Suppr超能文献

聚(ADP - 核糖)聚合酶在大鼠蛛网膜下腔出血后迟发性脑血管痉挛中的潜在作用

Potential role of poly (ADP-ribose) polymerase in delayed cerebral vasospasm following subarachnoid hemorrhage in rats.

作者信息

Fan Yameng, Yan Ge, Liu Furong, Rong Jie, Ma Wenxia, Yang Danrong, Yu Yan

机构信息

Department of Public Health, Medical College of Xi'an Jiaotong University, Xi'an, Shaanxi 710061, P.R. China.

Department of Medical Image, The First Affiliated Hospital of Xi'an Jiaotong University, Xi'an, Shaanxi 710061, P.R. China.

出版信息

Exp Ther Med. 2019 Feb;17(2):1290-1299. doi: 10.3892/etm.2018.7073. Epub 2018 Dec 7.

Abstract

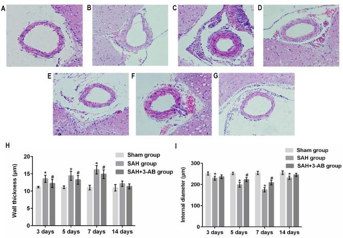
Poly (ADP-ribose) polymerase (PARP) serves a key role in several neurological disorders, however, the specific role of PARP in delayed cerebral vasospasm (DCVS) following subarachnoid hemorrhage (SAH) remains unclear. The present study was conducted to clarify the possible mechanism of PARP in DCVS with the treatment of 3-aminobenzamide (3-AB), a PARP inhibitor. In the preliminary experiment, an internal carotid artery puncture SAH model, a cisterna magna double injection SAH model and prechiasmatic cistern single injection SAH model were compared with respect to mortality and neurobehavioral test results. The prechiasmatic cistern single injection SAH model was chosen to induce DCVS in the formal experiment. In the formal experiment, a total of 96 Sprague Dawley rats were randomly allocated into the sham group, the SAH group and the SAH+3-AB group and then each group was further subdivided into days 3, 5, 7 and 14 post-SAH subgroups (n=8 for each subgroup). The prechiasmatic cistern single injection SAH model was established to induce DCVS. Neurobehavioral testing and HE staining were conducted to evaluate the degree of cerebral vasospasm. PARP activity was assessed by ELISA and immunohistochemistry. An electrophoretic mobility shift assay was used to detect nuclear factor (NF)-κB DNA-binding activity. The expression of monocyte chemotactic protein 1 (MCP-1) and C-reactive protein (CRP) were measured by western blotting. Cerebral vasospasm occurred following SAH and became most severe on around day 7 post-SAH. NF-κB activity, PARP activity, the expression of MCP-1 and CRP exhibited a similar time course to cerebral vasospasm. Treatment with 3-AB alleviated the degree of cerebral vasospasm. NF-κB activity, PARP activity and the expression of MCP-1 and CRP were also suppressed by 3-AB treatment. In conclusion, PARP may serve an important role in regulating the inflammatory response and ultimately contribute to DCVS. Therefore 3-AB may be a potential therapeutic agent for DCVS.

摘要

聚(ADP - 核糖)聚合酶(PARP)在多种神经系统疾病中起关键作用,然而,PARP在蛛网膜下腔出血(SAH)后迟发性脑血管痉挛(DCVS)中的具体作用仍不清楚。本研究旨在通过使用PARP抑制剂3 - 氨基苯甲酰胺(3 - AB)来阐明PARP在DCVS中的可能机制。在初步实验中,比较了颈内动脉穿刺SAH模型、枕大池双注射SAH模型和视交叉前池单注射SAH模型的死亡率和神经行为测试结果。在正式实验中选择视交叉前池单注射SAH模型来诱导DCVS。在正式实验中,将总共96只Sprague Dawley大鼠随机分为假手术组、SAH组和SAH + 3 - AB组,然后每组进一步细分为SAH后第3、5、7和14天的亚组(每个亚组n = 8)。建立视交叉前池单注射SAH模型以诱导DCVS。进行神经行为测试和HE染色以评估脑血管痉挛的程度。通过ELISA和免疫组织化学评估PARP活性。使用电泳迁移率变动分析来检测核因子(NF)-κB DNA结合活性。通过蛋白质印迹法测量单核细胞趋化蛋白1(MCP - 1)和C反应蛋白(CRP)的表达。SAH后发生脑血管痉挛,在SAH后约第7天最为严重。NF - κB活性、PARP活性、MCP - 1和CRP的表达与脑血管痉挛呈现相似的时间进程。用3 - AB治疗可减轻脑血管痉挛的程度。3 - AB治疗也抑制了NF - κB活性、PARP活性以及MCP - 1和CRP的表达。总之,PARP可能在调节炎症反应中起重要作用,并最终导致DCVS。因此,3 - AB可能是DCVS的一种潜在治疗药物。

https://cdn.ncbi.nlm.nih.gov/pmc/blobs/236a/6327579/344b0325c854/etm-17-02-1290-g00.jpg

文献AI研究员

20分钟写一篇综述,助力文献阅读效率提升50倍。

立即体验

用中文搜PubMed

大模型驱动的PubMed中文搜索引擎

马上搜索

文档翻译

学术文献翻译模型,支持多种主流文档格式。

立即体验