• 文献检索
  • 文档翻译
  • 深度研究
  • 学术资讯
  • Suppr Zotero 插件Zotero 插件
  • 邀请有礼
  • 套餐&价格
  • 历史记录
应用&插件
Suppr Zotero 插件Zotero 插件浏览器插件Mac 客户端Windows 客户端微信小程序
定价
高级版会员购买积分包购买API积分包
服务
文献检索文档翻译深度研究API 文档MCP 服务
关于我们
关于 Suppr公司介绍联系我们用户协议隐私条款
关注我们

Suppr 超能文献

核心技术专利:CN118964589B侵权必究
粤ICP备2023148730 号-1Suppr @ 2026

文献检索

告别复杂PubMed语法,用中文像聊天一样搜索,搜遍4000万医学文献。AI智能推荐,让科研检索更轻松。

立即免费搜索

文件翻译

保留排版,准确专业,支持PDF/Word/PPT等文件格式,支持 12+语言互译。

免费翻译文档

深度研究

AI帮你快速写综述,25分钟生成高质量综述,智能提取关键信息,辅助科研写作。

立即免费体验

GAPT提取通过调节Bcl-2/Bax平衡对APPswe/PS1dE9转基因小鼠突触丢失的影响。

The influence of GAPT extraction on synapse loss of APPswe/PS1dE9 transgenic mice via adjusting Bcl-2/Bax balance.

作者信息

Shi Jing, Zhang Xuekai, Ni Jingnian, Wei Mingqing, Li Ting, Zhou Bingling, Liu Xiawei, Zhang Liping, Wang Pengwen, Tian Jinzhou, Wang Yongyan

机构信息

Third Department of Neurology, Dongzhimen Hospital, Beijing University of Chinese Medicine, Beijing, China.

Department of Radiology, Dongzhimen Hospital, Beijing University of Chinese Medicine, Beijing, China.

出版信息

Alzheimers Dement (N Y). 2018 Dec 14;4:724-736. doi: 10.1016/j.trci.2018.10.008. eCollection 2018.

DOI:10.1016/j.trci.2018.10.008
PMID:30581978
原文链接:https://pmc.ncbi.nlm.nih.gov/articles/PMC6295930/
Abstract

INTRODUCTION

The degeneration of memory-focused synapses play important roles in Alzheimer's disease (AD) pathogenesis, while it is not well known how β amyloid interferes neuron apoptosis and how a herbal combination GAPT influence synapse loss and neuronal apoptosis pathways of APP/PS1 transgenic mice.

METHODS

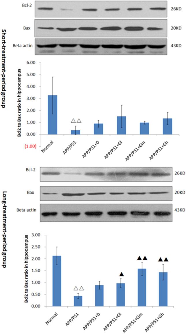
Three-month and six-month APPswe/PS1dE9 transgenic mice were used. Spatial and memory ability were measured by Morris Water Maze, Neuron and synapse number were assessed by electron microscope; Aβ, Bcl-2/Bax were determined by immunohistochemistry and western blot.

RESULTS

APP/PS1 mice not only had increased Aβ accumulation, impaired memory performance, less synapse number, and much more necrosed neurons, but also had significant reduction in the Bcl-2/Bax ratio. However, GAPT and donepezil showed improved memory performance, less Aβ accumulation, increased neuron and synapse number, as well as restored balance of Bcl-2/Bax.

DISCUSSION

GAPT may improve cognitive functions via both reducing Aβ deposition and restoring Bcl-2/Bax balance of neuron.

