Suppr超能文献

成人肾肉瘤:1例初次切除术后13年复发的罕见病例。

Adult renal sarcoma: A rare case of recurrence 13 years after initial resection.

作者信息

Alameddine Mahmoud, Zheng Ian, Yusufali Ali, Mackrides Nicholas, Ciancio Gaetano

机构信息

Department of Urology University of Miami Miller School of Medicine Miami Florida.

Department of Pathology University of Miami Miller School of Medicine Miami Florida.

出版信息

Clin Case Rep. 2018 Nov 11;7(1):47-50. doi: 10.1002/ccr3.1911. eCollection 2019 Jan.

Abstract

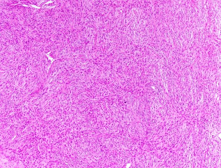
Renal sarcoma is a rare and aggressive malignancy without proper guidelines for treatment. Due to the aggressiveness of this disease and the potential for recurrence, we believe that extensive surgical resection with healthy margins may be the best option to treat this condition during both initial resection and resection of the recurrent lesion. Clinical follow-up is also important to monitor for tumor recurrence.

摘要

肾肉瘤是一种罕见且侵袭性强的恶性肿瘤,目前尚无恰当的治疗指南。鉴于这种疾病的侵袭性和复发可能性,我们认为在初次切除和复发病变切除时,进行切缘阴性的广泛手术切除可能是治疗这种疾病的最佳选择。临床随访对于监测肿瘤复发也很重要。

https://cdn.ncbi.nlm.nih.gov/pmc/blobs/3083/6333076/508fe9bc70a2/CCR3-7-47-g001.jpg

文献检索

告别复杂PubMed语法,用中文像聊天一样搜索,搜遍4000万医学文献。AI智能推荐,让科研检索更轻松。

立即免费搜索

文件翻译

保留排版,准确专业,支持PDF/Word/PPT等文件格式,支持 12+语言互译。

免费翻译文档

深度研究

AI帮你快速写综述,25分钟生成高质量综述,智能提取关键信息,辅助科研写作。

立即免费体验