Suppr超能文献

采用自动管电流调制和正弦图确认迭代重建技术的超低剂量CT结肠成像:对辐射剂量和图像质量的影响。

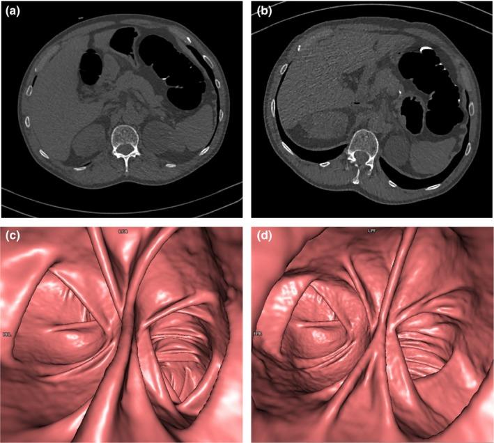
Ultra-low dose CT colonography with automatic tube current modulation and sinogram-affirmed iterative reconstruction: Effects on radiation exposure and image quality.

作者信息

Cianci Roberta, Delli Pizzi Andrea, Esposito Gianluigi, Timpani Mauro, Tavoletta Alessandra, Pulsone Pierluigi, Basilico Raffaella, Cotroneo Antonio Raffaele, Filippone Antonella

机构信息

Department of Neuroscience Imaging and Clinical Sciences, University "G. d'Annunzio", SS. Annunziata Hospital, Chieti, Italy.

出版信息

J Appl Clin Med Phys. 2019 Jan;20(1):321-330. doi: 10.1002/acm2.12510. Epub 2018 Dec 26.

Abstract

OBJECTIVE

To assess the radiation dose and image quality of ultra-low dose (ULD)-CT colonography (CTC) obtained with the combined use of automatic tube current (mAs) modulation with a quality reference mAs of 25 and sinogram-affirmed iterative reconstruction (SAFIRE), compared to low-dose (LD) CTC acquired with a quality reference mAs of 55 and reconstructed with filtered back projection (FBP).

METHODS

Eighty-two patients underwent ULD-CTC acquisition in prone position and LD-CTC acquisition in supine position. Both ULD-CTC and LD-CTC protocols were compared in terms of radiation dose [weighted volume computed tomography dose index (CTDI ) and effective dose], image noise, image quality, and polyp detection.

RESULTS

The mean effective dose of ULD-CTC was significantly lower than that of LD-CTC (0.98 and 2.69 mSv respectively, P < 0.0001) with an overall dose reduction of 63.2%. Image noise was comparable between ULD-CTC and LD-CTC (28.6 and 29.8 respectively, P = 0.09). There was no relevant difference when comparing image quality scores and polyp detection for both 2D and 3D images.

CONCLUSION

ULD-CTC allows to significantly reduce the radiation dose without meaningful image quality degradation compared to LD-CTC.

摘要

目的

评估在质量参考毫安秒(mAs)为25时联合使用自动管电流调制和正弦图确认迭代重建(SAFIRE)获得的超低剂量(ULD)CT结肠成像(CTC)的辐射剂量和图像质量,并与质量参考mAs为55且采用滤波反投影(FBP)重建的低剂量(LD)CTC进行比较。

方法

82例患者分别进行俯卧位ULD-CTC采集和仰卧位LD-CTC采集。从辐射剂量[加权容积计算机断层扫描剂量指数(CTDI)和有效剂量]、图像噪声、图像质量和息肉检测等方面对ULD-CTC和LD-CTC方案进行比较。

结果

ULD-CTC的平均有效剂量显著低于LD-CTC(分别为0.98和2.69 mSv,P < 0.0001),总体剂量降低了63.2%。ULD-CTC和LD-CTC之间的图像噪声相当(分别为28.6和29.8,P = 0.09)。在比较二维和三维图像的图像质量评分和息肉检测时,没有发现相关差异。

结论

与LD-CTC相比,ULD-CTC能够显著降低辐射剂量,且图像质量无明显下降。

https://cdn.ncbi.nlm.nih.gov/pmc/blobs/c755/6333183/e7548048bbaf/ACM2-20-321-g001.jpg

文献AI研究员

20分钟写一篇综述,助力文献阅读效率提升50倍。

立即体验

用中文搜PubMed

大模型驱动的PubMed中文搜索引擎

马上搜索

文档翻译

学术文献翻译模型,支持多种主流文档格式。

立即体验