Suppr超能文献

炙甘草汤对新西兰兔快速起搏诱导房颤模型心肌纤维化的逆转作用

Reversal effect of Zhigancao decoction on myocardial fibrosis in a rapid pacing-induced atrial fibrillation model in New Zealand rabbits.

作者信息

Sun Juan, Wugeti Najina, Mahemuti Aliman

机构信息

Department of Heart Failure, The First Affiliated Hospital of Xinjiang Medical University, Urumqi, Xinjiang 830054, China.

出版信息

J Int Med Res. 2019 Feb;47(2):884-892. doi: 10.1177/0300060518799819. Epub 2019 Jan 11.

Abstract

OBJECTIVE

To evaluate the effect of Zhigancao decoction on reversal of right atrial myocardial fibrosis after rapid atrial pacing (RAP)-induced atrial fibrillation (AF).

METHODS

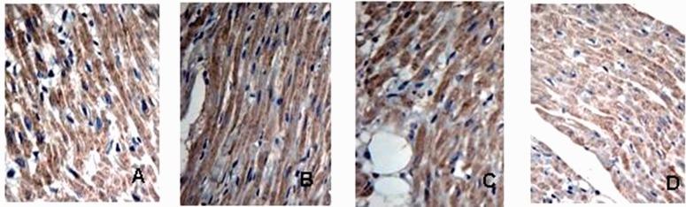
New Zealand white rabbits were randomly divided into four groups: sham operation group (Group A: implanted electrodes, no RAP), pacing group (Group B: RAP-induced AF), Zhigancao soup water decoction Yin group (Group C: RAP-induced AF followed by Zhigancao soup Yin prescription twice a day for 30 days), and Zhigancao soup group (Group D: RAP-induced AF followed by Zhigancao water decoction twice a day for 30 days). The atrial myocardium was then examined for myocardial fibrosis by Masson staining, and protein expression of matrix metalloproteinase-9 (MMP-9) was immunohistochemically assessed. The right atrial appendage tissue field action potential duration (fAPD) was measured by microelectrode arrays.

RESULTS

RAP successfully induced AF. Myocardial fibrosis was more severe in Groups B and C and less severe in Group D. Protein expression of MMP-9 was strongly positive in Groups B and C and weakly positive in Group D. The fAPD was significantly decreased in Groups B and C, but the decrease in Group D was not significant.

CONCLUSION

Zhigancao decoction can reverse AF-induced myocardial fibrosis in rabbits and shorten the fAPD.

摘要

目的

评估炙甘草汤对快速心房起搏(RAP)诱导的心房颤动(AF)后右心房心肌纤维化逆转的作用。

方法

将新西兰白兔随机分为四组:假手术组(A组:植入电极,未进行RAP)、起搏组(B组:RAP诱导AF)、炙甘草汤饮剂组(C组:RAP诱导AF后,每日给予炙甘草汤饮剂两次,共30天)和炙甘草汤组(D组:RAP诱导AF后,每日给予炙甘草水煎剂两次,共30天)。然后通过Masson染色检查心房心肌的心肌纤维化情况,并通过免疫组织化学评估基质金属蛋白酶-9(MMP-9)的蛋白表达。用微电极阵列测量右心耳组织场动作电位持续时间(fAPD)。

结果

RAP成功诱导AF。B组和C组心肌纤维化更严重,D组较轻。B组和C组MMP-9蛋白表达呈强阳性,D组呈弱阳性。B组和C组fAPD显著降低,但D组降低不显著。

结论

炙甘草汤可逆转兔AF诱导的心肌纤维化并缩短fAPD。

https://cdn.ncbi.nlm.nih.gov/pmc/blobs/cb08/6381473/2646329dc7ed/10.1177_0300060518799819-fig1.jpg

文献AI研究员

20分钟写一篇综述,助力文献阅读效率提升50倍。

立即体验

用中文搜PubMed

大模型驱动的PubMed中文搜索引擎

马上搜索

文档翻译

学术文献翻译模型,支持多种主流文档格式。

立即体验