Suppr超能文献

引起肠套叠和小肠梗阻的黏膜下脂肪瘤:一例报告

Submucosal Lipomas Causing Intussusception and Small Bowel Obstruction: A Case Report.

作者信息

Ahmed Mohamed, Habis Saba, Saeed Rasha, Mahmoud Ahmed, Plurad David

机构信息

Surgery, Riverside Community Hospital, Riverside, USA.

Internal Medicine, Riverside Community Hospital, Riverside, USA.

出版信息

Cureus. 2018 Dec 5;10(12):e3692. doi: 10.7759/cureus.3692.

Abstract

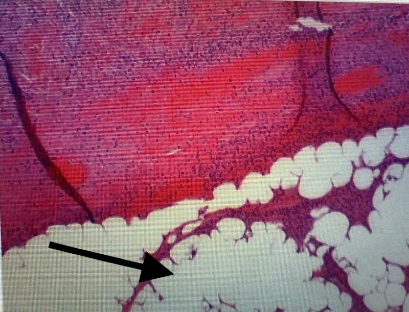
Intussusception is a rare cause of bowel obstruction caused by both benign and malignant pathology. We are presenting the case of an elderly patient who had been diagnosed with irritable bowel syndrome for many years prior to presenting to us with ileocecal intussusception causing a small bowel obstruction. Laparoscopic resection of the terminal ileum and cecum was performed. Pathology revealed multiple submucosal lipomas as the underlying cause.

摘要

肠套叠是由良性和恶性病变引起的肠梗阻的罕见原因。我们报告一例老年患者,该患者在因回盲部肠套叠导致小肠梗阻前来就诊之前,多年来一直被诊断为肠易激综合征。进行了腹腔镜下末端回肠和盲肠切除术。病理显示多个黏膜下脂肪瘤是潜在病因。

https://cdn.ncbi.nlm.nih.gov/pmc/blobs/082e/6368428/0c0bdf91f00d/cureus-0010-00000003692-i01.jpg

文献检索

告别复杂PubMed语法,用中文像聊天一样搜索,搜遍4000万医学文献。AI智能推荐,让科研检索更轻松。

立即免费搜索

文件翻译

保留排版,准确专业,支持PDF/Word/PPT等文件格式,支持 12+语言互译。

免费翻译文档

深度研究

AI帮你快速写综述,25分钟生成高质量综述,智能提取关键信息,辅助科研写作。

立即免费体验