Suppr超能文献

冠状动脉旁路移植术后的长期移植血管通畅情况:手术技术的影响

Long-term graft patency after coronary artery bypass grafting: Effects of surgical technique.

作者信息

Tinica Grigore, Chistol Raluca Ozana, Bulgaru Iliescu Diana, Furnica Cristina

机构信息

Department of Cardiovascular Surgery, 'Prof. Dr. George I.M. Georgescu' Cardiovascular Diseases Institute, 700503 Iasi, Romania.

Discipline of Cardiac Surgery, Department of Surgery I, 'Grigore T. Popa' University of Medicine and Pharmacy, 700115 Iasi, Romania.

出版信息

Exp Ther Med. 2019 Jan;17(1):359-367. doi: 10.3892/etm.2018.6929. Epub 2018 Nov 6.

Abstract

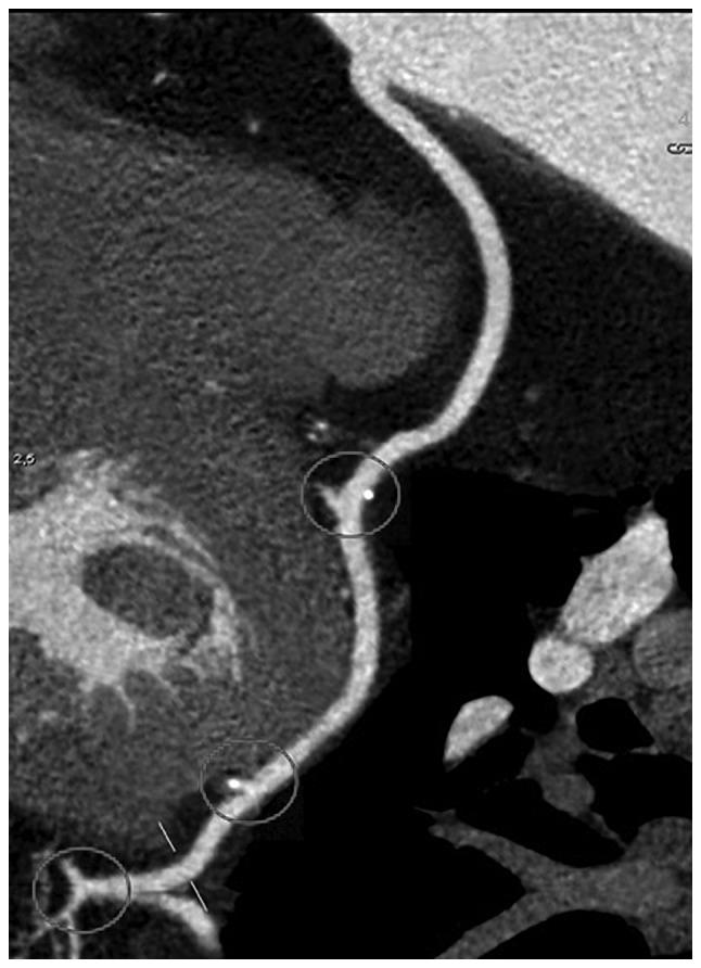
The aim of the current study was to identify surgical factors associated with long-term patency of grafts used in coronary artery bypass grafting (CABG). The present study analyzed data from 127 patients who underwent CABG at our institute between 2000 and 2006 and presented for ambulatory examination and coronary computed tomography angiography evaluation of graft patency in 2016 (139.78±36.64 months post-CABG). The 127 patients received 340 grafts (2.68 grafts/patient) and 399 distal anastomoses (3.14 anastomoses/patient), 220 (55.14%) with arterial grafts and 179 (44.86%) with saphenous vein grafts. Graft patency varied according to coronary territory, proximal anastomosis type ( graft, composite graft, graft anastomosed to the ascending aorta), Y anastomosis angle (47.21° for patent arterial grafts vs. 56° for occluded), and distal anastomosis angle (in sequential anastomoses irrespective to graft type, 48.60° for patent side-to-side anastomosis vs. 53.97° for occluded, 65.12° for patent end-to-side anastomosis vs. 90.80° for occluded; in single end-to-side anastomosis of arterial grafts, 39.46° for patent and 44.94° for occluded). A single end-to-side anastomosis angle 60° or greater was associated with a 5.149 occlusion odds ratio (OR) (P<0.001) for arterial grafts. Venous grafts were not sensitive to single end-to-side anastomosis angle. In conclusion, a small anastomosis angle for proximal Y and distal anastomoses is associated with a higher long-term patency of the free graft. Radial artery grafts registered higher patency rates when anastomosed to the ascending aorta compared with composite grafting with the left internal thoracic artery, whereas right internal thoracic artery (RITA) anastomosed to the right coronary territory is associated with a lower patency rate compared with free RITA used to revascularise the anterolateral or circumflex territory in composite grafting.

摘要

本研究的目的是确定与冠状动脉旁路移植术(CABG)中使用的移植物长期通畅相关的手术因素。本研究分析了2000年至2006年间在我院接受CABG手术,并于2016年接受门诊检查及冠状动脉计算机断层血管造影评估移植物通畅情况的127例患者的数据(CABG术后139.78±36.64个月)。127例患者共接受了340处移植物(2.68处移植物/患者)和399处远端吻合(3.14处吻合/患者),其中动脉移植物220处(55.14%),大隐静脉移植物179处(44.86%)。移植物通畅情况因冠状动脉区域、近端吻合类型(移植物、复合移植物、吻合至升主动脉的移植物)、Y形吻合角度(通畅动脉移植物为47.21°,闭塞动脉移植物为56°)以及远端吻合角度(在序贯吻合中,与移植物类型无关,侧侧吻合通畅时为48.60°,闭塞时为53.97°;端侧吻合通畅时为65.12°,闭塞时为90.80°;在动脉移植物的单端侧吻合中,通畅时为39.46°,闭塞时为44.94°)而异。动脉移植物单端侧吻合角度≥60°时,闭塞比值比(OR)为5.149(P<;0.001)。静脉移植物对单端侧吻合角度不敏感。总之,近端Y形吻合和远端吻合的吻合角度较小与游离移植物较高的长期通畅率相关。与左胸廓内动脉复合移植相比,桡动脉移植物吻合至升主动脉时通畅率更高,而右胸廓内动脉(RITA)吻合至右冠状动脉区域时,与复合移植中用于前外侧或回旋支区域血运重建的游离RITA相比,通畅率较低。

https://cdn.ncbi.nlm.nih.gov/pmc/blobs/e0e9/6307371/ebc99b3365e2/etm-17-01-0359-g00.jpg

文献AI研究员

20分钟写一篇综述,助力文献阅读效率提升50倍。

立即体验

用中文搜PubMed

大模型驱动的PubMed中文搜索引擎

马上搜索

文档翻译

学术文献翻译模型,支持多种主流文档格式。

立即体验