Suppr超能文献

镰状细胞病中脑脂肪栓塞综合征的完全神经功能恢复

Complete Neurologic Recovery of Cerebral Fat Embolism Syndrome in Sickle Cell Disease.

作者信息

Oyedeji Oluwayomi, Anusim Nwabundo, Alkhoujah Mohammad, Dabak Vrushali, Otrock Zaher K

机构信息

Pathology and Laboratory Medicine, Henry Ford Hospital, Detroit, USA.

Oncology, University of Texas, Austin, USA.

出版信息

Cureus. 2022 Sep 13;14(9):e29111. doi: 10.7759/cureus.29111. eCollection 2022 Sep.

Abstract

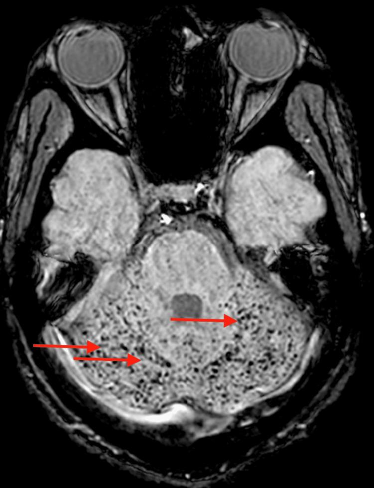
Sickle cell disease is one of the most common inherited hemoglobinopathies diagnosed in the United States. Patients often present with severe anemia, pain crises, infections, and vaso-occlusive phenomena. Complications of these disorders can lead to significant debilitating morbidity and mortality. Fat embolism syndrome (FES) is a rare and devastating complication of sickle cell disease. It usually presents with a rapidly deteriorating clinical course, and the prognosis is dismal. We report a case of FES in a 19-year-old African American male with a history of sickle cell disease who presented with tonic-clonic seizures and was found to have multi-organ failure. FES was diagnosed 20 days from a presentation based on blood cytopenias and magnetic resonance imaging findings that were obscured at the initial presentation. We describe in this report, the patient's course from presentation until diagnosis and resolution. Our case is peculiar as the patient had a very good outcome without the need for red blood cell (RBC) exchange; instead, supportive treatment and simple RBC transfusions were enough to change the clinical course of this almost fatal syndrome.

摘要

镰状细胞病是美国诊断出的最常见的遗传性血红蛋白病之一。患者常出现严重贫血、疼痛危象、感染和血管阻塞现象。这些病症的并发症可导致严重的致残性发病和死亡。脂肪栓塞综合征(FES)是镰状细胞病一种罕见且严重的并发症。它通常表现为临床病程迅速恶化,预后不佳。我们报告一例19岁非裔美国男性镰状细胞病患者发生FES的病例,该患者出现强直阵挛性癫痫发作,被发现有多器官功能衰竭。根据血细胞减少和磁共振成像结果,在出现症状20天后诊断出FES,这些结果在初次就诊时并不明确。我们在本报告中描述了患者从就诊到诊断及康复的过程。我们的病例很特殊,因为患者无需进行红细胞置换就取得了很好的治疗效果;相反,支持性治疗和单纯的红细胞输血就足以改变这种几乎致命综合征的临床病程。

https://cdn.ncbi.nlm.nih.gov/pmc/blobs/9a87/9559515/411e1b4b4ff3/cureus-0014-00000029111-i01.jpg

文献AI研究员

20分钟写一篇综述,助力文献阅读效率提升50倍。

立即体验

用中文搜PubMed

大模型驱动的PubMed中文搜索引擎

马上搜索

文档翻译

学术文献翻译模型,支持多种主流文档格式。

立即体验