Suppr超能文献

一名肺外患者出现严重高钙血症:肉芽肿还是免疫重建炎症综合征?首例以腹膜后淋巴结病伴严重高钙血症为表现的病例报告及文献复习

Severe hypercalcemia in a patient with extrapulmonary : granuloma or immune reconstitution inflammatory syndrome? First case of presenting as retroperitoneal lymphadenopathy with severe hypercalcemia: a case report and literature review.

作者信息

Abdulfattah Omar, Rahman Ebad Ur, Shweta Fnu, Datar Praveen, Alnafoosi Zainab, Trauber David, Sam Mirela, Enriquez Danilo, Schmidt Frances

机构信息

Medicine Department, Pulmonary and Critical Care Division, Interfaith Medical Center, Brooklyn, NY, USA.

Medicine Department, Interfaith Medical Center, Brooklyn, NY, USA.

出版信息

J Community Hosp Intern Med Perspect. 2018 Dec 11;8(6):331-338. doi: 10.1080/20009666.2018.1539057. eCollection 2018.

Abstract

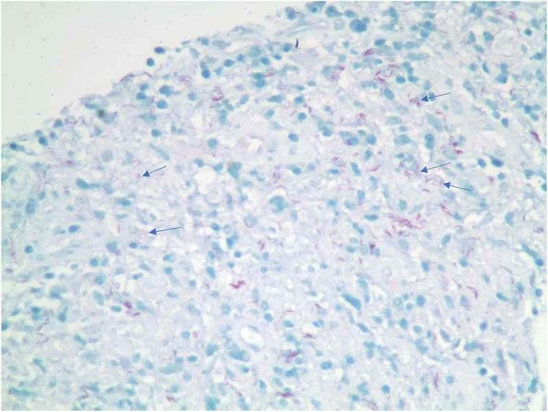
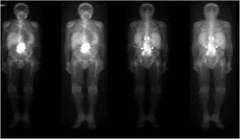
Nontuberculous mycobacterium is a recognized cause of hypercalcemia, particularly in patients with acquired immunodeficiency syndrome (AIDS). Here we describe a case of severe hypercalcemia secondary to () in a patient with AIDS. To the best of our knowledge this is the first case report describing a case of presenting as retroperitoneal lymphadenopathy and severe hypercalcemia. : A 56-year-old man with AIDS presented with altered mental status and somnolence for four days. Laboratory investigations were significant for calcium 16.49 mg/dL (RI 8.9-10.3 mg/dL), 1,25 dihydroxyvitamin D level 44.1 pg/ml (RI 19.9-79.3 pg/ml) and parathyroid hormone (PTH) 4 pg/mL (RI 15-65 pg/mL). CT scan of Abdomen and Pelvis showed hepatosplenomegaly with large retroperitoneal, retrocrural, and mesenteric lymphadenopathy which had an intense focal uptake on Gallium scan. Bone marrow biopsy revealed mild plasmacytosis (5%) with no evidence of myelodysplasia, acute leukemia or lymphoma. A subsequent lymph node biopsy showed fragments of fibrous tissue with lymphohistiocytic infiltrate and many acid-fast bacilli. Pre-antibiotic blood cultures grew which was identified later as at four weeks. : hypercalcemia in HIV-infected patients may suggest malignancy or infectious etiology, among other causes. Clinicians should be aware of the risk of hypercalcemia with nontuberculous mycobacterium (NTM) infection, whether as first manifestation or a late presenter in the disease course after initiating antiretroviral therapy (ART). We suggest careful monitoring of serum calcium level upon diagnosis of NTM infection and after initiation of ART, NTM therapy or vitamin D supplementation.

摘要

非结核分枝杆菌是高钙血症的一种公认病因,尤其是在获得性免疫缺陷综合征(AIDS)患者中。在此,我们描述了一例AIDS患者继发于()的严重高钙血症病例。据我们所知,这是首例描述()表现为腹膜后淋巴结病和严重高钙血症的病例报告。病例报告:一名56岁的AIDS男性患者出现精神状态改变和嗜睡4天。实验室检查显示血钙16.49mg/dL(参考区间8.9 - 10.3mg/dL)、1,25 - 二羟维生素D水平44.1pg/ml(参考区间19.9 - 79.3pg/ml)以及甲状旁腺激素(PTH)4pg/mL(参考区间15 - 65pg/mL)。腹部和盆腔CT扫描显示肝脾肿大,伴有巨大的腹膜后、膈后和肠系膜淋巴结病,镓扫描显示有强烈的局灶性摄取。骨髓活检显示轻度浆细胞增多(5%),无骨髓发育异常、急性白血病或淋巴瘤的证据。随后的淋巴结活检显示纤维组织碎片伴有淋巴细胞 - 组织细胞浸润以及许多抗酸杆菌。抗生素治疗前的血培养生长出(),四周后鉴定为()。结论:HIV感染患者的高钙血症可能提示恶性肿瘤或感染性病因等其他原因。临床医生应意识到非结核分枝杆菌(NTM)感染导致高钙血症的风险,无论是作为疾病的首发表现还是在开始抗逆转录病毒治疗(ART)后的病程中较晚出现。我们建议在诊断NTM感染时以及开始ART、NTM治疗或补充维生素D后仔细监测血清钙水平。

https://cdn.ncbi.nlm.nih.gov/pmc/blobs/8a64/6292348/b22b4c4d95e1/ZJCH_A_1539057_F0001_OC.jpg

文献AI研究员

20分钟写一篇综述,助力文献阅读效率提升50倍。

立即体验

用中文搜PubMed

大模型驱动的PubMed中文搜索引擎

马上搜索

文档翻译

学术文献翻译模型,支持多种主流文档格式。

立即体验