血到急诊科就诊,上消化道内镜检查显示有KS的胃肠道症状,但无任何皮肤受累表现。

https://cdn.ncbi.nlm.nih.gov/pmc/blobs/37a5/6244015/4c40a2be1f1b/cro-0011-0638-g11.jpg
https://cdn.ncbi.nlm.nih.gov/pmc/blobs/37a5/6244015/4688def9aca6/cro-0011-0638-g01.jpg
https://cdn.ncbi.nlm.nih.gov/pmc/blobs/37a5/6244015/f6152b989c31/cro-0011-0638-g02.jpg
https://cdn.ncbi.nlm.nih.gov/pmc/blobs/37a5/6244015/d0bab0aacfc7/cro-0011-0638-g03.jpg
https://cdn.ncbi.nlm.nih.gov/pmc/blobs/37a5/6244015/2cdf97089b75/cro-0011-0638-g04.jpg
https://cdn.ncbi.nlm.nih.gov/pmc/blobs/37a5/6244015/b17071f9644a/cro-0011-0638-g05.jpg
https://cdn.ncbi.nlm.nih.gov/pmc/blobs/37a5/6244015/d3aed9992d12/cro-0011-0638-g06.jpg
https://cdn.ncbi.nlm.nih.gov/pmc/blobs/37a5/6244015/09a75c3ecb59/cro-0011-0638-g07.jpg
https://cdn.ncbi.nlm.nih.gov/pmc/blobs/37a5/6244015/f31dc45cffdb/cro-0011-0638-g08.jpg
https://cdn.ncbi.nlm.nih.gov/pmc/blobs/37a5/6244015/68088aeba594/cro-0011-0638-g09.jpg
https://cdn.ncbi.nlm.nih.gov/pmc/blobs/37a5/6244015/6a1c26e39417/cro-0011-0638-g10.jpg
https://cdn.ncbi.nlm.nih.gov/pmc/blobs/37a5/6244015/4c40a2be1f1b/cro-0011-0638-g11.jpg
https://cdn.ncbi.nlm.nih.gov/pmc/blobs/37a5/6244015/4688def9aca6/cro-0011-0638-g01.jpg
https://cdn.ncbi.nlm.nih.gov/pmc/blobs/37a5/6244015/f6152b989c31/cro-0011-0638-g02.jpg
https://cdn.ncbi.nlm.nih.gov/pmc/blobs/37a5/6244015/d0bab0aacfc7/cro-0011-0638-g03.jpg
https://cdn.ncbi.nlm.nih.gov/pmc/blobs/37a5/6244015/2cdf97089b75/cro-0011-0638-g04.jpg
https://cdn.ncbi.nlm.nih.gov/pmc/blobs/37a5/6244015/b17071f9644a/cro-0011-0638-g05.jpg
https://cdn.ncbi.nlm.nih.gov/pmc/blobs/37a5/6244015/d3aed9992d12/cro-0011-0638-g06.jpg
https://cdn.ncbi.nlm.nih.gov/pmc/blobs/37a5/6244015/09a75c3ecb59/cro-0011-0638-g07.jpg
https://cdn.ncbi.nlm.nih.gov/pmc/blobs/37a5/6244015/f31dc45cffdb/cro-0011-0638-g08.jpg
https://cdn.ncbi.nlm.nih.gov/pmc/blobs/37a5/6244015/68088aeba594/cro-0011-0638-g09.jpg
https://cdn.ncbi.nlm.nih.gov/pmc/blobs/37a5/6244015/6a1c26e39417/cro-0011-0638-g10.jpg
https://cdn.ncbi.nlm.nih.gov/pmc/blobs/37a5/6244015/4c40a2be1f1b/cro-0011-0638-g11.jpg

