• 文献检索
  • 文档翻译
  • 深度研究
  • 学术资讯
  • Suppr Zotero 插件Zotero 插件
  • 邀请有礼
  • 套餐&价格
  • 历史记录
应用&插件
Suppr Zotero 插件Zotero 插件浏览器插件Mac 客户端Windows 客户端微信小程序
定价
高级版会员购买积分包购买API积分包
服务
文献检索文档翻译深度研究API 文档MCP 服务
关于我们
关于 Suppr公司介绍联系我们用户协议隐私条款
关注我们

Suppr 超能文献

核心技术专利:CN118964589B侵权必究
粤ICP备2023148730 号-1Suppr @ 2026

文献检索

告别复杂PubMed语法,用中文像聊天一样搜索,搜遍4000万医学文献。AI智能推荐,让科研检索更轻松。

立即免费搜索

文件翻译

保留排版,准确专业,支持PDF/Word/PPT等文件格式,支持 12+语言互译。

免费翻译文档

深度研究

AI帮你快速写综述,25分钟生成高质量综述,智能提取关键信息,辅助科研写作。

立即免费体验

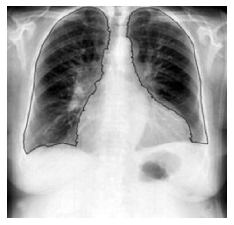
综述:关于从前后位胸部X光片中分割结节

Review: On Segmentation of Nodules from Posterior and Anterior Chest Radiographs.

作者信息

Chaya Devi S K, Satya Savithri T

机构信息

JNTU College of Engineering, Hyderabad, India.

Department of E.C.E, JNTU College of Engineering, Hyderabad, India.

出版信息

Int J Biomed Imaging. 2018 Oct 18;2018:9752638. doi: 10.1155/2018/9752638. eCollection 2018.

DOI:10.1155/2018/9752638
PMID:30498510
原文链接:https://pmc.ncbi.nlm.nih.gov/articles/PMC6220737/
Abstract

Lung cancer is one of the major types of cancer in the world. Survival rate can be increased if the disease can be identified early. Posterior and anterior chest radiography and computerized tomography scans are the most used diagnosis techniques for detecting tumor from lungs. Posterior and anterior chest radiography requires less radiation dose and is available in most of the diagnostic centers and it costs less compared to the remaining diagnosis techniques. So PA chest radiography became the most commonly used technique for lung cancer detection. Because of superimposed anatomical structures present in the image, sometimes radiologists cannot find abnormalities from the image. To help radiologists in diagnosing tumor from PA chest radiographic images range of CAD scheme has been developed for the past three decades. These computerized tools may be used by radiologists as a second opinion in detecting tumor. Literature survey on detecting tumors from chest graphs is presented in this paper.

摘要

肺癌是全球主要的癌症类型之一。如果能早期发现该疾病,生存率可以提高。胸部前后位X线摄影和计算机断层扫描是检测肺部肿瘤最常用的诊断技术。胸部前后位X线摄影所需辐射剂量较少,在大多数诊断中心都可进行,且与其他诊断技术相比成本较低。因此,胸部后前位X线摄影成为肺癌检测最常用的技术。由于图像中存在重叠的解剖结构,有时放射科医生无法从图像中发现异常。在过去三十年里,为帮助放射科医生从胸部后前位X线摄影图像中诊断肿瘤,已经开发了一系列计算机辅助检测(CAD)方案。这些计算机化工具可被放射科医生用作检测肿瘤的第二种意见。本文介绍了关于从胸部X线片检测肿瘤的文献综述。

