Suppr超能文献

Intraductal papillary mucinous neoplasm complicated by a gastropancreatic fistula.

作者信息

Patel Anandbhai, Allen Amanda, Kuwahara Jeffrey, Wadsworth Tracy, Loeffler David M, Xie Karen L

机构信息

University of Illinois at Chicago, Chicago, IL, USA.

University of Illinois at Chicago, Department of Pathology, Chicago, IL, USA.

出版信息

Radiol Case Rep. 2018 Dec 7;14(3):320-323. doi: 10.1016/j.radcr.2018.11.015. eCollection 2019 Mar.

Abstract

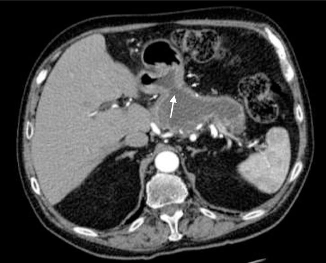
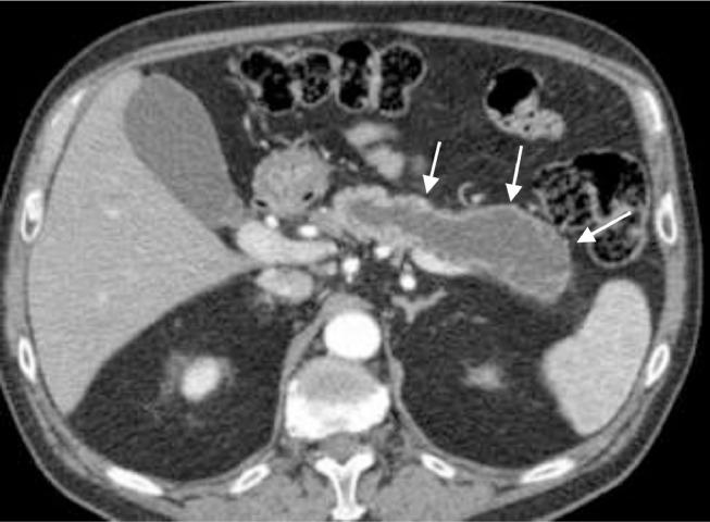
One of the rare complications of low-grade pancreatic neoplasms is fistulization into nearby structures. This often does not present clinically, but is incidentally identified in patients who have been imaged serially to monitor the progression of the disease. In this report, we present an uncommon complication of an intraductal papillary mucinous neoplasm, which developed a spontaneous gastropancreatic fistula in a patient who was conservatively managed. The clinical course, imaging features, and management of this case are discussed.

摘要
https://cdn.ncbi.nlm.nih.gov/pmc/blobs/c0cc/6289956/3429202b46b5/gr1.jpg

文献AI研究员

20分钟写一篇综述,助力文献阅读效率提升50倍。

立即体验

用中文搜PubMed

大模型驱动的PubMed中文搜索引擎

马上搜索

文档翻译

学术文献翻译模型,支持多种主流文档格式。

立即体验