Suppr超能文献

伪装成难治性维生素D缺乏性佝偻病的胆汁酸合成障碍

Bile Acid Synthesis Disorder Masquerading as Intractable Vitamin D-Deficiency Rickets.

作者信息

Ahmad Osman, Nogueira Janaina, Heubi James E, Setchell Kenneth D R, Ashraf Ambika P

机构信息

Division of Gastroenterology, Department of Pediatrics, University of Alabama at Birmingham, Birmingham, Alabama.

Department of Gastroenterology and Nutrition, Cincinnati Children's Hospital Medical Center, Cincinnati, Ohio.

出版信息

J Endocr Soc. 2018 Dec 31;3(2):397-402. doi: 10.1210/js.2018-00314. eCollection 2019 Feb 1.

Abstract

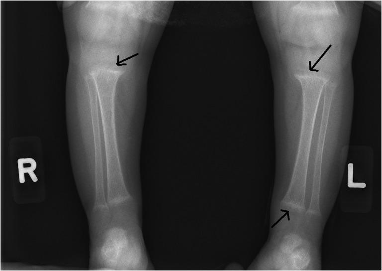
Vitamin D-deficiency rickets, not responding to large treatment doses of oral vitamin D, suggest rare receptor mutations, malabsorption, or hepatobiliary dysfunction. We present a set of twins of Hispanic origin who presented with refractory vitamin D-deficiency rickets and failure to thrive (FTT) at 6 months of age. On follow-up, mild elevations in serum alanine transaminases and normal aspartate aminotransferase were noted. Subsequently, patients manifested fat-soluble vitamin deficiencies. More targeted evaluations revealed a diagnosis of 3-hydroxy- -C-steroid oxidoreductase deficiency. Treatment with oral bile acid replacement with cholic acid resolved rickets and promoted weight gain. Bile acid synthesis disorders should be suspected in refractory rickets in infancy, particularly in a clinical setting of FTT, even in the absence of substantial abnormalities in liver-function tests.

摘要

对大剂量口服维生素D治疗无反应的维生素D缺乏性佝偻病,提示存在罕见的受体突变、吸收不良或肝胆功能障碍。我们报告了一组西班牙裔双胞胎,他们在6个月大时出现难治性维生素D缺乏性佝偻病和生长发育迟缓(FTT)。随访时,发现血清丙氨酸转氨酶轻度升高,天冬氨酸转氨酶正常。随后,患者出现脂溶性维生素缺乏。更有针对性的评估显示诊断为3-β-羟基-C27-类固醇氧化还原酶缺乏症。用胆酸进行口服胆汁酸替代治疗可治愈佝偻病并促进体重增加。对于婴儿难治性佝偻病,尤其是在生长发育迟缓的临床背景下,即使肝功能检查无明显异常,也应怀疑胆汁酸合成障碍。

https://cdn.ncbi.nlm.nih.gov/pmc/blobs/4bb8/6364623/63c223564599/js.2018-00314f1.jpg

文献检索

告别复杂PubMed语法,用中文像聊天一样搜索,搜遍4000万医学文献。AI智能推荐,让科研检索更轻松。

立即免费搜索

文件翻译

保留排版,准确专业,支持PDF/Word/PPT等文件格式,支持 12+语言互译。

免费翻译文档

深度研究

AI帮你快速写综述,25分钟生成高质量综述,智能提取关键信息,辅助科研写作。

立即免费体验