https://cdn.ncbi.nlm.nih.gov/pmc/blobs/a596/6220737/1b69bba14c0f/IJBI2018-9752638.005.jpg
https://cdn.ncbi.nlm.nih.gov/pmc/blobs/a596/6220737/178afc3a57f7/IJBI2018-9752638.001.jpg
https://cdn.ncbi.nlm.nih.gov/pmc/blobs/a596/6220737/78a1373ba55b/IJBI2018-9752638.002.jpg
https://cdn.ncbi.nlm.nih.gov/pmc/blobs/a596/6220737/c65ef4315a4b/IJBI2018-9752638.003.jpg
https://cdn.ncbi.nlm.nih.gov/pmc/blobs/a596/6220737/be70687ac802/IJBI2018-9752638.004.jpg
https://cdn.ncbi.nlm.nih.gov/pmc/blobs/a596/6220737/1b69bba14c0f/IJBI2018-9752638.005.jpg
https://cdn.ncbi.nlm.nih.gov/pmc/blobs/a596/6220737/178afc3a57f7/IJBI2018-9752638.001.jpg
https://cdn.ncbi.nlm.nih.gov/pmc/blobs/a596/6220737/78a1373ba55b/IJBI2018-9752638.002.jpg
https://cdn.ncbi.nlm.nih.gov/pmc/blobs/a596/6220737/c65ef4315a4b/IJBI2018-9752638.003.jpg
https://cdn.ncbi.nlm.nih.gov/pmc/blobs/a596/6220737/be70687ac802/IJBI2018-9752638.004.jpg
https://cdn.ncbi.nlm.nih.gov/pmc/blobs/a596/6220737/1b69bba14c0f/IJBI2018-9752638.005.jpg

相似文献

1
Review: On Segmentation of Nodules from Posterior and Anterior Chest Radiographs.综述:关于从前后位胸部X光片中分割结节
Int J Biomed Imaging. 2018 Oct 18;2018:9752638. doi: 10.1155/2018/9752638. eCollection 2018.
2
Computer-aided diagnosis for improved detection of lung nodules by use of posterior-anterior and lateral chest radiographs.利用后前位和侧位胸部X光片进行计算机辅助诊断以提高肺结节检测率。
Acad Radiol. 2007 Jan;14(1):28-37. doi: 10.1016/j.acra.2006.09.057.
3
Computer-aided diagnostic scheme for the detection of lung nodules on chest radiographs: localized search method based on anatomical classification.胸部X光片上肺结节检测的计算机辅助诊断方案:基于解剖学分类的局部搜索方法
Med Phys. 2006 Jul;33(7):2642-53. doi: 10.1118/1.2208739.
4
Effect of high sensitivity in a computerized scheme for detecting extremely subtle solitary pulmonary nodules in chest radiographs: observer performance study.计算机化方案中高灵敏度对检测胸部X光片中极其细微的孤立性肺结节的影响:观察者表现研究
Acad Radiol. 2003 Nov;10(11):1302-11. doi: 10.1016/s1076-6332(03)00463-x.
5
Deep Convolutional Neural Network-based Software Improves Radiologist Detection of Malignant Lung Nodules on Chest Radiographs.基于深度卷积神经网络的软件提高放射科医生在胸部 X 光片上检测恶性肺结节的能力。
Radiology. 2020 Jan;294(1):199-209. doi: 10.1148/radiol.2019182465. Epub 2019 Nov 12.
6
Development of an improved CAD scheme for automated detection of lung nodules in digital chest images.用于数字胸部图像中肺结节自动检测的改进计算机辅助检测方案的开发。
Med Phys. 1997 Sep;24(9):1395-403. doi: 10.1118/1.598028.
7
Computer-aided detection improves detection of pulmonary nodules in chest radiographs beyond the support by bone-suppressed images.计算机辅助检测可提高胸部 X 线摄影中肺结节的检出率,优于骨抑制图像的支持。
Radiology. 2014 Jul;272(1):252-61. doi: 10.1148/radiol.14131315. Epub 2014 Mar 12.
8
Comparison of radiologist and CAD performance in the detection of CT-confirmed subtle pulmonary nodules on digital chest radiographs.放射科医生与计算机辅助检测(CAD)在数字胸部X线片上检测CT确诊的微小肺结节的性能比较。
Invest Radiol. 2008 Jun;43(6):343-8. doi: 10.1097/RLI.0b013e318168f705.
9
Improved detection of lung nodules on chest radiographs using a commercial computer-aided diagnosis system.使用商用计算机辅助诊断系统提高胸部X光片上肺结节的检测率。
AJR Am J Roentgenol. 2004 Feb;182(2):505-10. doi: 10.2214/ajr.182.2.1820505.
10
Computerized detection of vertebral compression fractures on lateral chest radiographs: preliminary results with a tool for early detection of osteoporosis.计算机辅助检测胸部侧位X线片上的椎体压缩骨折:一种骨质疏松早期检测工具的初步结果
Med Phys. 2006 Dec;33(12):4664-74. doi: 10.1118/1.2364053.

