Suppr超能文献

K3.1 通道通过介导血管紧张素 II 处理大鼠中的炎症和单核细胞向肌成纤维细胞的分化促进心脏纤维化。

K3.1 Channels Promote Cardiac Fibrosis Through Mediating Inflammation and Differentiation of Monocytes Into Myofibroblasts in Angiotensin II -Treated Rats.

机构信息

1 Department of Physiology and Pathophysiology School of Basic Medical Sciences Xi'an Jiaotong University Health Science Center Xi'an Shaanxi China.

5 Department of Pathology Xi'an Guangren Hospital Affiliated to Xi'an Jiaotong University Health Science Center Xi'an Shaanxi China.

出版信息

J Am Heart Assoc. 2019 Jan 8;8(1):e010418. doi: 10.1161/JAHA.118.010418.

Abstract

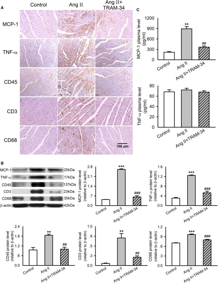
Background Cardiac fibrosis is a core pathological process associated with heart failure. The recruitment and differentiation of primitive fibroblast precursor cells of bone marrow origin play a critical role in pathological interstitial cardiac fibrosis. The K3.1 channels are expressed in both ventricular fibroblasts and circulating mononuclear cells in rats and are upregulated by angiotensin II . We hypothesized that K3.1 channels mediate the inflammatory microenvironment in the heart, promoting the infiltrated bone marrow-derived circulating mononuclear cells to differentiate into myofibroblasts, leading to myocardial fibrosis. Methods and Results We established a cardiac fibrosis model in rats by infusing angiotensin II to evaluate the impact of the specific K3.1 channel blocker TRAM -34 on cardiac fibrosis. At the same time, mouse CD 4 T cells and rat circulating mononuclear cells were separated to investigate the underlying mechanism of the TRAM -34 anti-cardiac fibrosis effect. TRAM -34 significantly attenuated cardiac fibrosis and the inflammatory reaction and reduced the number of fibroblast precursor cells and myofibroblasts. Inhibition of K3.1 channels suppressed angiotensin II -stimulated expression and secretion of interleukin-4 and interleukin-13 in CD 4 T cells and interleukin-4- or interleukin-13-induced differentiation of monocytes into fibrocytes. Conclusions K3.1 channels facilitate myocardial inflammation and the differentiation of bone marrow-derived monocytes into myofibroblasts in cardiac fibrosis caused by angiotensin II infusion.

摘要

背景

心肌纤维化是心力衰竭相关的核心病理过程。骨髓来源的原始成纤维细胞前体细胞的募集和分化在病理性间质心肌纤维化中起着关键作用。K3.1 通道在大鼠的心室成纤维细胞和循环单核细胞中均有表达,并被血管紧张素 II 上调。我们假设 K3.1 通道介导心脏中的炎症微环境,促进浸润的骨髓来源的循环单核细胞分化为肌成纤维细胞,导致心肌纤维化。

方法和结果

我们通过输注血管紧张素 II 建立了大鼠心肌纤维化模型,以评估特异性 K3.1 通道阻滞剂 TRAM-34 对心肌纤维化的影响。同时,分离小鼠 CD4 T 细胞和大鼠循环单核细胞,以研究 TRAM-34 抗心肌纤维化作用的潜在机制。TRAM-34 显著减轻了心肌纤维化和炎症反应,减少了成纤维细胞前体细胞和肌成纤维细胞的数量。抑制 K3.1 通道可抑制血管紧张素 II 刺激的 CD4 T 细胞中白细胞介素-4 和白细胞介素-13 的表达和分泌,以及白细胞介素-4 或白细胞介素-13 诱导的单核细胞向纤维细胞的分化。

结论

K3.1 通道促进了血管紧张素 II 输注引起的心肌炎症和骨髓来源的单核细胞向肌成纤维细胞的分化。

https://cdn.ncbi.nlm.nih.gov/pmc/blobs/f8f7/6405723/ecd6def26eb4/JAH3-8-e010418-g001.jpg

文献检索

告别复杂PubMed语法,用中文像聊天一样搜索,搜遍4000万医学文献。AI智能推荐,让科研检索更轻松。

立即免费搜索

文件翻译

保留排版,准确专业,支持PDF/Word/PPT等文件格式,支持 12+语言互译。

免费翻译文档

深度研究

AI帮你快速写综述,25分钟生成高质量综述,智能提取关键信息,辅助科研写作。

立即免费体验