Centre for Genomic Regulation, Barcelona, Spain.
Department of Biology and Biotechnology "C. Darwin,", "Sapienza" - University of Rome, Rome, Italy.
Cancer Sci. 2019 Apr;110(4):1232-1243. doi: 10.1111/cas.13925. Epub 2019 Mar 18.
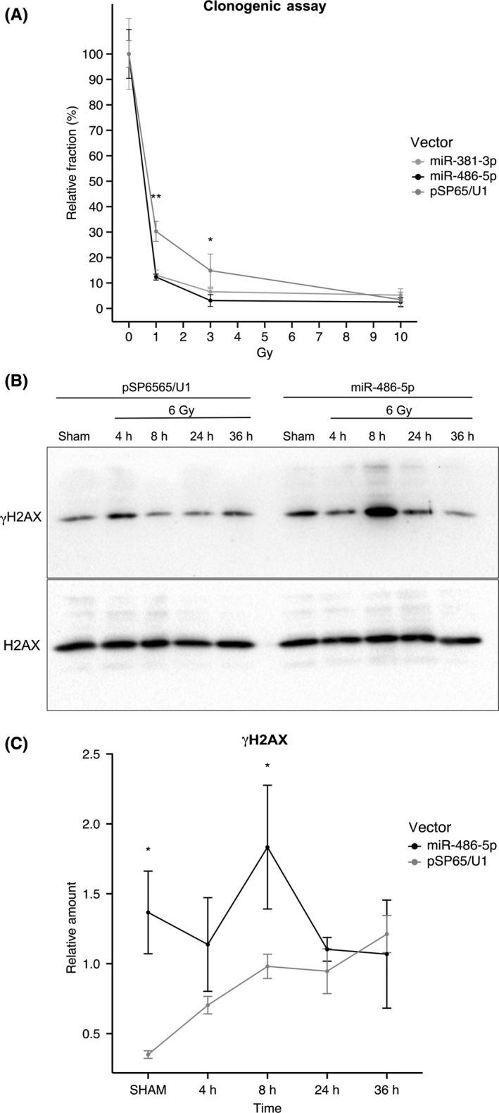
JARID1B/KDM5B histone demethylase's mRNA is markedly overexpressed in breast cancer tissues and cell lines and the protein has been shown to have a prominent role in cancer cell proliferation and DNA repair. However, the mechanism of its post-transcriptional regulation in cancer cells remains elusive. We performed a computational analysis of transcriptomic data from a set of 103 breast cancer patients, which, along with JARID1B upregulation, showed a strong downregulation of 2 microRNAs (miRNAs), mir-381 and mir-486, potentially targeting its mRNA. We showed that both miRNAs can target JARID1B 3'UTR and reduce luciferase's activity in a complementarity-driven repression assay. Moreover, MCF7 breast cancer cells overexpressing JARID1B showed a strong protein reduction when transfected with mir-486. This protein's decrease is accompanied by accumulation of DNA damage, enhanced radiosensitivity and increase of BRCA1 mRNA, 3 features previously correlated with JARID1B silencing. These results enlighten an important role of a miRNA's circuit in regulating JARID1B's activity and suggest new perspectives for epigenetic therapies.
JARID1B/KDM5B 组蛋白去甲基酶的 mRNA 在乳腺癌组织和细胞系中明显过表达,其蛋白已被证明在癌细胞增殖和 DNA 修复中起重要作用。然而,其在癌细胞中转录后调控的机制仍不清楚。我们对一组 103 名乳腺癌患者的转录组数据进行了计算分析,结果表明,除 JARID1B 上调外,2 个 microRNAs(miRNAs),mir-381 和 mir-486 也表现出强烈的下调,可能靶向其 mRNA。我们表明,这两个 miRNA 都可以靶向 JARID1B 的 3'UTR,并在互补驱动的抑制试验中降低荧光素酶的活性。此外,过表达 JARID1B 的 MCF7 乳腺癌细胞在转染 mir-486 后显示出强烈的蛋白减少。这种蛋白质的减少伴随着 DNA 损伤的积累、放射敏感性的增强和 BRCA1 mRNA 的增加,这 3 个特征以前与 JARID1B 的沉默相关。这些结果揭示了 miRNA 电路在调节 JARID1B 活性方面的重要作用,并为表观遗传治疗提供了新的视角。