Suppr超能文献

水苏碱通过减弱Akt/mTOR/PI3K和TLR4/NFκ-B信号通路的表达对创伤性脑损伤诱导的神经退行性变的有益作用。

Benificial Effect of Stachydrine on the Traumatic Brain Injury Induced Neurodegeneration by Attenuating the Expressions of Akt/mTOR/PI3K and TLR4/NFκ-B Pathway.

作者信息

Yu Nianzu, Hu Si, Hao Zheng

机构信息

Department of Neurosurgery, The First Affiliated Hospital of Nanchang University, Nanchang 330006, China.

出版信息

Transl Neurosci. 2018 Dec 31;9:175-182. doi: 10.1515/tnsci-2018-0026. eCollection 2018.

Abstract

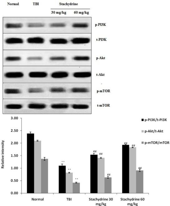
Present investigation aims to explore the protective effect of stachydrine against traumatic brain injury (TBI) and also investigate the molecular mechanism of its action. TBI was induced by the fall a hammer (450 g) from the height of 1.5 m. and later stachydrine was administered for 2 weeks starting 2 hr after the induction of TBI. Effect of stachydrine was determined by estimating modified neurological severity score (mNSS), percentage of water content in the brain and cognitive dysfunction in TBI rats. Moreover western blot assay, histopathology and enzyme linked immunosorbent assay (ELISA) tests were used to determine the effect of stachydrine on TBI injured rats. Result of the report suggests that stachydrine reduces the mNSS and percentage of water content in the brain and also attenuates the cognitive dysfunction in TBI injured rats. However data of western blot assay reports that stachydrine reduces the expression of PI3K/m-TOR/Akt pathway in the brain tissues of TBI rats. Concentration of interleukin (IL-1β), tumor necrosis factor-α (TNF-α) and interferon gamma (INF-γ) was reduces in stachydrine treated group than TBI group. Moreover expression of Nuclear factor-κB/Toll-like receptor 4 (NF-κB/TLR-4) protein was also decreased in stachydrine treated group than TBI group. Histopathology study on brain tissue reveals that the percentage of apoptotic cells was also reduced in stachydrine treated group than TBI group. Data of this investigation concludes that stachydrine protects the neuronal injury by attenuating the phosphatidylinositide 3-kinases/mammalian target of rapamycin/Protein kinase B (PI3K/m-TOR/Akt) and NF-κB/TLR-4 pathway in TBI injured rats.

摘要

本研究旨在探讨水苏碱对创伤性脑损伤(TBI)的保护作用,并研究其作用的分子机制。通过将一个450克的锤子从1.5米高处落下诱导TBI,在TBI诱导后2小时开始给予水苏碱,持续2周。通过评估改良神经功能缺损评分(mNSS)、脑含水量百分比和TBI大鼠的认知功能障碍来确定水苏碱的作用。此外,采用蛋白质印迹分析、组织病理学和酶联免疫吸附测定(ELISA)试验来确定水苏碱对TBI损伤大鼠的影响。报告结果表明,水苏碱降低了mNSS和脑含水量百分比,并减轻了TBI损伤大鼠的认知功能障碍。然而,蛋白质印迹分析数据报告称,水苏碱降低了TBI大鼠脑组织中PI3K/m-TOR/Akt信号通路的表达。与TBI组相比,水苏碱治疗组白细胞介素(IL-1β)、肿瘤坏死因子-α(TNF-α)和干扰素-γ(INF-γ)的浓度降低。此外,与TBI组相比,水苏碱治疗组核因子-κB/ Toll样受体4(NF-κB/TLR-4)蛋白的表达也降低。脑组织的组织病理学研究表明,与TBI组相比,水苏碱治疗组的凋亡细胞百分比也降低。本研究数据得出结论,水苏碱通过减弱TBI损伤大鼠的磷脂酰肌醇3-激酶/雷帕霉素哺乳动物靶点/蛋白激酶B(PI3K/m-TOR/Akt)和NF-κB/TLR-4信号通路来保护神经元损伤。

https://cdn.ncbi.nlm.nih.gov/pmc/blobs/7f24/6341910/b3bafebbbdce/tnsci-09-175-g001.jpg

文献检索

告别复杂PubMed语法,用中文像聊天一样搜索,搜遍4000万医学文献。AI智能推荐,让科研检索更轻松。

立即免费搜索

文件翻译

保留排版,准确专业,支持PDF/Word/PPT等文件格式,支持 12+语言互译。

免费翻译文档

深度研究

AI帮你快速写综述,25分钟生成高质量综述,智能提取关键信息,辅助科研写作。

立即免费体验