Suppr超能文献

一只家养短毛猫患色素性荨麻疹样皮肤病。

Urticaria pigmentosa-like skin disease in a domestic shorthair cat.

作者信息

Tomich Lara M, Pieper Jason B

机构信息

Department of Clinical Medicine, University of Illinois Veterinary Teaching Hospital, Urbana, IL, USA.

出版信息

JFMS Open Rep. 2019 Jan 7;5(1):2055116918821197. doi: 10.1177/2055116918821197. eCollection 2019 Jan-Jun.

Abstract

CASE SUMMARY

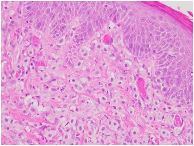
A 14-month-old castrated male domestic shorthair cat presented with an 8 month history of severe pruritus, alopecia, papules and excoriations. Initial evaluation and treatment prior to referral included skin scrape, cytology, two strict food trials, dermatophyte culture, and bacterial culture and sensitivity, as well as antibiotic therapy, empiric treatment for mites, steroids and ciclosporin A (Atopica; Elanco). The cat was referred to the Dermatology and Otology Clinic at the University of Illinois Veterinary Teaching Hospital for further diagnostics and treatment. Skin scrapes were unremarkable. Cytology showed rare bacteria and moderate neutrophils. The cat was given an injection of triamcinolone acetonide, which was ineffective. Oclacitinib (Apoquel; Zoetis) was given for 4 weeks with no improvement. A skin biopsy was performed, and histopathology showed large numbers of well-differentiated monomorphic mast cells with fewer eosinophils that diffusely infiltrated the superficial dermis, supportive of urticaria pigmentosa. Oral dexamethasone and cetirizine hydrochloride were initiated, and the cat responded favorably. At the time of writing, the cat continues to do well on cetirizine hydrochloride with only intermittent tapering courses of dexamethasone.

RELEVANCE AND NOVEL INFORMATION

To the best of our knowledge, this is the first reported case of urticaria pigmentosa in a domestic shorthair cat. This case also highlights the importance of biopsy after a thorough, systematic work-up in a cat with severe, intractable pruritus to reveal an uncommon disease pattern, as well as the efficacy of oral dexamethasone and cetirizine hydrochloride as a potential management option.

摘要

病例摘要

一只14个月大已绝育的雄性家猫出现严重瘙痒、脱毛、丘疹和抓痕8个月。转诊前的初步评估和治疗包括皮肤刮片、细胞学检查、两次严格的食物试验、皮肤真菌培养、细菌培养及药敏试验,以及抗生素治疗、经验性抗螨治疗、类固醇和环孢素A(爱波克;英特威)。这只猫被转诊至伊利诺伊大学兽医学院教学医院的皮肤科和耳科诊所进行进一步诊断和治疗。皮肤刮片检查未见异常。细胞学检查显示有少量细菌和中度嗜中性粒细胞。给这只猫注射了曲安奈德,但无效。给予奥克拉替尼(阿比可;硕腾)治疗4周,无改善。进行了皮肤活检,组织病理学显示大量分化良好的单形性肥大细胞,嗜酸性粒细胞较少,弥漫性浸润浅表真皮,支持色素性荨麻疹。开始口服地塞米松和盐酸西替利嗪,这只猫反应良好。在撰写本文时,这只猫继续服用盐酸西替利嗪,仅间歇性地逐渐减少地塞米松剂量,情况良好。

相关性和新信息

据我们所知,这是首次报道的家猫色素性荨麻疹病例。该病例还强调了在对患有严重、难治性瘙痒的猫进行全面、系统检查后进行活检以揭示罕见疾病模式的重要性,以及口服地塞米松和盐酸西替利嗪作为潜在治疗选择的有效性。

https://cdn.ncbi.nlm.nih.gov/pmc/blobs/2c7a/6327337/087f2bd99a76/10.1177_2055116918821197-fig1.jpg

相似文献

1
Urticaria pigmentosa-like skin disease in a domestic shorthair cat.
JFMS Open Rep. 2019 Jan 7;5(1):2055116918821197. doi: 10.1177/2055116918821197. eCollection 2019 Jan-Jun.
3
Feline maculopapular cutaneous mastocytosis: a retrospective study of 13 cases and proposal for a new classification.
J Feline Med Surg. 2019 Apr;21(4):394-404. doi: 10.1177/1098612X18776141. Epub 2018 Jun 4.
4
Deep and superficial skin scrapings from a feline immunodeficiency virus-positive cat.
Vet Clin Pathol. 2007 Mar;36(1):101-4. doi: 10.1111/j.1939-165x.2007.tb00191.x.
5
Skin fragility in a cat presenting with pituitary-dependent hyperadrenocorticism.
JFMS Open Rep. 2023 Jun 20;9(1):20551169231171245. doi: 10.1177/20551169231171245. eCollection 2023 Jan-Jun.
7
Gastroesophageal reflux disease accompanying urticaria pigmentosa.
Acta Dermatovenerol Croat. 2011;19(4):264-7.
8
Feline urticaria pigmentosa in three related Sphinx cats.
Vet Dermatol. 1996 Dec;7(4):227-233. doi: 10.1111/j.1365-3164.1996.tb00251.x.
9
Cutaneous form of maculopapular mastocytosis in a foal.
Vet Dermatol. 2016 Jun;27(3):202-e51. doi: 10.1111/vde.12308. Epub 2016 Apr 24.
10
2-Hydroxyglutaric aciduria as a cause for seizure-like episodes in a domestic shorthair cat.
JFMS Open Rep. 2019 Jun 18;5(1):2055116919853898. doi: 10.1177/2055116919853898. eCollection 2019 Jan-Jun.

引用本文的文献

1
Successful Treatment of a Multi-Drug-Resistant Severely Pruritic Hypersensitivity Dermatitis in a Cat.
Case Rep Vet Med. 2020 Oct 14;2020:8897365. doi: 10.1155/2020/8897365. eCollection 2020.

本文引用的文献

1
Feline urticaria pigmentosa in three related Sphinx cats.
Vet Dermatol. 1996 Dec;7(4):227-233. doi: 10.1111/j.1365-3164.1996.tb00251.x.
2
Cutaneous form of maculopapular mastocytosis in a foal.
Vet Dermatol. 2016 Jun;27(3):202-e51. doi: 10.1111/vde.12308. Epub 2016 Apr 24.
3
Urticaria pigmentosa-like disease in a dog.
Can Vet J. 2015 Mar;56(3):245-8.
5
Diffuse cutaneous mastocytosis in a newborn calf.
Vet Dermatol. 2008 Jun;19(3):184-6. doi: 10.1111/j.1365-3164.2008.00666.x.

文献AI研究员

20分钟写一篇综述,助力文献阅读效率提升50倍。

立即体验

用中文搜PubMed

大模型驱动的PubMed中文搜索引擎

马上搜索

文档翻译

学术文献翻译模型,支持多种主流文档格式。

立即体验