Suppr超能文献

单节段颈椎前路融合手术中矫正节段性后凸是否必要?一项观察性研究。

Is correction of segmental kyphosis necessary in single-level anterior cervical fusion surgery? An observational study.

作者信息

Lu Jian, Sun Changjun, Bai Jiangbo, Tian Siyu, Zhang Bing, Tian Dehu, Kong Lingde

机构信息

Department of Orthopedics, The Third Hospital of Hebei Medical University, Shijiazhuang, Hebei 050051, China,

Department of Emergency, The Second Hospital of Tangshan City, Tangshan, Hebei 063000, China.

出版信息

Ther Clin Risk Manag. 2018 Dec 19;15:39-44. doi: 10.2147/TCRM.S177513. eCollection 2019.

Abstract

BACKGROUND

This study was conducted to determine whether sagittal lordotic alignment and clinical outcomes could be improved by the correction of segmental kyphosis after single-level anterior cervical discectomy and fusion (ACDF) surgery.

PATIENTS AND METHODS

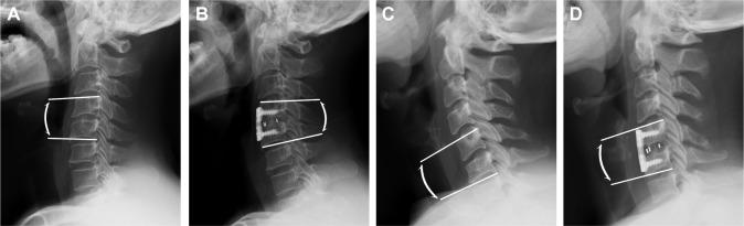
We retrospectively reviewed patients who underwent single-level ACDF surgery in our hospital between January 2014 and February 2017. Basic characteristics of patients included age at surgery, gender, diagnosis, duration of symptoms, and location of target level. Pre- and postoperative radiographs at the 6-month follow-up were used to evaluate the following parameters, such as segmental angle, C2-C7 angle, T1 slope, and C2-C7 sagittal vertical axis (SVA). Postoperative clinical outcomes were assessed by the Neck Disability Index and VAS. According to the segmental angle of postoperative radiographs, patients were divided into noncorrection group and correction group.

RESULTS

A total of 181 patients (99 males and 82 females) were analyzed in our study. There were 32 patients in the noncorrection group and 149 patients in the correction group. There was no significant difference in demographic and clinical data between the two groups before surgery. However, patients in the correction group showed larger C2-C7 angle and lower C2-C7 SVA after surgery in comparison with those in the noncorrection group. Besides, changes in the segmental angle were positively correlated with changes in C2-C7 angle and negatively correlated with changes in C2-C7 SVA.

CONCLUSION

Surgical correction of segmental kyphosis in single-level cervical surgery contributed to balanced cervical alignment in comparison with those without satisfactory correction. However, we could not demonstrate that the correction of segmental alignment is associated with a better recovery in clinical outcomes.

摘要

背景

本研究旨在确定在单节段颈椎前路椎间盘切除融合术(ACDF)后,通过纠正节段性后凸是否能改善矢状位前凸对线和临床疗效。

患者与方法

我们回顾性分析了2014年1月至2017年2月在我院接受单节段ACDF手术的患者。患者的基本特征包括手术年龄、性别、诊断、症状持续时间和目标节段位置。使用随访6个月时的术前和术后X线片评估以下参数,如节段角、C2-C7角、T1斜率和C2-C7矢状垂直轴(SVA)。通过颈部残疾指数和视觉模拟评分(VAS)评估术后临床疗效。根据术后X线片的节段角,将患者分为未矫正组和矫正组。

结果

本研究共分析了181例患者(99例男性和82例女性)。未矫正组有32例患者,矫正组有149例患者。两组术前的人口统计学和临床数据无显著差异。然而,与未矫正组相比,矫正组患者术后的C2-C7角更大,C2-C7 SVA更低。此外,节段角的变化与C2-C7角的变化呈正相关,与C2-C7 SVA的变化呈负相关。

结论

与未获得满意矫正的患者相比,单节段颈椎手术中对节段性后凸进行手术矫正有助于实现颈椎对线平衡。然而,我们无法证明节段对线的矫正与临床疗效的更好恢复相关。

https://cdn.ncbi.nlm.nih.gov/pmc/blobs/199b/6305155/9b2e1aa183d4/tcrm-15-039Fig1.jpg

文献AI研究员

20分钟写一篇综述,助力文献阅读效率提升50倍。

立即体验

用中文搜PubMed

大模型驱动的PubMed中文搜索引擎

马上搜索

文档翻译

学术文献翻译模型,支持多种主流文档格式。

立即体验