• 文献检索
  • 文档翻译
  • 深度研究
  • 学术资讯
  • Suppr Zotero 插件Zotero 插件
  • 邀请有礼
  • 套餐&价格
  • 历史记录
应用&插件
Suppr Zotero 插件Zotero 插件浏览器插件Mac 客户端Windows 客户端微信小程序
定价
高级版会员购买积分包购买API积分包
服务
文献检索文档翻译深度研究API 文档MCP 服务
关于我们
关于 Suppr公司介绍联系我们用户协议隐私条款
关注我们

Suppr 超能文献

核心技术专利:CN118964589B侵权必究
粤ICP备2023148730 号-1Suppr @ 2026

文献检索

告别复杂PubMed语法,用中文像聊天一样搜索,搜遍4000万医学文献。AI智能推荐,让科研检索更轻松。

立即免费搜索

文件翻译

保留排版,准确专业,支持PDF/Word/PPT等文件格式,支持 12+语言互译。

免费翻译文档

深度研究

AI帮你快速写综述,25分钟生成高质量综述,智能提取关键信息,辅助科研写作。

立即免费体验

雪貂肾上腺囊肿的组织病理学研究。

A histopathological study on adrenal cysts in ferrets.

作者信息

Uneyama Mizuho, Chambers James K, Miyama Kouki, Miwa Yasutsugu, Uchida Kazuyuki, Nakayama Hiroyuki

机构信息

Laboratory of Veterinary Pathology, Graduate School of Agricultural and Life Sciences, The University of Tokyo, 1-1-1 Yayoi, Bunkyo-ku, Tokyo 113-8657, Japan.

Miwa Exotic Animal Hospital, 1-25-5 Komagome, Toshima-ku, Tokyo 170-0003, Japan.

出版信息

J Toxicol Pathol. 2019 Jan;32(1):49-55. doi: 10.1293/tox.2018-0030. Epub 2018 Oct 8.

DOI:10.1293/tox.2018-0030
PMID:30739995
原文链接:https://pmc.ncbi.nlm.nih.gov/articles/PMC6361667/
Abstract

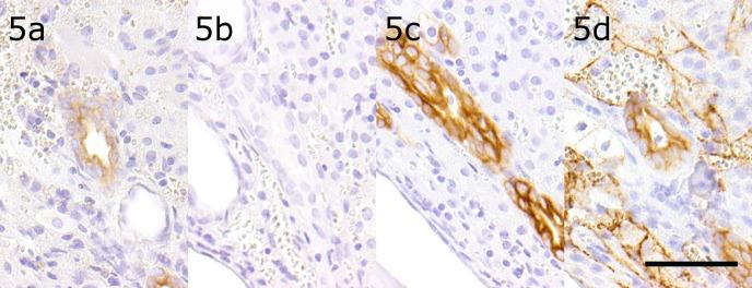
Adrenal disorders are common in ferrets, but there are few studies on cystic lesions of the adrenal gland. The present study describes pathological and immunohistochemical features of adrenal cysts in eleven ferrets and discusses their histogenesis. In nine of eleven cases examined, which included seven, one, and one right, left, and bilateral cases, respectively, cysts were in the adrenal cortex and lined with epithelial cells. These epithelial cells contained an Alcian blue-negative/PAS-positive material and were positive for cytokeratin (CK) 7. The staining pattern was similar to that of biliary epithelial cells in the ferret. In five of the cases, there were small ducts adjacent to the cysts that were positive for CK7 and CK20 and negative for CK19. Based on the anatomical proximity between the right adrenal and liver, the immunohistochemical features of the small duct cells were comparable to those of hepatic oval cells. These results indicate the possibility that these adrenocortical cysts in the ferret originated from the biliary system. In the other two cases, the cysts lacked an epithelial cell lining, and there were dilated lymphoid vessels around the cysts. These cysts were assumed to have developed in the adrenal medulla, because the cyst wall was positive for glial fibrillary acidic protein and there were adrenal medullary cells positive for synaptophysin in the cyst wall. Therefore, the medullary cysts may have been associated with dilated vasculatures.