摘要

引言

聚焦记忆的突触退化在阿尔茨海默病(AD)发病机制中起重要作用,然而,β淀粉样蛋白如何干扰神经元凋亡以及草药组合GAPT如何影响APP/PS1转基因小鼠的突触丢失和神经元凋亡途径尚不清楚。

方法

使用3个月和6个月大的APPswe/PS1dE9转基因小鼠。通过莫里斯水迷宫测量空间和记忆能力,通过电子显微镜评估神经元和突触数量;通过免疫组织化学和蛋白质印迹法测定Aβ、Bcl-2/Bax。

结果

APP/PS1小鼠不仅Aβ积累增加、记忆表现受损、突触数量减少且坏死神经元更多,而且Bcl-2/Bax比值显著降低。然而,GAPT和多奈哌齐显示出记忆表现改善、Aβ积累减少、神经元和突触数量增加以及Bcl-2/Bax平衡恢复。

讨论

GAPT可能通过减少Aβ沉积和恢复神经元的Bcl-2/Bax平衡来改善认知功能。

https://cdn.ncbi.nlm.nih.gov/pmc/blobs/6c35/6295930/445c6ba0f7ca/gr9.jpg
https://cdn.ncbi.nlm.nih.gov/pmc/blobs/6c35/6295930/4ec5b90cc5f2/gr1.jpg
https://cdn.ncbi.nlm.nih.gov/pmc/blobs/6c35/6295930/1338f85377cd/gr2.jpg
https://cdn.ncbi.nlm.nih.gov/pmc/blobs/6c35/6295930/da40f4e90957/gr3.jpg
https://cdn.ncbi.nlm.nih.gov/pmc/blobs/6c35/6295930/3d486032c061/gr4.jpg
https://cdn.ncbi.nlm.nih.gov/pmc/blobs/6c35/6295930/e206a41088cd/gr5.jpg
https://cdn.ncbi.nlm.nih.gov/pmc/blobs/6c35/6295930/987462d1e5cf/gr6.jpg
https://cdn.ncbi.nlm.nih.gov/pmc/blobs/6c35/6295930/52131e7316df/gr7.jpg
https://cdn.ncbi.nlm.nih.gov/pmc/blobs/6c35/6295930/fa9ec323e246/gr8.jpg
https://cdn.ncbi.nlm.nih.gov/pmc/blobs/6c35/6295930/445c6ba0f7ca/gr9.jpg
https://cdn.ncbi.nlm.nih.gov/pmc/blobs/6c35/6295930/4ec5b90cc5f2/gr1.jpg
https://cdn.ncbi.nlm.nih.gov/pmc/blobs/6c35/6295930/1338f85377cd/gr2.jpg
https://cdn.ncbi.nlm.nih.gov/pmc/blobs/6c35/6295930/da40f4e90957/gr3.jpg
https://cdn.ncbi.nlm.nih.gov/pmc/blobs/6c35/6295930/3d486032c061/gr4.jpg
https://cdn.ncbi.nlm.nih.gov/pmc/blobs/6c35/6295930/e206a41088cd/gr5.jpg
https://cdn.ncbi.nlm.nih.gov/pmc/blobs/6c35/6295930/987462d1e5cf/gr6.jpg
https://cdn.ncbi.nlm.nih.gov/pmc/blobs/6c35/6295930/52131e7316df/gr7.jpg
https://cdn.ncbi.nlm.nih.gov/pmc/blobs/6c35/6295930/fa9ec323e246/gr8.jpg
https://cdn.ncbi.nlm.nih.gov/pmc/blobs/6c35/6295930/445c6ba0f7ca/gr9.jpg

