Suppr超能文献

在心肌灌注闪烁扫描期间,对计算机断层扫描衰减校正图像上的偶然发现进行恰当报告和调查的重要性。

The importance of appropriate reporting and investigation of incidental findings on computed tomography attenuation correction images during myocardial perfusion scintigraphy.

作者信息

Delaney Francis T, Gray Emma L, Lee Joseph C

机构信息

Department of Medical Imaging, The Prince Charles Hospital, Brisbane, Australia.

Faculty of Medicine, The University of Queensland, Australia.

出版信息

World J Nucl Med. 2019 Jan-Mar;18(1):74-76. doi: 10.4103/wjnm.WJNM_19_18.

Abstract

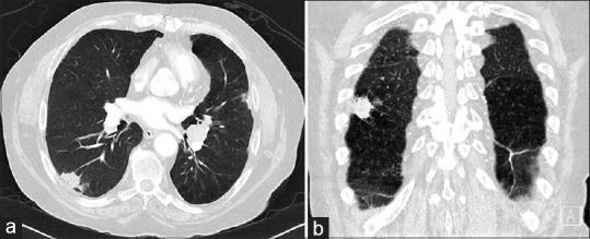
We present a case of lung cancer incidentally detected as a pulmonary nodule on computed tomography attenuation correction (CTAC) images during myocardial perfusion scintigraphy (MPS). Unfortunately, the incidental lesion was not fully investigated following MPS report and had developed into metastatic lung carcinoma when diagnosed over 1 year later, with failure of subsequent emergent chemotherapy. The disease appeared to be localized when initially detected during MPS. This case highlights the importance and potential clinical value of routine review of CTAC images in MPS with appropriate reporting and further investigation of suspicious incidental findings. In addition, the importance of effective communication between nuclear medicine department and treating team is clear to ensure suspicious incidental findings are given sufficient credence and thoroughly investigated promptly to avoid adverse clinical outcomes.

摘要

我们报告一例在心肌灌注闪烁扫描(MPS)期间通过计算机断层扫描衰减校正(CTAC)图像偶然发现为肺结节的肺癌病例。不幸的是,MPS报告后未对该偶然发现的病变进行充分检查,1年多后确诊时已发展为转移性肺癌,随后的紧急化疗失败。该疾病在MPS最初检测时似乎局限于局部。本病例强调了在MPS中对CTAC图像进行常规复查并进行适当报告以及对可疑偶然发现进行进一步调查的重要性和潜在临床价值。此外,核医学科与治疗团队之间有效沟通的重要性显而易见,以确保可疑偶然发现得到充分重视并及时进行彻底调查,避免不良临床后果。

https://cdn.ncbi.nlm.nih.gov/pmc/blobs/db44/6357710/6746e700626c/WJNM-18-74-g001.jpg

文献AI研究员

20分钟写一篇综述,助力文献阅读效率提升50倍。

立即体验

用中文搜PubMed

大模型驱动的PubMed中文搜索引擎

马上搜索

文档翻译

学术文献翻译模型,支持多种主流文档格式。

立即体验