摘要

肾上腺疾病在雪貂中很常见,但关于肾上腺囊性病变的研究很少。本研究描述了11只雪貂肾上腺囊肿的病理和免疫组化特征,并讨论了它们的组织发生。在11例检查病例中的9例中,分别包括7例、1例和1例右侧、左侧和双侧病例,囊肿位于肾上腺皮质,内衬上皮细胞。这些上皮细胞含有阿尔辛蓝阴性/过碘酸希夫染色阳性物质,细胞角蛋白(CK)7呈阳性。染色模式与雪貂胆管上皮细胞相似。在5例病例中,囊肿附近有小导管,CK7和CK20呈阳性,CK19呈阴性。基于右肾上腺与肝脏的解剖学邻近性,小导管细胞的免疫组化特征与肝卵圆细胞相似。这些结果表明,雪貂的这些肾上腺皮质囊肿可能起源于胆道系统。在另外2例病例中,囊肿缺乏上皮细胞内衬,囊肿周围有扩张的淋巴管。这些囊肿被认为是在肾上腺髓质中形成的,因为囊肿壁胶质纤维酸性蛋白呈阳性,囊肿壁中有突触素呈阳性的肾上腺髓质细胞。因此,髓质囊肿可能与血管扩张有关。

https://cdn.ncbi.nlm.nih.gov/pmc/blobs/b09b/6361667/2f2f6f418df8/tox-32-049-g006.jpg
https://cdn.ncbi.nlm.nih.gov/pmc/blobs/b09b/6361667/e6c62a62c6b9/tox-32-049-g001.jpg
https://cdn.ncbi.nlm.nih.gov/pmc/blobs/b09b/6361667/9ad6d1efcbed/tox-32-049-g002.jpg
https://cdn.ncbi.nlm.nih.gov/pmc/blobs/b09b/6361667/78744d21175a/tox-32-049-g003.jpg
https://cdn.ncbi.nlm.nih.gov/pmc/blobs/b09b/6361667/ab77e7ddb6d7/tox-32-049-g004.jpg
https://cdn.ncbi.nlm.nih.gov/pmc/blobs/b09b/6361667/f730938e339f/tox-32-049-g005.jpg
https://cdn.ncbi.nlm.nih.gov/pmc/blobs/b09b/6361667/2f2f6f418df8/tox-32-049-g006.jpg
https://cdn.ncbi.nlm.nih.gov/pmc/blobs/b09b/6361667/e6c62a62c6b9/tox-32-049-g001.jpg
https://cdn.ncbi.nlm.nih.gov/pmc/blobs/b09b/6361667/9ad6d1efcbed/tox-32-049-g002.jpg
https://cdn.ncbi.nlm.nih.gov/pmc/blobs/b09b/6361667/78744d21175a/tox-32-049-g003.jpg
https://cdn.ncbi.nlm.nih.gov/pmc/blobs/b09b/6361667/ab77e7ddb6d7/tox-32-049-g004.jpg
https://cdn.ncbi.nlm.nih.gov/pmc/blobs/b09b/6361667/f730938e339f/tox-32-049-g005.jpg
https://cdn.ncbi.nlm.nih.gov/pmc/blobs/b09b/6361667/2f2f6f418df8/tox-32-049-g006.jpg

