Suppr超能文献

既往接受过胰十二指肠切除术的患者肝切除术后顽固性胆漏的顺行性胆管引流:一例报告

Anterograde bile duct drainage for intractable bile leakage after hepatectomy in a patient with previous pancreatoduodenectomy: A case report.

作者信息

Murata Ryohei, Kamiizumi Yo, Ishizuka Chihiro, Kashiwakura Sayuri, Tsuji Takeshi, Kasai Hironori, Tani Yasuhiro, Haneda Tsutomu, Yoshida Tadashi, Ito Koji

机构信息

Department of Surgery, Iwamizawa Municipal Hospital, 068-8555, Iwamizawa-shi, Japan.

Department of Surgery, Iwamizawa Municipal Hospital, 068-8555, Iwamizawa-shi, Japan.

出版信息

Int J Surg Case Rep. 2019;55:121-124. doi: 10.1016/j.ijscr.2019.01.017. Epub 2019 Jan 29.

Abstract

INTRODUCTION

Endoscopic retrograde drainage is effective for managing bile leakage, which is relatively common after hepatectomy without bile duct reconstruction. However, the procedure is difficult to perform after pancreatoduodenectomy with choledochojejunostomy. We present a case of anterograde bile duct drainage for intractable bile leakage after hepatectomy in a patient with previous pancreatoduodenectomy.

PRESENTATION OF CASE

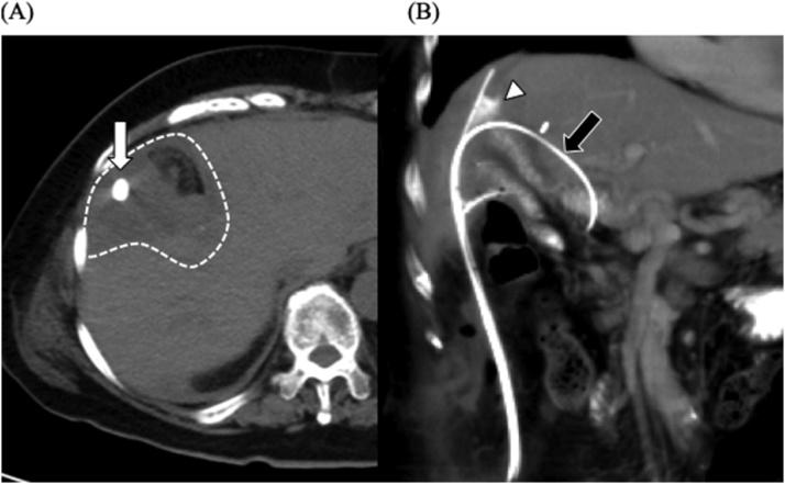
An 80-year-old woman with a history of pancreatoduodenectomy for distal biliary cancer and adjuvant chemotherapy presented with bile leakage. Six years after the pancreatoduodenectomy, she underwent partial hepatectomy for suspected metastasis or intrahepatic cholangiocarcinoma. On the 9th postoperative day, bile leaked from her drainage tube forming an abscess cavity; this continued until the 28th postoperative day. We attempted selective anterograde drainage from the cut surface of the liver under fluoroscopic guidance using a guidewire and Cobra-type catheter. We selectively cannulated the entrance hole of the bile duct. Twenty days after the drainage, the abscess cavity disappeared. After 41 days, the tube was removed, and the patient was discharged. We suggest this procedure as a possible treatment option for difficult bile leakage cases.

DISCUSSION

A case of intractable bile leakage after hepatectomy in a patient with a previous history of pancreatoduodenectomy is difficult to manage, and usually needs surgical intervention. The effect of selective cannulation of the entrance hole of the bile duct has not been studied.

CONCLUSION

Selective anterograde bile duct drainage for intractable bile leakage after hepatectomy in a patient with a previous history of pancreatoduodenectomy successfully resolved bile duct leakage in our patient.

摘要

引言

内镜逆行引流术对于处理肝切除术后无胆管重建时相对常见的胆漏有效。然而,在胰十二指肠切除术后行胆总管空肠吻合术的情况下,该操作难以实施。我们报告一例既往有胰十二指肠切除术的患者,肝切除术后发生顽固性胆漏而行顺行胆管引流的病例。

病例介绍

一名80岁女性,有远端胆管癌胰十二指肠切除术及辅助化疗史,出现胆漏。胰十二指肠切除术后6年,她因怀疑转移或肝内胆管癌接受了部分肝切除术。术后第9天,胆汁从引流管漏出,形成脓肿腔;这种情况一直持续到术后第28天。我们尝试在透视引导下,使用导丝和眼镜蛇型导管从肝脏切面进行选择性顺行引流。我们选择性地将胆管入口插管。引流20天后,脓肿腔消失。41天后,拔除引流管,患者出院。我们建议将此操作作为处理困难胆漏病例的一种可能的治疗选择。

讨论

既往有胰十二指肠切除术病史的患者肝切除术后发生顽固性胆漏的病例难以处理,通常需要手术干预。胆管入口选择性插管的效果尚未得到研究。

结论

既往有胰十二指肠切除术病史的患者肝切除术后顽固性胆漏行选择性顺行胆管引流成功解决了我们患者的胆管漏问题。

https://cdn.ncbi.nlm.nih.gov/pmc/blobs/9614/6360323/244d445cc92a/gr1.jpg

文献检索

告别复杂PubMed语法,用中文像聊天一样搜索,搜遍4000万医学文献。AI智能推荐,让科研检索更轻松。

立即免费搜索

文件翻译

保留排版,准确专业,支持PDF/Word/PPT等文件格式,支持 12+语言互译。

免费翻译文档

深度研究

AI帮你快速写综述,25分钟生成高质量综述,智能提取关键信息,辅助科研写作。

立即免费体验