• 文献检索
  • 文档翻译
  • 深度研究
  • 学术资讯
  • Suppr Zotero 插件Zotero 插件
  • 邀请有礼
  • 套餐&价格
  • 历史记录
应用&插件
Suppr Zotero 插件Zotero 插件浏览器插件Mac 客户端Windows 客户端微信小程序
定价
高级版会员购买积分包购买API积分包
服务
文献检索文档翻译深度研究API 文档MCP 服务
关于我们
关于 Suppr公司介绍联系我们用户协议隐私条款
关注我们

Suppr 超能文献

核心技术专利:CN118964589B侵权必究
粤ICP备2023148730 号-1Suppr @ 2026

文献检索

告别复杂PubMed语法,用中文像聊天一样搜索,搜遍4000万医学文献。AI智能推荐,让科研检索更轻松。

立即免费搜索

文件翻译

保留排版,准确专业,支持PDF/Word/PPT等文件格式,支持 12+语言互译。

免费翻译文档

深度研究

AI帮你快速写综述,25分钟生成高质量综述,智能提取关键信息,辅助科研写作。

立即免费体验

虚拟呼气 CT 图像在超声/CT 图像融合中补偿呼吸性肝脏运动的作用:局灶性肝脏病变患者的前瞻性研究。

Usefulness of Virtual Expiratory CT Images to Compensate for Respiratory Liver Motion in Ultrasound/CT Image Fusion: A Prospective Study in Patients with Focal Hepatic Lesions.

机构信息

Department of Radiology and Center for Imaging Science, Samsung Medical Center, Sungkyunkwan University School of Medicine, Seoul, Korea.

Department of Radiology, Chung-Ang University Hospital, Chung-Ang University College of Medicine, Seoul, Korea.

出版信息

Korean J Radiol. 2019 Feb;20(2):225-235. doi: 10.3348/kjr.2018.0320.

DOI:10.3348/kjr.2018.0320
PMID:30672162
原文链接:https://pmc.ncbi.nlm.nih.gov/articles/PMC6342754/
Abstract

OBJECTIVE

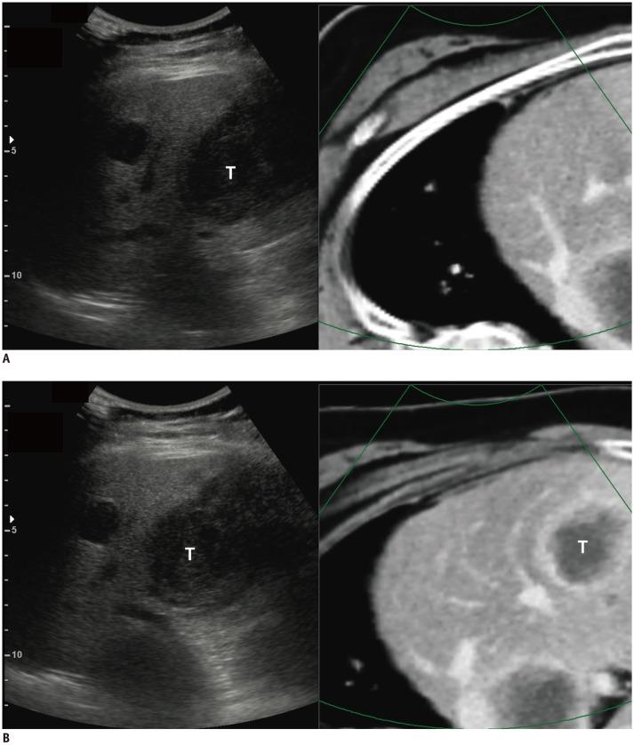
To assess whether virtual expiratory (VE)-computed tomography (CT)/ultrasound (US) fusion imaging is more effective than conventional inspiratory (CI)-CT/US fusion imaging for hepatic interventional procedures.

MATERIALS AND METHODS

This prospective study was approved by the Institutional Review Board, and informed consent was obtained from each patient. In total, 62 patients with focal hepatic lesions referred for hepatic interventional procedures were enrolled. VE-CT images were generated from CI-CT images to reduce the effects of respiration-induced liver motion. The two types of CT images were fused with real-time US images for each patient. The operators scored the visual similarity with the liver anatomy upon initial image fusion and the summative usability of complete image fusion using the respective five-point scales. The time required for complete image fusion and the number of point locks used were also compared.