相似文献

1
The influence of GAPT extraction on synapse loss of APPswe/PS1dE9 transgenic mice via adjusting Bcl-2/Bax balance.GAPT提取通过调节Bcl-2/Bax平衡对APPswe/PS1dE9转基因小鼠突触丢失的影响。
Alzheimers Dement (N Y). 2018 Dec 14;4:724-736. doi: 10.1016/j.trci.2018.10.008. eCollection 2018.
2
Effect of Chinese herbal compound GAPT on the early brain glucose metabolism of APP/PS1 transgenic mice.中药复方 GAPT 对 APP/PS1 转基因小鼠早期脑葡萄糖代谢的影响。
Int J Immunopathol Pharmacol. 2019 Jan-Dec;33:2058738419841482. doi: 10.1177/2058738419841482.
3
Protective Effects of 2-Dodecyl-6-Methoxycyclohexa-2,5 -Diene-1,4-Dione Isolated from Averrhoa Carambola L. (Oxalidaceae) Roots on Neuron Apoptosis and Memory Deficits in Alzheimer's Disease.从阳桃(酢浆草科)根部分离出的2-十二烷基-6-甲氧基环己-2,5-二烯-1,4-二酮对阿尔茨海默病神经元凋亡和记忆缺陷的保护作用
Cell Physiol Biochem. 2018;49(3):1064-1073. doi: 10.1159/000493289. Epub 2018 Sep 7.
4
Benzo(a)pyrene exposure induced neuronal loss, plaque deposition, and cognitive decline in APP/PS1 mice.苯并(a)芘暴露可导致 APP/PS1 小鼠神经元丢失、斑块沉积和认知功能下降。
J Neuroinflammation. 2020 Aug 31;17(1):258. doi: 10.1186/s12974-020-01925-y.
5
Intermittent hypoxia treatment alleviates memory impairment in the 6-month-old APPswe/PS1dE9 mice and reduces amyloid beta accumulation and inflammation in the brain.间歇性低氧处理可改善 6 月龄 APPswe/PS1dE9 小鼠的记忆障碍,并减少脑内淀粉样β积累和炎症。
Alzheimers Res Ther. 2021 Nov 29;13(1):194. doi: 10.1186/s13195-021-00935-z.
6
6-Methyluracil derivatives as acetylcholinesterase inhibitors for treatment of Alzheimer's disease.6-甲基尿嘧啶衍生物作为用于治疗阿尔茨海默病的乙酰胆碱酯酶抑制剂
Int J Risk Saf Med. 2015;27 Suppl 1:S69-71. doi: 10.3233/JRS-150694.
7
GEPT extract reduces Abeta deposition by regulating the balance between production and degradation of Abeta in APPV717I transgenic mice.GEPT提取物通过调节APPV717I转基因小鼠中β-淀粉样蛋白(Aβ)生成与降解之间的平衡来减少Aβ沉积。
Curr Alzheimer Res. 2009 Apr;6(2):118-31. doi: 10.2174/156720509787602942.
8
[Moxibustion improves learning-memory ability by promoting cellular autophagy and regulating autophagy-related proteins in hippocampus and cerebral cortex in APP/PS1 transgenic Alzheimer's disease mice].[艾灸通过促进细胞自噬和调节APP/PS1转基因阿尔茨海默病小鼠海马和大脑皮层中自噬相关蛋白来改善学习记忆能力]
Zhen Ci Yan Jiu. 2019 Apr 25;44(4):235-41. doi: 10.13702/j.1000-0607.180305.
9
Magnesium-L-threonate exhibited a neuroprotective effect against oxidative stress damage in HT22 cells and Alzheimer's disease mouse model.L-苏糖酸镁对HT22细胞和阿尔茨海默病小鼠模型中的氧化应激损伤具有神经保护作用。
World J Psychiatry. 2022 Mar 19;12(3):410-424. doi: 10.5498/wjp.v12.i3.410.
10
Episodic-like memory deficits in the APPswe/PS1dE9 mouse model of Alzheimer's disease: relationships to beta-amyloid deposition and neurotransmitter abnormalities.阿尔茨海默病APPswe/PS1dE9小鼠模型中的类情景记忆缺陷:与β-淀粉样蛋白沉积和神经递质异常的关系。
Neurobiol Dis. 2005 Apr;18(3):602-17. doi: 10.1016/j.nbd.2004.10.022.

引用本文的文献

1
VEGF-A in serum protects against memory impairment in APP/PS1 transgenic mice by blocking neutrophil infiltration.血清中的 VEGF-A 通过阻止中性粒细胞浸润来保护 APP/PS1 转基因小鼠免受记忆障碍的影响。
Mol Psychiatry. 2023 Oct;28(10):4374-4389. doi: 10.1038/s41380-023-02097-w. Epub 2023 Jun 6.
2
Chinese herbal compound Jinsiwei improves synaptic plasticity in mice with sporadic Alzheimer's disease induced by streptozotocin.金思维中药复方通过改善散发性阿尔茨海默病小鼠的突触可塑性来发挥作用。
J Tradit Chin Med. 2023 Feb;43(1):78-86. doi: 10.19852/j.cnki.jtcm.20220727.001.
3
GAPT regulates cholinergic dysfunction and oxidative stress in the brains of learning and memory impairment mice induced by scopolamine.