引用本文的文献

1
Oblique views of chest radiography from a designed rotation angle recommendation increase the contrast ratio between obscured lesions and surrounding structures.从设计的旋转角度推荐的胸部 X 射线斜视图增加了遮挡病变与周围结构之间的对比度。
Thorac Cancer. 2019 Oct;10(10):2057-2063. doi: 10.1111/1759-7714.13167. Epub 2019 Aug 12.

本文引用的文献

1
Separation of bones from chest radiographs by means of anatomically specific multiple massive-training ANNs combined with total variation minimization smoothing.利用解剖学特异性多体训练人工神经网络结合全变差最小化平滑技术从胸部 X 光片中分离骨骼。
IEEE Trans Med Imaging. 2014 Feb;33(2):246-57. doi: 10.1109/TMI.2013.2284016. Epub 2013 Oct 11.
2
Fully automatic lung segmentation and rib suppression methods to improve nodule detection in chest radiographs.用于改善胸部X光片中结节检测的全自动肺部分割和肋骨抑制方法。
J Med Signals Sens. 2011 Jul;1(3):191-9.
3
Development and evaluation of a computer-aided diagnostic scheme for lung nodule detection in chest radiographs by means of two-stage nodule enhancement with support vector classification.
基于支持向量分类的两阶段结节增强的胸部 X 射线肺结节检测计算机辅助诊断方案的开发与评估。
Med Phys. 2011 Apr;38(4):1844-58. doi: 10.1118/1.3561504.
4
Segmenting lung fields in serial chest radiographs using both population-based and patient-specific shape statistics.利用基于人群和特定患者的形状统计信息对系列胸部X光片进行肺野分割。
IEEE Trans Med Imaging. 2008 Apr;27(4):481-94. doi: 10.1109/TMI.2007.908130.
5
Artificial convolution neural network techniques and applications for lung nodule detection.人工卷积神经网络技术及其在肺结节检测中的应用。
IEEE Trans Med Imaging. 1995;14(4):711-8. doi: 10.1109/42.476112.
6
Feature selection in the pattern classification problem of digital chest radiograph segmentation.数字胸片分割模式分类问题中的特征选择。
IEEE Trans Med Imaging. 1995;14(3):537-47. doi: 10.1109/42.414619.
7
Performance analysis of a new computer aided detection system for identifying lung nodules on chest radiographs.一种用于在胸部X光片上识别肺结节的新型计算机辅助检测系统的性能分析
Med Image Anal. 2008 Jun;12(3):240-58. doi: 10.1016/j.media.2007.10.004. Epub 2007 Oct 25.
8
Minimal shape and intensity cost path segmentation.最小形状和强度代价路径分割
IEEE Trans Med Imaging. 2007 Aug;26(8):1115-29. doi: 10.1109/TMI.2007.896924.
9
Segmenting lung fields in serial chest radiographs using both population and patient-specific shape statistics.利用总体和特定患者的形状统计信息对连续胸部X光片中的肺野进行分割。
Med Image Comput Comput Assist Interv. 2006;9(Pt 1):83-91. doi: 10.1007/11866565_11.
10
A fully automated method for lung nodule detection from postero-anterior chest radiographs.一种从后前位胸部X光片中检测肺结节的全自动方法。
IEEE Trans Med Imaging. 2006 Dec;25(12):1588-603. doi: 10.1109/tmi.2006.884198.