相似文献

1
Primary Gastrointestinal Kaposi's Sarcoma in a Patient with Human Immunodeficiency Virus.一名人类免疫缺陷病毒患者的原发性胃肠道卡波西肉瘤
Case Rep Oncol. 2018 Oct 22;11(3):638-647. doi: 10.1159/000492715. eCollection 2018 Sep-Dec.
2
Recurrent lower gastrointestinal bleeding due to primary colonic Kaposi's sarcoma in a patient with AIDS.一名艾滋病患者因原发性结肠卡波西肉瘤导致反复下消化道出血。
Int J STD AIDS. 2013 Nov;24(11):908-11. doi: 10.1177/0956462413487517. Epub 2013 Aug 5.
3
A role for a new herpes virus (KSHV) in different forms of Kaposi's sarcoma.一种新型疱疹病毒(卡波西肉瘤相关疱疹病毒)在不同类型卡波西肉瘤中的作用。
Nat Med. 1995 Jul;1(7):707-8. doi: 10.1038/nm0795-707.
4
Upper gastrointestinal Kaposi's sarcoma in HIV-infected patients: ten years of endoscopy observation at a single Brazilian center.巴西单中心 10 年内镜观察:HIV 感染者的上消化道卡波西肉瘤。
Int J Infect Dis. 2015 Oct;39:110-5. doi: 10.1016/j.ijid.2015.09.006. Epub 2015 Sep 14.
5
Kaposi's sarcoma-associated herpes virus-derived microRNA K12-1 over-activates the PI3K/Akt pathway to facilitate cancer progression in HIV-related gastrointestinal Kaposi's sarcoma.卡波氏肉瘤相关疱疹病毒衍生的 microRNA K12-1 过度激活 PI3K/Akt 通路,促进 HIV 相关胃肠道卡波氏肉瘤的癌症进展。
SLAS Discov. 2022 Jun;27(4):258-265. doi: 10.1016/j.slasd.2022.04.001. Epub 2022 Apr 10.
6
Severe gastrointestinal haemorrhage due to primary intestinal kaposi's sarcoma - a case report.原发性肠道卡波西肉瘤所致严重胃肠道出血——病例报告
Indian J Surg. 2007 Oct;69(5):206-8. doi: 10.1007/s12262-007-0024-2. Epub 2008 Jul 30.
7
[Two HHV8-related illnesses in a HIV-negative patient: Kaposi's sarcoma and multicentric Castleman's disease. Response to treatment with Rituximab and CHOP].一名HIV阴性患者的两种与HHV8相关的疾病:卡波西肉瘤和多中心Castleman病。对利妥昔单抗和CHOP治疗的反应
Actas Dermosifiliogr. 2006 Jul-Aug;97(6):385-90. doi: 10.1016/s0001-7310(06)73425-1.
8
[Detection of human herpesvirus 8 (HHV 8) in Kaposi sarcomas of the gastrointestinal tract].[胃肠道卡波西肉瘤中人类疱疹病毒8型(HHV 8)的检测]
Schweiz Med Wochenschr. 1997 Jun 7;127(23):988-91.
9
Human herpesvirus 8 (Kaposi's sarcoma-associated herpesvirus) DNA in Kaposi's sarcoma lesions, AIDS Kaposi's sarcoma cell lines, endothelial Kaposi's sarcoma simulators, and the skin of immunosuppressed patients.卡波西肉瘤病变、艾滋病相关卡波西肉瘤细胞系、内皮卡波西肉瘤模拟器以及免疫抑制患者皮肤中的人疱疹病毒8型(卡波西肉瘤相关疱疹病毒)DNA
Am J Pathol. 1996 Jun;148(6):2009-16.
10
Kaposi's sarcoma of the gastrointestinal tract: report of two cases and review of the literature.胃肠道卡波西肉瘤:两例报告并文献复习
Pathol Res Pract. 2007;203(4):227-31. doi: 10.1016/j.prp.2007.01.007. Epub 2007 Mar 26.

引用本文的文献

1
Gastric Kaposi sarcoma presenting as an upper gastrointestinal bleeding in a non-AIDS patient.胃卡波西肉瘤在一名非艾滋病患者中表现为上消化道出血。
Caspian J Intern Med. 2021;12(Suppl 2):S413-S416. doi: 10.22088/cjim.12.0.413.
2
An Uncommon Presentation of Extrahepatic Cholestasis due to Single Biliary Stricture From Kaposi Sarcoma.卡波西肉瘤导致单一胆管狭窄引起的肝外胆汁淤积的罕见表现。
Cureus. 2020 Jun 29;12(6):e8913. doi: 10.7759/cureus.8913.

本文引用的文献

1
Clinical and Endoscopic Features of Gastrointestinal Kaposi Sarcoma: A Single-Center Portuguese Experience over the Last Decade.胃肠道卡波西肉瘤的临床和内镜特征:葡萄牙一家中心过去十年的经验
GE Port J Gastroenterol. 2017 Sep;24(5):219-226. doi: 10.1159/000461592. Epub 2017 Apr 11.
2
Gastrointestinal Kaposi's sarcoma: Case report and review of the literature.胃肠道卡波西肉瘤:病例报告及文献综述
World J Gastrointest Pharmacol Ther. 2015 Aug 6;6(3):89-95. doi: 10.4292/wjgpt.v6.i3.89.
3
Acute upper gastrointestinal bleeding secondary to Kaposi sarcoma as initial presentation of HIV infection.
急性上消化道出血继发于卡波西肉瘤作为 HIV 感染的初始表现。
J Gastrointestin Liver Dis. 2013 Dec;22(4):441-5.
4
Predictive clinical factors in the diagnosis of gastrointestinal Kaposi's sarcoma and its endoscopic severity.预测胃肠道卡波西肉瘤的临床因素及其内镜严重程度。
PLoS One. 2012;7(11):e46967. doi: 10.1371/journal.pone.0046967. Epub 2012 Nov 30.
5
Upper gastrointestinal bleeding due to gastric and duodenal Kaposi's sarcoma.胃和十二指肠卡波西肉瘤所致上消化道出血
Rev Esp Enferm Dig. 2012 Feb;104(1):33-4. doi: 10.4321/s1130-01082012000100007.
6
Kaposi sarcoma involving the gastrointestinal tract.累及胃肠道的卡波西肉瘤。
Gastroenterol Hepatol (N Y). 2010 Jul;6(7):459-62.
7
Kaposi'S sarcoma of the stomach and duodenum in human immunodeficiency virus infection.人类免疫缺陷病毒感染所致胃和十二指肠卡波西肉瘤。
Dig Endosc. 2010 Jul;22(3):241-2. doi: 10.1111/j.1443-1661.2010.00994.x.
8
Kaposi sarcoma in children with HIV: a clinical series from Red Cross Children's Hospital.感染艾滋病毒儿童的卡波西肉瘤:来自红十字儿童医院的临床系列报道
J Pediatr Surg. 2009 Feb;44(2):373-6. doi: 10.1016/j.jpedsurg.2008.10.087.
9
Long-term prognosis of HIV-infected patients with Kaposi sarcoma treated with pegylated liposomal doxorubicin.接受聚乙二醇化脂质体阿霉素治疗的艾滋病相关卡波西肉瘤患者的长期预后
Clin Infect Dis. 2008 Aug 1;47(3):410-7. doi: 10.1086/589865.
10
Kaposi's sarcoma associated with AIDS.艾滋病相关的卡波西肉瘤
Rom J Morphol Embryol. 2007;48(2):181-7.