RESULTS

In comparison with CI-CT/US fusion imaging, VE-CT/US fusion imaging showed significantly higher visual similarity with the liver anatomy on the initial image fusion (mean score, 3.9 vs. 1.7; < 0.001) and higher summative usability for complete image fusion (mean score, 4.0 vs. 1.9; < 0.001). The required time (mean, 11.1 seconds vs. 22.5 seconds; < 0.001) and the number of point locks (mean, 1.6 vs. 3.0; < 0.001) needed for complete image fusion using VE-CT/US fusion imaging were significantly lower than those needed for CI-CT/US fusion imaging.

CONCLUSION

VE-CT/US fusion imaging is more effective than CI-CT/US fusion imaging for hepatic interventional procedures.

摘要

目的

评估虚拟呼气(VE)-计算机断层扫描(CT)/超声(US)融合成像是否比传统吸气(CI)-CT/US 融合成像更有利于肝脏介入治疗。

材料与方法

本前瞻性研究经机构审查委员会批准,并获得每位患者的知情同意。共纳入 62 例因肝脏局灶性病变而行肝脏介入治疗的患者。从 CI-CT 图像中生成 VE-CT 图像,以减少呼吸引起的肝脏运动的影响。为每位患者将两种类型的 CT 图像与实时 US 图像融合。操作人员在初始图像融合时根据肝解剖结构的视觉相似性以及完全图像融合的综合可用性对图像融合进行评分,分别采用五分制。还比较了完全图像融合所需的时间和使用的点锁数量。

结果

与 CI-CT/US 融合成像相比,VE-CT/US 融合成像在初始图像融合时具有更高的肝解剖结构的视觉相似性(平均评分,3.9 对 1.7;<0.001)和更高的完全图像融合的综合可用性(平均评分,4.0 对 1.9;<0.001)。VE-CT/US 融合成像完成图像融合所需的时间(平均 11.1 秒对 22.5 秒;<0.001)和点锁数量(平均 1.6 对 3.0;<0.001)明显少于 CI-CT/US 融合成像。

结论

VE-CT/US 融合成像比 CI-CT/US 融合成像更有利于肝脏介入治疗。

https://cdn.ncbi.nlm.nih.gov/pmc/blobs/47a0/6342754/f16fc22c7e63/kjr-20-225-g006.jpg
https://cdn.ncbi.nlm.nih.gov/pmc/blobs/47a0/6342754/b501eb66e587/kjr-20-225-g001.jpg
https://cdn.ncbi.nlm.nih.gov/pmc/blobs/47a0/6342754/32fc2c903b66/kjr-20-225-g002.jpg
https://cdn.ncbi.nlm.nih.gov/pmc/blobs/47a0/6342754/b68721a60a5a/kjr-20-225-g003.jpg
https://cdn.ncbi.nlm.nih.gov/pmc/blobs/47a0/6342754/29e74ae303c5/kjr-20-225-g004.jpg
https://cdn.ncbi.nlm.nih.gov/pmc/blobs/47a0/6342754/9dbeb18f7187/kjr-20-225-g005.jpg
https://cdn.ncbi.nlm.nih.gov/pmc/blobs/47a0/6342754/f16fc22c7e63/kjr-20-225-g006.jpg
https://cdn.ncbi.nlm.nih.gov/pmc/blobs/47a0/6342754/b501eb66e587/kjr-20-225-g001.jpg
https://cdn.ncbi.nlm.nih.gov/pmc/blobs/47a0/6342754/32fc2c903b66/kjr-20-225-g002.jpg
https://cdn.ncbi.nlm.nih.gov/pmc/blobs/47a0/6342754/b68721a60a5a/kjr-20-225-g003.jpg
https://cdn.ncbi.nlm.nih.gov/pmc/blobs/47a0/6342754/29e74ae303c5/kjr-20-225-g004.jpg
https://cdn.ncbi.nlm.nih.gov/pmc/blobs/47a0/6342754/9dbeb18f7187/kjr-20-225-g005.jpg
https://cdn.ncbi.nlm.nih.gov/pmc/blobs/47a0/6342754/f16fc22c7e63/kjr-20-225-g006.jpg

