Suppr超能文献

银屑病样皮炎动物模型中淋巴细胞群体的表型变化。

Phenotypic changes of lymphocyte populations in psoriasiform dermatitis animal model.

作者信息

Surcel Mihaela, Huică Radu-Ionuț, Munteanu Adriana Narcisa, Isvoranu Gheorghița, Pîrvu Ioana Ruxandra, Ciotaru Dan, Constantin Carolina, Bratu Ovidiu, Căruntu Constantin, Neagu Monica, Ursaciuc Cornel

机构信息

Immunobiology Laboratory, 'Victor Babeș' National Institute of Pathology, 050096 Bucharest, Romania.

Faculty of Biology, University of Bucharest, 050095 Bucharest, Romania.

出版信息

Exp Ther Med. 2019 Feb;17(2):1030-1038. doi: 10.3892/etm.2018.6978. Epub 2018 Nov 16.

Abstract

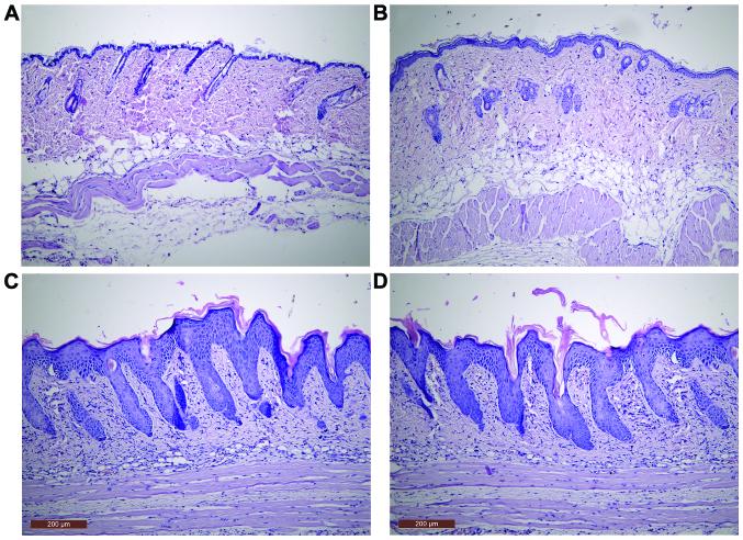
Psoriasis is a T cell mediated, chronic inflammatory autoimmune skin disease that affects up to 2-3% of the global population and leads to a decrease in quality of life. Experimental data accumulated in recent years highlighted the important role played by the immune system in the pathogenesis of this disease. Non-human psoriasis models are an important research tool that attempts to reproduce the clinical features of the disease in order to explain the pathogenesis of psoriasis and to identify possible therapeutic targets. Imiquimod-based murine model of psoriatic dermatitis is an alternative to traditional models of experimental psoriasis in mice and the induced dermatitis closely mimics the pathologic changes in human psoriasis. In order to emphasize changes in immune cell populations involved in lesion pathogenesis, we performed a murine model of psoriasiform dermatitis model by topical IMQ application. The progress and the severity of IMQ-induced skin inflammation were clinically (PASI score) and histopathologically evaluated. The immunological changes induced by IMQ treatment in lymphocyte populations from peripheral blood and spleen were evaluated by flow cytometry. The main changes observed in peripheral blood were the significantly increased T-CD8a lymphocyte and NK1.1 cell percentages and the decreased T-CD4 and B lymphocyte percentages in IMQ-treated mice. In spleen samples, lymphocytes showed the same tendency of variation as in peripheral blood, but without statistical significance. A significant decrease of B cells percentages was observed in spleen suspensions. Data obtained in skin samples may suggest the involvement of CD3ε, CD4 and CD8a cells in the lesional process. This murine model was analyzed by performing a basic cellular profile at three levels: peripheral blood, spleen and skin. The evaluation aimed to establish the immune framework of this experimental model that could further be used for etipathogenic mechanism identification and/or for studies regarding targeted therapies.

摘要

银屑病是一种由T细胞介导的慢性炎症性自身免疫性皮肤病,全球约2%-3%的人口受其影响,导致生活质量下降。近年来积累的实验数据突出了免疫系统在该疾病发病机制中所起的重要作用。非人类银屑病模型是一种重要的研究工具,旨在重现该疾病的临床特征,以解释银屑病的发病机制并确定可能的治疗靶点。基于咪喹莫特的银屑病性皮炎小鼠模型是小鼠实验性银屑病传统模型的替代方案,诱导的皮炎与人类银屑病的病理变化非常相似。为了强调参与病变发病机制的免疫细胞群体的变化,我们通过局部应用咪喹莫特建立了银屑病样皮炎小鼠模型。通过临床(银屑病面积和严重程度指数评分)和组织病理学评估咪喹莫特诱导的皮肤炎症的进展和严重程度。通过流式细胞术评估咪喹莫特治疗对外周血和脾脏淋巴细胞群体诱导的免疫变化。在外周血中观察到的主要变化是,咪喹莫特治疗的小鼠中T-CD8a淋巴细胞和NK1.1细胞百分比显著增加,T-CD4和B淋巴细胞百分比降低。在脾脏样本中,淋巴细胞显示出与外周血相同的变化趋势,但无统计学意义。在脾脏悬液中观察到B细胞百分比显著降低。在皮肤样本中获得的数据可能表明CD3ε、CD4和CD8a细胞参与了病变过程。通过在三个水平进行基本细胞分析对外周血、脾脏和皮肤,对该小鼠模型进行了分析。该评估旨在建立该实验模型的免疫框架,可进一步用于病因发病机制的鉴定和/或靶向治疗的研究。

https://cdn.ncbi.nlm.nih.gov/pmc/blobs/2251/6327675/fe25d965732a/etm-17-02-1030-g00.jpg

文献检索

告别复杂PubMed语法,用中文像聊天一样搜索,搜遍4000万医学文献。AI智能推荐,让科研检索更轻松。

立即免费搜索

文件翻译

保留排版,准确专业,支持PDF/Word/PPT等文件格式,支持 12+语言互译。

免费翻译文档

深度研究

AI帮你快速写综述,25分钟生成高质量综述,智能提取关键信息,辅助科研写作。

立即免费体验