Marinescu A, Stepan A E, Margaritescu C, Marinescu Alis Magdalena, Zavoi Roxana Eugenia, Simionescu Cristiana Eugenia
PhD Student, University of Medicine and Pharmacy of Craiova, Romania.
Department of Pathology, University of Medicine and Pharmacy of Craiova, Romania.
Curr Health Sci J. 2017 Jul-Sep;43(3):241-245. doi: 10.12865/CHSJ.43.03.10. Epub 2017 Sep 28.
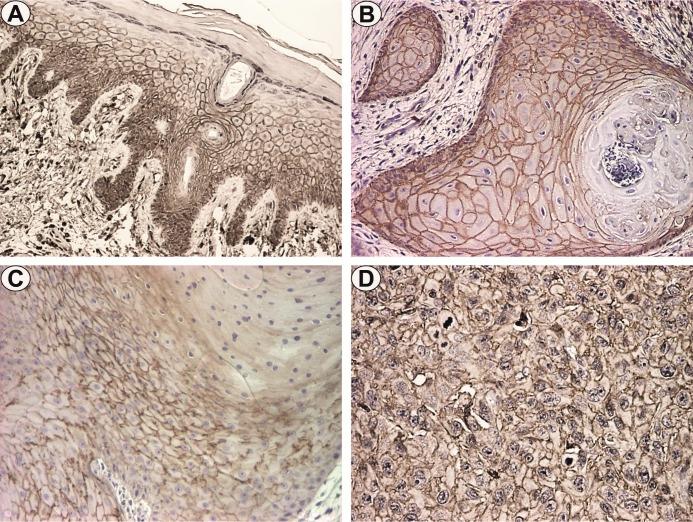
CD44 seems to confer the needed conditions for malignant neoplasms to grow and progress. The present study aims to investigate the role of CD44 expression in pre-invasive and invasive squamous lesions of the skin. We investigated 89 cases of preinvasive and invasive cutaneous lesions, of which 28 corresponded to actinic keratosis (KIN- keratinocyte intraepithelial neoplasia) with varying degrees of severity and 61 cases of squamous cell carcinoma with variable degrees of differentiation. The statistical analysis of CD44 immunoexpression indicated significantly higher values for KIN I and II compared to KIN III, as well as for KIN lesions in comparison with squamous cell carcinomas. Similar results were observed in well differentiated carcinomas compared to moderate and poorly differentiated lesions. These observations suggest that CD44 expression plays a role in the progression of cutaneous squamous neoplasia.
CD44似乎为恶性肿瘤的生长和进展提供了必要条件。本研究旨在探讨CD44表达在皮肤浸润前和浸润性鳞状病变中的作用。我们调查了89例浸润前和浸润性皮肤病变,其中28例为不同严重程度的光化性角化病(KIN - 角质形成细胞上皮内瘤变),61例为不同分化程度的鳞状细胞癌。CD44免疫表达的统计分析表明,与KIN III相比,KIN I和II以及与鳞状细胞癌相比,KIN病变的CD44值显著更高。与中度和低分化病变相比,在高分化癌中也观察到类似结果。这些观察结果表明,CD44表达在皮肤鳞状肿瘤的进展中起作用。