Suppr超能文献

镰状细胞病中的脑脂肪栓塞综合征,无分流证据。

Cerebral fat embolism syndrome in sickle cell disease without evidence of shunt.

作者信息

Nathan Cody L, Aamodt Whitley W, Yalamarti Tanuja, Dogon Calli, Kinniry Paul

机构信息

Hospital of the University of Pennsylvania, Department of Neurology, 3W Gates Building, 3400 Spruce Street, Philadelphia, PA 19104, USA.

Pennsylvania Hospital, 800 Spruce Street, Philadelphia, PA 19107, USA.

出版信息

eNeurologicalSci. 2018 Nov 22;14:19-20. doi: 10.1016/j.ensci.2018.11.012. eCollection 2019 Mar.

Abstract

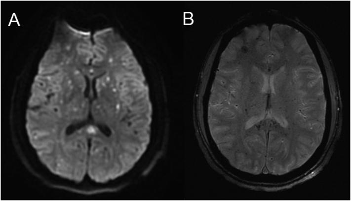
Fat embolism syndrome (FES) is a known complication of sickle cell disease (SCD) that occurs secondary to vaso-occlusive crises, bone marrow infarction, and the subsequent release of fat globules into the venous circulation. Although neurologic involvement is common, the pathophysiology of cerebral fat emboli remains controversial. While fat microemboli can enter the arterial circulation through right-to-left shunts, the systemic release of free fatty acids may also cause indirect endothelial damage and disruption of the blood-brain-barrier. We present an unusual case of cerebral fat emboli in SCD that occurred in the absence of acute chest syndrome or right-to-left shunt, favoring a biochemical etiology. Treatment of FES includes supportive care and emergent red cell exchange transfusions.

摘要

脂肪栓塞综合征(FES)是镰状细胞病(SCD)的一种已知并发症,继发于血管闭塞性危机、骨髓梗死以及随后脂肪球释放进入静脉循环。虽然神经系统受累很常见,但脑脂肪栓子的病理生理学仍存在争议。脂肪微栓子可通过右向左分流进入动脉循环,游离脂肪酸的全身释放也可能导致间接的内皮损伤和血脑屏障破坏。我们报告了一例SCD患者发生脑脂肪栓子的不寻常病例,该病例在没有急性胸综合征或右向左分流的情况下发生,支持生化病因。FES的治疗包括支持性护理和紧急红细胞置换输血。

https://cdn.ncbi.nlm.nih.gov/pmc/blobs/859c/6275165/f38d437f921f/gr1.jpg

文献AI研究员

20分钟写一篇综述,助力文献阅读效率提升50倍。

立即体验

用中文搜PubMed

大模型驱动的PubMed中文搜索引擎

马上搜索

文档翻译

学术文献翻译模型,支持多种主流文档格式。

立即体验