相似文献

1
Usefulness of Virtual Expiratory CT Images to Compensate for Respiratory Liver Motion in Ultrasound/CT Image Fusion: A Prospective Study in Patients with Focal Hepatic Lesions.虚拟呼气 CT 图像在超声/CT 图像融合中补偿呼吸性肝脏运动的作用:局灶性肝脏病变患者的前瞻性研究。
Korean J Radiol. 2019 Feb;20(2):225-235. doi: 10.3348/kjr.2018.0320.
2
Comparison Between CT and MR Images as More Favorable Reference Data Sets for Fusion Imaging-Guided Radiofrequency Ablation or Biopsy of Hepatic Lesions: A Prospective Study with Focus on Patient's Respiration.CT与MR图像作为融合成像引导下肝病灶射频消融或活检更有利参考数据集的比较:一项关注患者呼吸的前瞻性研究
Cardiovasc Intervent Radiol. 2017 Oct;40(10):1567-1575. doi: 10.1007/s00270-017-1666-5. Epub 2017 May 1.
3
Automatic image fusion of real-time ultrasound with computed tomography images: a prospective comparison between two auto-registration methods.实时超声与计算机断层扫描图像的自动图像融合:两种自动配准方法的前瞻性比较。
Acta Radiol. 2017 Nov;58(11):1349-1357. doi: 10.1177/0284185117693459. Epub 2017 Feb 20.
4
Clinical utility of real-time ultrasound-multimodality fusion guidance for percutaneous biopsy of focal liver lesions.实时超声-多模态融合引导在经皮肝脏局灶性病变活检中的临床应用。
Eur J Radiol. 2018 Jun;103:76-83. doi: 10.1016/j.ejrad.2018.04.002. Epub 2018 Apr 4.
5
Image Fusion of Real-Time Ultrasonography with Computed Tomography: Factors Affecting the Registration Error and Motion of Focal Hepatic Lesions.实时超声与计算机断层扫描的图像融合:影响肝脏局灶性病变配准误差和运动的因素
Ultrasound Med Biol. 2017 Sep;43(9):2024-2032. doi: 10.1016/j.ultrasmedbio.2017.01.027. Epub 2017 Jun 19.
6
Automatic Registration between Real-Time Ultrasonography and Pre-Procedural Magnetic Resonance Images: A Prospective Comparison between Two Registration Methods by Liver Surface and Vessel and by Liver Surface Only.实时超声与术前磁共振图像的自动配准:基于肝表面和血管以及仅基于肝表面的两种配准方法的前瞻性比较。
Ultrasound Med Biol. 2016 Jul;42(7):1627-36. doi: 10.1016/j.ultrasmedbio.2016.02.008. Epub 2016 Apr 13.
7
Real-time ultrasonography-computed tomography fusion imaging for staging of hepatic metastatic involvement in patients with colorectal cancer: initial results from comparison to US seeing separate CT images and to multidetector-row CT alone.实时超声计算机断层融合成像在结直肠癌患者肝转移分期中的应用:与单独使用超声分别观察 CT 图像和多排 CT 相比的初步结果。
Invest Radiol. 2010 Aug;45(8):491-501. doi: 10.1097/RLI.0b013e3181ddd3da.
8
Improving Echo-Guided Procedures Using an Ultrasound-CT Image Fusion System.使用超声-CT图像融合系统改善超声引导操作
Surg Innov. 2015 Jun;22(3):217-22. doi: 10.1177/1553350615577483. Epub 2015 Mar 22.
9
Rapid switching kVp dual energy CT: Value of reconstructed dual energy CT images and organ dose assessment in multiphasic liver CT exams.快速切换管电压双能量 CT:多期肝脏 CT 检查中双能量 CT 图像重建的价值和器官剂量评估。
Eur J Radiol. 2018 May;102:102-108. doi: 10.1016/j.ejrad.2018.02.022. Epub 2018 Feb 19.
10
Additional value of contrast-enhanced ultrasonography for fusion-guided, percutaneous biopsies of focal liver lesions: prospective feasibility study.超声造影引导经皮肝穿刺活检在局灶性肝脏病变融合引导中的应用价值:前瞻性可行性研究。
Abdom Radiol (NY). 2018 Dec;43(12):3279-3287. doi: 10.1007/s00261-018-1608-y.

