Suppr超能文献

脉管侵犯是根治性切除的胸段食管鳞癌的独立预后指标。

Lymphovascular invasion as an independent prognostic indicator in radically resected thoracic esophageal squamous cell carcinoma.

机构信息

Department of Thoracic Surgery, Fujian Cancer Hospital and Fujian Medical University Cancer Hospital, Fuzhou, China.

Department of Thoracic Surgery, National Cancer Center/Cancer Hospital, Chinese Academy of Medical Sciences and Peking Union Medical College, Beijing, China.

出版信息

Thorac Cancer. 2019 Feb;10(2):150-155. doi: 10.1111/1759-7714.12922. Epub 2018 Nov 28.

Abstract

BACKGROUND

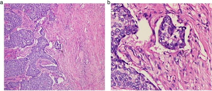
The prognostic value of lymphovascular invasion (LVI) in esophageal cancer remains controversial. This study investigated the impact of LVI on prognosis in thoracic esophageal squamous cell carcinoma (ESCC).

METHODS

A total of 1586 patients who underwent radical esophagectomy were selected for the study. Correlations between LVI and clinicopathological features were evaluated by χ test. Univariate analysis of the survival curve was conducted using the Kaplan-Meier method. Multivariate analysis was carried out by Cox regression. The Akaike information criterion (AIC) and the concordance index (c-index) were employed to assess model prognostic accuracy of different pN staging systems.

RESULTS

The presence of LVI was detected in 406 of 1586 (25.6%) patients. LVI frequency was significantly higher in patients with higher pN classifications (P < 0.001). LVI had independent significant prognostic value in ESCC (P < 0.001). In subgroup analyses, the presence of LVI significantly decreased overall survival in pN0, pN2, and pN3 stage patients. The AIC value of the pN staging system modified by LVI was lower than that of the current pN staging system, while the c-index of the modified pN staging system was higher than that of the current pN staging system.

CONCLUSION

Our results suggest that LVI is an independent prognostic indicator in radically resected thoracic ESCC. LVI could potentially supplement the pN ESCC staging system. ESCC patients with LVI could be staged at more advanced pN classifications.

摘要

背景

淋巴血管侵犯(LVI)在食管癌中的预后价值仍存在争议。本研究旨在探讨 LVI 对胸段食管鳞癌(ESCC)预后的影响。

方法

共纳入 1586 例行根治性食管切除术的患者。采用卡方检验评估 LVI 与临床病理特征的相关性。采用 Kaplan-Meier 法进行生存曲线的单因素分析。采用 Cox 回归进行多因素分析。采用 Akaike 信息准则(AIC)和一致性指数(c-index)评估不同 pN 分期系统的模型预后准确性。

结果

在 1586 例患者中,有 406 例(25.6%)患者存在 LVI。LVI 的频率随着 pN 分类的升高而显著增加(P < 0.001)。LVI 在 ESCC 中具有独立的显著预后价值(P < 0.001)。亚组分析显示,在 pN0、pN2 和 pN3 期患者中,LVI 的存在显著降低了总生存率。LVI 修正后的 pN 分期系统的 AIC 值低于现行 pN 分期系统,而修正后的 pN 分期系统的 c-index 高于现行 pN 分期系统。

结论

我们的研究结果表明,LVI 是根治性切除的胸段 ESCC 的独立预后指标。LVI 可能补充了 pN 期 ESCC 分期系统。存在 LVI 的 ESCC 患者可被分期为更晚期的 pN 分类。

https://cdn.ncbi.nlm.nih.gov/pmc/blobs/b646/6360202/199c423166b6/TCA-10-150-g011.jpg

文献AI研究员

20分钟写一篇综述,助力文献阅读效率提升50倍。

立即体验

用中文搜PubMed

大模型驱动的PubMed中文搜索引擎

马上搜索

文档翻译

学术文献翻译模型,支持多种主流文档格式。

立即体验