本文引用的文献

1
Mechanisms and effects of curcumin on spatial learning and memory improvement in APPswe/PS1dE9 mice.姜黄素改善 APPswe/PS1dE9 小鼠空间学习记忆能力的机制及作用。
J Neurosci Res. 2014 Feb;92(2):218-31. doi: 10.1002/jnr.23322. Epub 2013 Nov 23.
2
Animal models of Alzheimer disease.阿尔茨海默病的动物模型。
Cold Spring Harb Perspect Med. 2012 Nov 1;2(11):a006320. doi: 10.1101/cshperspect.a006320.
3
A combination extract of ginseng, epimedium, polygala, and tuber curcumae increases synaptophysin expression in APPV717I transgenic mice.
GAPT 调节东莨菪碱诱导的学习记忆障碍小鼠大脑中的胆碱能功能障碍和氧化应激。
Brain Behav. 2020 May;10(5):e01602. doi: 10.1002/brb3.1602. Epub 2020 Mar 15.
人参、淫羊藿、远志和莪术的组合提取物可增加 APPV717I 转基因小鼠突触体素的表达。
Chin Med. 2012 Jun 9;7(1):13. doi: 10.1186/1749-8546-7-13.
4
Neuropathological alterations in Alzheimer disease.阿尔茨海默病的神经病理学改变。
Cold Spring Harb Perspect Med. 2011 Sep;1(1):a006189. doi: 10.1101/cshperspect.a006189.
5
The effects of MyD88 deficiency on exploratory activity, anxiety, motor coordination, and spatial learning in C57BL/6 and APPswe/PS1dE9 mice.MyD88 缺失对 C57BL/6 和 APPswe/PS1dE9 小鼠探索性活动、焦虑、运动协调和空间学习的影响。
Behav Brain Res. 2012 Feb 1;227(1):36-42. doi: 10.1016/j.bbr.2011.10.027. Epub 2011 Oct 21.
6
Alzheimer's disease.阿尔茨海默病
N Engl J Med. 2010 Jan 28;362(4):329-44. doi: 10.1056/NEJMra0909142.
7
Differential effects of gamma-secretase and BACE1 inhibition on brain Abeta levels in vitro and in vivo.γ-分泌酶和β-分泌酶1(BACE1)抑制对体外和体内脑β-淀粉样蛋白(Aβ)水平的不同影响。
J Neurochem. 2009 Sep;110(5):1377-87. doi: 10.1111/j.1471-4159.2009.06215.x. Epub 2009 Jun 10.
8
Impaired neurogenesis, neuronal loss, and brain functional deficits in the APPxPS1-Ki mouse model of Alzheimer's disease.阿尔茨海默病 APPxPS1-Ki 小鼠模型中的神经发生受损、神经元丢失和脑功能缺陷。
Neurobiol Aging. 2011 Mar;32(3):407-18. doi: 10.1016/j.neurobiolaging.2009.03.009. Epub 2009 Apr 23.
9
GEPT extract reduces Abeta deposition by regulating the balance between production and degradation of Abeta in APPV717I transgenic mice.GEPT提取物通过调节APPV717I转基因小鼠中β-淀粉样蛋白(Aβ)生成与降解之间的平衡来减少Aβ沉积。
Curr Alzheimer Res. 2009 Apr;6(2):118-31. doi: 10.2174/156720509787602942.
10
Thirty years of Alzheimer's disease genetics: the implications of systematic meta-analyses.三十年的阿尔茨海默病遗传学研究:系统荟萃分析的启示
Nat Rev Neurosci. 2008 Oct;9(10):768-78. doi: 10.1038/nrn2494.