Suppr超能文献

用于检测柑橘黄龙病病原体亚洲韧皮杆菌的环介导等温扩增检测法

Loop-mediated Isothermal Amplification assay for Detection of Liberibacter Asiaticus, a Causal Agent of Citrus Huanglongbing.

作者信息

Choi Cheol Woo, Hyun Jae Wook, Hwang Rok Yeon, Powell Charles A

机构信息

Citrus Research Institute, National Institute of Horticultural and Herbal Science, R.D.A. Jeju 63607, Korea.

University of Florida, Institute of Food and Agricultural Sciences, Indian River Research and Education Center, 2199 South Rock Road, Fort Pierce, FL 34945, USA.

出版信息

Plant Pathol J. 2018 Dec;34(6):499-505. doi: 10.5423/PPJ.FT.10.2018.0212. Epub 2018 Dec 1.

Abstract

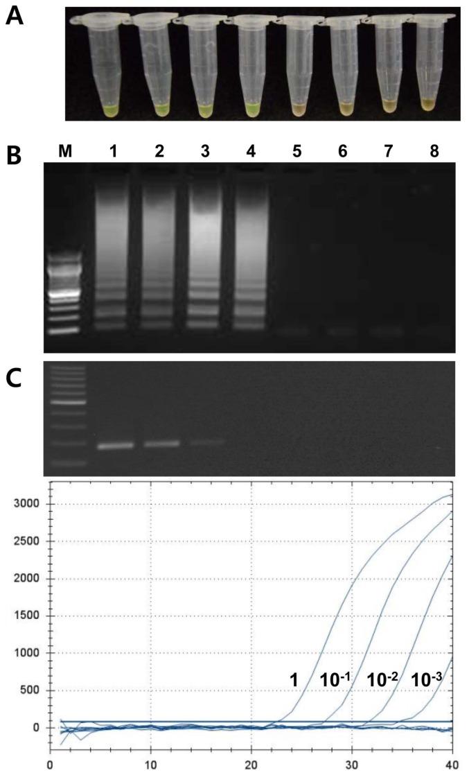
Huanglongbing (HLB, Citrus greening disease) is one of the most devastating diseases that threaten citrus production worldwide. Although HLB presents systemically, low titer and uneven distribution of these bacteria within infected plants can make reliable detection difficult. It was known loop-mediated isothermal amplification (LAMP) method has the advantages of being highly specific, rapid, efficient, and laborsaving for detection of plant pathogens. We developed a new LAMP method targeting gene contained tandem repeat for more rapid and sensitive detection of Liberibacter asiaticus (Las), putative causal agent of the citrus huanglongbing. This new LAMP method was 10 folds more sensitive than conventional PCR in detecting the HLB pathogen and similar to that of real-time PCR in visual detection assay by adding SYBR Green I to mixture and 1% agarose gel electrophoresis. Positive reactions were achieved in reaction temperature 57, 60 and 62°C but not 65°C. Although this LAMP method was not more sensitive than real-time PCR, it does not require a thermocycler for amplification or agarose gel electrophoresis for resolution. Thus, we expect that this LAMP method shows strong promise as a reliable, rapid, and cost-effective method of detecting the Las in citrus and can be applied for rapid diagnosis is needed.

摘要

黄龙病(HLB,柑橘绿变病)是威胁全球柑橘生产的最具毁灭性的病害之一。尽管黄龙病呈系统性表现,但这些细菌在受感染植物体内的滴度低且分布不均,使得可靠检测变得困难。已知环介导等温扩增(LAMP)方法在检测植物病原体方面具有高度特异性、快速、高效和省力的优点。我们开发了一种针对包含串联重复序列基因的新型LAMP方法,用于更快速、灵敏地检测柑橘黄龙病的假定病原体亚洲韧皮杆菌(Las)。这种新型LAMP方法在检测黄龙病病原体方面比传统PCR灵敏10倍,在通过向混合物中添加SYBR Green I和1%琼脂糖凝胶电泳进行可视化检测分析时,与实时PCR的灵敏度相似。在57、60和62°C的反应温度下可获得阳性反应,但在65°C时不行。虽然这种LAMP方法不如实时PCR灵敏,但它不需要热循环仪进行扩增,也不需要琼脂糖凝胶电泳进行分辨。因此,我们预计这种LAMP方法作为一种可靠、快速且经济高效的检测柑橘中Las的方法具有很大前景,并且在需要快速诊断时可应用。

https://cdn.ncbi.nlm.nih.gov/pmc/blobs/ddbb/6305174/6f9fa53c6eda/ppj-34-499f1.jpg

文献AI研究员

20分钟写一篇综述,助力文献阅读效率提升50倍。

立即体验

用中文搜PubMed

大模型驱动的PubMed中文搜索引擎

马上搜索

文档翻译

学术文献翻译模型,支持多种主流文档格式。

立即体验