Suppr超能文献

骨连接蛋白、基质金属蛋白酶-9和Ki-67在成釉细胞瘤中的免疫组化表达

Immunohistochemical expression of osteonectin, matrix metalloproteinases-9 and Ki-67 in ameloblastoma.

作者信息

Indirapriyadarsini K, Raghunath Vandana, Naidu B Venu, Ramakrishna Botu Badari, Tangudu Archana, Lokesh K V

机构信息

Department of Oral and Maxillofacial Pathology and Microbiology, CKS Theja Institute of Dental Science and Research, Tirupati, Andhra Pradesh, India.

Department of Oral and Maxillofacial Pathology and Microbiology, Narayana Dental College, Nellore, Andhra Pradesh, India.

出版信息

J Oral Maxillofac Pathol. 2018 Sep-Dec;22(3):446. doi: 10.4103/jomfp.JOMFP_271_17.

Abstract

BACKGROUND

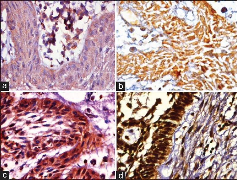
Ameloblastoma (AM) is a benign odontogenic neoplasm characterized by local invasiveness and recurrence. We have evaluated the immunohistochemical expressions of osteonectin (ON), matrix metalloproteinase-9 (MMP-9) and Ki-67 in AM to understand the biologic behavior of this neoplasm.

AIM

The aim of this study is to evaluate the expression of ON, MMP-9 and Ki-67 in AM.

MATERIALS AND METHODS

The study sample included archival tissues embedded in paraffin blocks histopathologically diagnosed as AM (20 cases). Three serial sections of each tissue specimen were stained separately with ON, MMP-9 and Ki-67 (immunohistochemistry stain) and evaluated. The data were analyzed using Spearman rank correlation test.

RESULTS

All AM cases 20/20 (100%) exhibited positive immunostaining for ON, MMP-9 and Ki-67.

CONCLUSION

Increased expression of ON, MMP-9 and Ki-67 in AM indicates that these molecules might play a role in the regulation and aggressive nature of this neoplasm.

摘要

背景

成釉细胞瘤(AM)是一种具有局部侵袭性和复发性的良性牙源性肿瘤。我们评估了骨连接蛋白(ON)、基质金属蛋白酶-9(MMP-9)和Ki-67在成釉细胞瘤中的免疫组化表达,以了解该肿瘤的生物学行为。

目的

本研究旨在评估成釉细胞瘤中ON、MMP-9和Ki-67的表达。

材料与方法

研究样本包括20例经组织病理学诊断为成釉细胞瘤的石蜡包埋存档组织。每个组织标本的三个连续切片分别用ON、MMP-9和Ki-67进行染色(免疫组化染色)并进行评估。数据采用Spearman等级相关检验进行分析。

结果

所有20例(100%)成釉细胞瘤病例对ON、MMP-9和Ki-67均呈阳性免疫染色。

结论

成釉细胞瘤中ON、MMP-9和Ki-67表达增加表明这些分子可能在该肿瘤的调控和侵袭性中发挥作用。

https://cdn.ncbi.nlm.nih.gov/pmc/blobs/1419/6306611/21ccb4b8251c/JOMFP-22-446b-g001.jpg

文献AI研究员

20分钟写一篇综述,助力文献阅读效率提升50倍。

立即体验

用中文搜PubMed

大模型驱动的PubMed中文搜索引擎

马上搜索

文档翻译

学术文献翻译模型,支持多种主流文档格式。

立即体验