Suppr超能文献

基因激活脂肪组织碎片作为先进的自体生物材料用于骨再生:组织内的成骨分化及其对临床转化的意义。

Gene activated adipose tissue fragments as advanced autologous biomaterials for bone regeneration: osteogenic differentiation within the tissue and implications for clinical translation.

机构信息

Department of Orthopedic Surgery, Physical Medicine and Rehabilitation, University Hospital Grosshadern, Ludwig-Maximilians-University Munich, Marchioninistr 15, 81377, Munich, Germany.

Sirion Biotech GmbH, Am Klopferspitz 19, 82152, Martinsried, Germany.

出版信息

Sci Rep. 2019 Jan 18;9(1):224. doi: 10.1038/s41598-018-36283-6.

Abstract

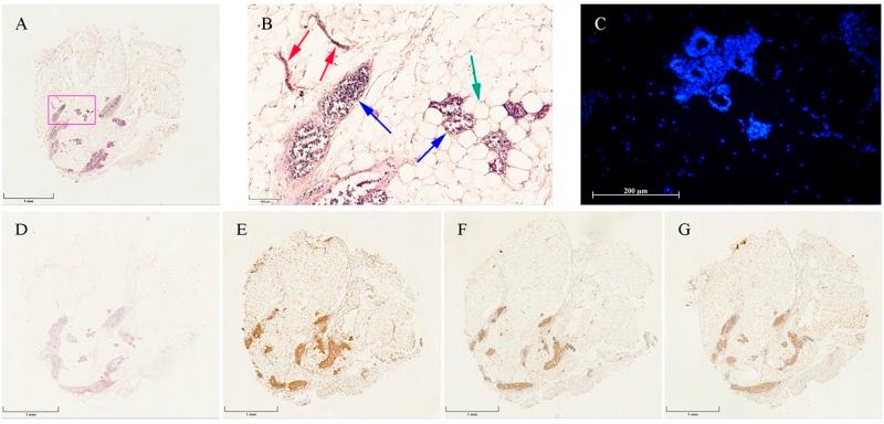
Cost-effective, expedited approaches for bone regeneration are urgently needed in an ageing population. Bone Morphogenetic Proteins (BMPs) stimulate osteogenesis but their efficacy is impeded by their short half-life. Delivery by genetically modified cells can overcome this problem. However, cell isolation and propagation represent significant obstacles for the translation into the clinic. Instead, complete gene activated fragments of adipose tissue hold great potential for bone repair. Here, using an in-vitro culture system, we investigated whether adenoviral transduction with human BMP-2 can promote osteogenic differentiation within adipose tissue fragments. Osteoinduction in adipose tissue fragments was evaluated by quantitative reverse transcriptase polymerase chain reaction, immunohistology and histomorphometry. BMP-2 transduced adipose tissue synthesized BMP-2 protein over 30 days peaking by day six, which significantly promoted osteogenic differentiation as indicated by increased calcium depositions, up-regulation of bone marker genes, and bone-related protein expression. Our results demonstrate that cells within adipose tissue fragments can differentiate osteogenically after BMP-2 transduction of cells on the surface of the adipose tissue. BMP-2 gene activated adipose tissue represents an advanced osteo-regenerative biomaterial that can actively contribute to osteogenesis and potentially enable the development of a novel, cost-effective, one-step surgical approach to bone repair without the need for cell isolation.

摘要

在老龄化人口中,迫切需要具有成本效益且快速的骨再生方法。骨形态发生蛋白(BMPs)可刺激成骨,但由于其半衰期短,其疗效受到阻碍。通过基因修饰细胞进行递送可以克服这个问题。然而,细胞分离和扩增是将其转化为临床应用的重大障碍。相反,完整的基因激活脂肪组织片段具有很大的骨修复潜力。在这里,我们使用体外培养系统研究了腺病毒转导的人 BMP-2 是否可以促进脂肪组织碎片中的成骨分化。通过定量逆转录聚合酶链反应、免疫组织化学和组织形态计量学评估脂肪组织碎片中的成骨诱导。BMP-2 转导的脂肪组织在 30 天内合成 BMP-2 蛋白,第 6 天达到峰值,这显著促进了成骨分化,表现为钙沉积增加、骨标志物基因上调和与骨相关的蛋白表达。我们的结果表明,BMP-2 转导脂肪组织表面细胞后,脂肪组织碎片内的细胞可以向成骨细胞分化。BMP-2 基因激活的脂肪组织代表了一种先进的骨再生生物材料,它可以积极促进成骨,并可能为一种新的、具有成本效益的、一步式骨修复手术方法的发展提供可能性,而无需进行细胞分离。

https://cdn.ncbi.nlm.nih.gov/pmc/blobs/684f/6338750/29b735524840/41598_2018_36283_Fig1_HTML.jpg

文献AI研究员

20分钟写一篇综述,助力文献阅读效率提升50倍。

立即体验

用中文搜PubMed

大模型驱动的PubMed中文搜索引擎

马上搜索

文档翻译

学术文献翻译模型,支持多种主流文档格式。

立即体验