Suppr超能文献

比较全景放射摄影和锥形束计算机断层扫描在避免对牙种植手术至关重要的解剖结构方面的精度:一项回顾性研究。

Comparing the precision of panoramic radiography and cone-beam computed tomography in avoiding anatomical structures critical to dental implant surgery: A retrospective study.

作者信息

Özalp Öznur, Tezerişener Hüseyin Alican, Kocabalkan Burak, Büyükkaplan Ulviye Şebnem, Özarslan Mehmet Mustafa, Şimşek Kaya Göksel, Altay Mehmet Ali, Sindel Alper

机构信息

Department of Oral and Maxillofacial Surgery, Faculty of Dentistry, Akdeniz University, Antalya, Turkey.

Department of Prosthodontics, Faculty of Dentistry, Akdeniz University, Antalya, Turkey.

出版信息

Imaging Sci Dent. 2018 Dec;48(4):269-275. doi: 10.5624/isd.2018.48.4.269. Epub 2018 Dec 20.

Abstract

PURPOSE

The aim of this study was to evaluate the correlations between measurements made using panoramic radiography and cone-beam computed tomography (CBCT) based on certain anatomical landmarks of the jaws, with the goal of preventing complications due to inaccurate measurements in the pre-surgical planning phase of dental implant placement.

MATERIALS AND METHODS

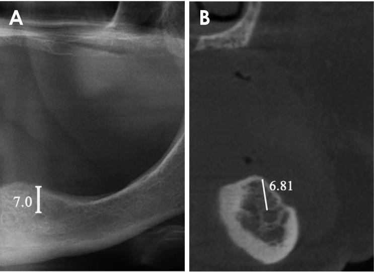
A total of 56 individuals who underwent panoramic radiography and a CBCT evaluation before dental implant surgery were enrolled in the study. Measurements were performed to identify the shortest vertical distance between the alveolar crest and neighboring anatomical structures, including the maxillary sinus, nasal floor, mandibular canal, and foramen mentale. The differences between the measurements on panoramic radiography and CBCT images were statistically analyzed.

RESULTS

Statistically significant differences were observed between the measurements on panoramic radiography and CBCT for all anatomical structures (<.05). The correlation coefficients () between the paired samples obtained from panoramic radiography and CBCT were closely correlated (<.05), with values varying from 0.921 and 0.979 for different anatomical regions.

CONCLUSION

The results of this study support the idea that panoramic radiography might provide sufficient information on bone height for preoperative implant planning in routine cases or when CBCT is unavailable. However, an additional CBCT evaluation might be helpful in cases where a safety margin cannot be respected due to insufficient bone height.

摘要

目的

本研究旨在基于颌骨的某些解剖标志评估全景放射摄影和锥形束计算机断层扫描(CBCT)测量结果之间的相关性,以防止在牙种植体植入术前规划阶段因测量不准确而导致并发症。

材料与方法

本研究共纳入56例在牙种植手术前行全景放射摄影和CBCT评估的个体。进行测量以确定牙槽嵴与相邻解剖结构之间的最短垂直距离,包括上颌窦、鼻底、下颌管和颏孔。对全景放射摄影和CBCT图像上的测量结果差异进行统计学分析。

结果

对于所有解剖结构,全景放射摄影和CBCT测量结果之间均观察到统计学显著差异(<.05)。从全景放射摄影和CBCT获得的配对样本之间的相关系数()密切相关(<.05),不同解剖区域的值在0.921至0.979之间变化。

结论

本研究结果支持以下观点,即全景放射摄影可能为常规病例或无法获得CBCT时的术前种植规划提供足够的骨高度信息。然而,在因骨高度不足而无法保留安全 margins 的情况下,额外的CBCT评估可能会有所帮助。

https://cdn.ncbi.nlm.nih.gov/pmc/blobs/85a1/6305775/20945a2d97d0/isd-48-269-g001.jpg

文献AI研究员

20分钟写一篇综述,助力文献阅读效率提升50倍。

立即体验

用中文搜PubMed

大模型驱动的PubMed中文搜索引擎

马上搜索

文档翻译

学术文献翻译模型,支持多种主流文档格式。

立即体验