Salame Hassan, Issa Mahdi, Nicolas Gregory, Haddad Juliano, Haddad Marwan M, Farhat Firas S, Moubarak Hussein, Kfoury Tony, Zaghrini Elie, Wakim Raja
Department of General Surgery, Al Zahraa Hospital, Beirut, Lebanon.
Department of General Surgery, Mount Lebanon Hospital, Beirut, Lebanon.
Am J Case Rep. 2018 Dec 13;19:1480-1487. doi: 10.12659/AJCR.910061.
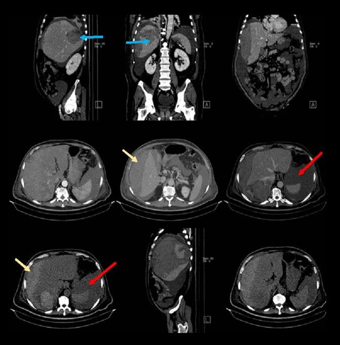
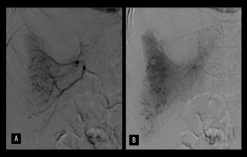
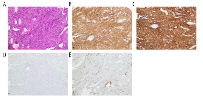
BACKGROUND Gastrointestinal stromal tumors (GISTs) are rare gastrointestinal neoplasms. The spontaneous rupture of a jejunal GIST is very rare and spontaneous rupture of liver metastasis from an intestinal GIST is even rarer with only a few cases reported in the literature. CASE REPORT In this article, we reported a case of spontaneous rupture of a liver metastasis from a malignant jejunal GIST that presented with active tumoral bleeding, hypovolemic shock, and hemoperitoneum. The patient was successfully treated with arterial embolization of the tumor. CONCLUSIONS In appropriately selected patients, arterial embolization appears to be an effective safe treatment for a GIST metastasis rupture.
背景 胃肠道间质瘤(GISTs)是罕见的胃肠道肿瘤。空肠GIST自发破裂非常罕见,而肠道GIST肝转移的自发破裂更为罕见,文献中仅报道了少数病例。病例报告 在本文中,我们报告了一例恶性空肠GIST肝转移自发破裂的病例,该病例表现为肿瘤活动性出血、低血容量性休克和血腹。患者通过肿瘤动脉栓塞术成功治疗。结论 对于经过适当选择的患者,动脉栓塞术似乎是治疗GIST转移破裂的一种有效且安全的方法。