相似文献

1
A histopathological study on adrenal cysts in ferrets.雪貂肾上腺囊肿的组织病理学研究。
J Toxicol Pathol. 2019 Jan;32(1):49-55. doi: 10.1293/tox.2018-0030. Epub 2018 Oct 8.
2
Clinicopathological and immunohistochemical analysis of epithelial-lined (true) cysts of the adrenal gland with proposal of a new histogenetic categorization.
Pathol Res Pract. 2017 Sep;213(9):1089-1096. doi: 10.1016/j.prp.2017.07.022. Epub 2017 Jul 21.
3
Adrenal cyst with both Müllerian and mesothelial differentiation- a clinicopathological and immunohistochemical study with implications for histogenesis.具有苗勒管和间皮分化的肾上腺囊肿——一项关于组织发生学的临床病理及免疫组化研究
Histol Histopathol. 2017 Nov;32(11):1141-1149. doi: 10.14670/HH-11-870. Epub 2017 Jan 18.
4
Intra-adrenal bile ductules associated with adreno-hepatic fusion: a possible origin for adrenal epithelial cysts.肾上腺内胆管与肾上腺-肝融合相关:肾上腺上皮性囊肿的可能起源。
Histopathology. 2013 Apr;62(5):799-804. doi: 10.1111/his.12088. Epub 2013 Feb 28.
5
Cystic prostatic disease associated with adrenocortical lesions in the ferret (Mustela putorius furo).雪貂(Mustela putorius furo)中与肾上腺皮质病变相关的前列腺囊性疾病。
Vet Pathol. 1998 Nov;35(6):547-9. doi: 10.1177/030098589803500612.
6
Adrenal epithelial cyst: a case report.
Pathologica. 2012 Apr;104(2):82-4.
7
Mesothelial cyst of the adrenal gland.
Pathol Int. 1995 Feb;45(2):156-9. doi: 10.1111/j.1440-1827.1995.tb03436.x.
8
Epithelial-lined (true) cyst of the adrenal gland: a case report.
Hum Pathol. 1989 May;20(5):491-2. doi: 10.1016/0046-8177(89)90017-8.
9
[Histopathological and immunohistochemical studies on mucous cysts].[黏液囊肿的组织病理学和免疫组织化学研究]
Meikai Daigaku Shigaku Zasshi. 1989;18(3):337-59.
10
Adrenal cortical epithelial cysts in two saddleback tamarins (Saguinus fuscicollis).两只鞍背绢毛猴(Saguinus fuscicollis)中的肾上腺皮质上皮囊肿。
J Comp Pathol. 1998 Aug;119(2):183-8. doi: 10.1016/s0021-9975(98)80063-7.

本文引用的文献

1
Adrenal Gland Lymphangiomas.肾上腺淋巴管瘤
Indian J Surg. 2015 Dec;77(Suppl 3):1334-42. doi: 10.1007/s12262-015-1206-y. Epub 2015 Jan 23.
2
Endocrinopathy and Aging in Ferrets.雪貂的内分泌病与衰老
Vet Pathol. 2016 Mar;53(2):349-65. doi: 10.1177/0300985815623621.
3
Ductal Plate Malformation in the Liver of Boxer Dogs: Clinical and Histological Features.拳师犬肝脏的导管板畸形:临床和组织学特征
Vet Pathol. 2016 May;53(3):602-13. doi: 10.1177/0300985815610567. Epub 2016 Jan 21.
4
Cystic lymphangioma of adrenal gland: a clinicopathological study of 3 cases and review of literature.肾上腺囊性淋巴管瘤:3例临床病理研究并文献复习
Int J Clin Exp Pathol. 2014 Jul 15;7(8):5051-6. eCollection 2014.
5
A morphological and immunohistochemical study of the effects of prednisolone or ursodeoxycholic acid on liver histology in feline lymphocytic cholangitis.泼尼松龙或熊去氧胆酸对猫淋巴细胞性胆管炎肝脏组织学影响的形态学和免疫组织化学研究
J Feline Med Surg. 2014 Oct;16(10):796-804. doi: 10.1177/1098612X14520811. Epub 2014 Feb 4.
6
Proliferative and nonproliferative lesions of the rat and mouse hepatobiliary system.大鼠和小鼠肝胆系统的增殖性和非增殖性病变
Toxicol Pathol. 2010 Dec;38(7 Suppl):5S-81S. doi: 10.1177/0192623310386499.
7
Diagnosis and treatment of the adrenal cyst.肾上腺囊肿的诊断与治疗。
Curr Urol Rep. 2010 Feb;11(1):44-50. doi: 10.1007/s11934-009-0080-1.
8
Adrenal diseases in ferrets in Japan.
J Vet Med Sci. 2008 Dec;70(12):1323-6. doi: 10.1292/jvms.70.1323.
9
Cysts of the adrenal gland.肾上腺囊肿
Postgrad Med J. 1947 Nov;23(265):530-3. doi: 10.1136/pgmj.23.265.530.
10
Long-term outcome of domestic ferrets treated surgically for hyperadrenocorticism: 130 cases (1995-2004).经手术治疗的肾上腺皮质功能亢进家养雪貂的长期预后:130例(1995 - 2004年)
J Am Vet Med Assoc. 2008 May 1;232(9):1338-43. doi: 10.2460/javma.232.9.1338.