引用本文的文献

1
Clinical evaluation of a robotic system for precise CT-guided percutaneous procedures.经皮 CT 引导下精确穿刺机器人系统的临床评估。
Abdom Radiol (NY). 2021 Oct;46(10):5007-5016. doi: 10.1007/s00261-021-03175-9. Epub 2021 Jun 19.
2
A Glimpse on Trends and Characteristics of Recent Articles Published in the .对近期发表在……上的文章的趋势和特点的一瞥
Korean J Radiol. 2019 Dec;20(12):1555-1561. doi: 10.3348/kjr.2019.0928.

本文引用的文献

1
Recent Advances in the Image-Guided Tumor Ablation of Liver Malignancies: Radiofrequency Ablation with Multiple Electrodes, Real-Time Multimodality Fusion Imaging, and New Energy Sources.肝脏恶性肿瘤的影像引导肿瘤消融治疗的最新进展:多电极射频消融、实时多模态融合成像和新型能源。
Korean J Radiol. 2018 Jul-Aug;19(4):545-559. doi: 10.3348/kjr.2018.19.4.545. Epub 2018 Jun 14.
2
Image Fusion of Real-Time Ultrasonography with Computed Tomography: Factors Affecting the Registration Error and Motion of Focal Hepatic Lesions.实时超声与计算机断层扫描的图像融合:影响肝脏局灶性病变配准误差和运动的因素
Ultrasound Med Biol. 2017 Sep;43(9):2024-2032. doi: 10.1016/j.ultrasmedbio.2017.01.027. Epub 2017 Jun 19.
3
Comparison Between CT and MR Images as More Favorable Reference Data Sets for Fusion Imaging-Guided Radiofrequency Ablation or Biopsy of Hepatic Lesions: A Prospective Study with Focus on Patient's Respiration.
CT与MR图像作为融合成像引导下肝病灶射频消融或活检更有利参考数据集的比较:一项关注患者呼吸的前瞻性研究
Cardiovasc Intervent Radiol. 2017 Oct;40(10):1567-1575. doi: 10.1007/s00270-017-1666-5. Epub 2017 May 1.
4
Automatic image fusion of real-time ultrasound with computed tomography images: a prospective comparison between two auto-registration methods.实时超声与计算机断层扫描图像的自动图像融合:两种自动配准方法的前瞻性比较。
Acta Radiol. 2017 Nov;58(11):1349-1357. doi: 10.1177/0284185117693459. Epub 2017 Feb 20.
5
A prospective comparison between auto-registration and manual registration of real-time ultrasound with MR images for percutaneous ablation or biopsy of hepatic lesions.实时超声与 MR 图像自动配准与手动配准在经皮肝病灶消融或活检中的前瞻性比较。
Abdom Radiol (NY). 2017 Jun;42(6):1799-1808. doi: 10.1007/s00261-017-1075-x.
6
Respiration-Induced Intraorgan Deformation of the Liver: Implications for Treatment Planning in Patients Treated With Fiducial Tracking.呼吸诱导的肝脏器官内变形:对接受基准跟踪治疗患者的治疗计划的影响
Technol Cancer Res Treat. 2017 Dec;16(6):776-782. doi: 10.1177/1533034616687193. Epub 2017 Jan 10.
7
Ultrasound registration: A review.超声配准:综述
Methods. 2017 Feb 15;115:128-143. doi: 10.1016/j.ymeth.2016.12.006. Epub 2016 Dec 11.
8
Real-time US-CT/MR fusion imaging for percutaneous radiofrequency ablation of hepatocellular carcinoma.实时超声 CT/MR 融合成像在经皮射频消融治疗肝细胞癌中的应用。
J Hepatol. 2017 Feb;66(2):347-354. doi: 10.1016/j.jhep.2016.09.003. Epub 2016 Sep 17.
9
Ultrasound-Guided Percutaneous Radiofrequency Ablation of Liver Tumors: How We Do It Safely and Completely.超声引导下经皮肝肿瘤射频消融术:我们如何安全、彻底地进行
Korean J Radiol. 2015 Nov-Dec;16(6):1226-39. doi: 10.3348/kjr.2015.16.6.1226. Epub 2015 Oct 26.
10
Percutaneous radiofrequency ablation of hepatic tumours: factors affecting technical failure of artificial ascites formation using an angiosheath.经皮射频消融肝肿瘤:使用血管鞘人工腹水形成技术失败的影响因素
Clin Radiol. 2014 Dec;69(12):1249-58. doi: 10.1016/j.crad.2014.07.012. Epub 2014 Aug 20.