Suppr超能文献

临床上伪装成急性阑尾炎的盲肠网膜附件炎:一例报告及文献简要综述

Caecal Epiploic Appendagitis Masquerading Clinically as an Acute Appendicitis: A Case Report and Brief Literature Review.

作者信息

Ejaz Tallat, Saad Eltaib, Nabil Andik, Slattery James

机构信息

Department of Surgery, Midland Regional Hospital Mullingar, Longford Road, Mullingar, Co-Westmeath, Ireland.

Department of Radiology, Midland Regional Hospital Mullingar, Longford Road, Mullingar, Co-Westmeath, Ireland.

出版信息

Case Rep Surg. 2019 Jan 15;2019:6508642. doi: 10.1155/2019/6508642. eCollection 2019.

Abstract

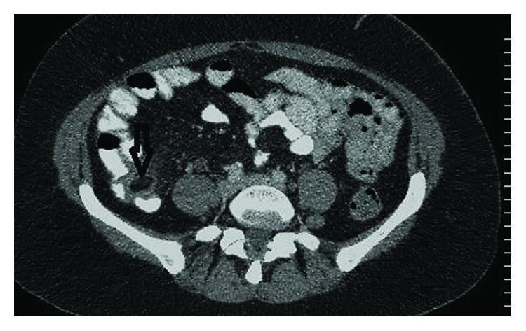
A 46-year-old female presented to our emergency department (ED) with a 2-day history of right lower abdominal pain which was associated with nausea and anorexia. Abdominal examination revealed tenderness in the right iliac fossa (RIF) with rebound tenderness and a localized guarding. Urine dipstick was normal, and the pregnancy test was negative. Her laboratory investigations were significant only for a CRP of 16.6. A presumptive clinical diagnosis of acute appendicitis was suggested based on the given history and relevant physical signs. However, an abdominal computed tomography (CT) scan revealed an epiploic appendagitis of the caecum with a normal-looking appendix. She was managed conservatively and responded well and was discharged after 2 days in good health. Though being a relatively rare case of acute localized right-sided lower abdominal pain, caecal epiploic appendagitis should be considered as one of the differential diagnoses with the final diagnosis reached usually by the radiological findings due to the nonspecific nature of clinical and laboratory features.

摘要

一名46岁女性因右下腹痛2天前来我院急诊科就诊,伴有恶心和厌食。腹部检查发现右髂窝压痛,有反跳痛和局限性肌紧张。尿试纸检查正常,妊娠试验阴性。她的实验室检查仅C反应蛋白为16.6有意义。根据所给病史和相关体征,初步临床诊断为急性阑尾炎。然而,腹部计算机断层扫描(CT)显示盲肠的网膜附件炎,阑尾外观正常。她接受了保守治疗,反应良好,2天后健康出院。尽管盲肠网膜附件炎是急性局限性右下腹痛的相对罕见病例,但由于临床和实验室特征的非特异性,应将其视为鉴别诊断之一,最终诊断通常通过影像学检查得出。

https://cdn.ncbi.nlm.nih.gov/pmc/blobs/3bc8/6350580/429b5d99316c/CRIS2019-6508642.001.jpg

文献检索

告别复杂PubMed语法,用中文像聊天一样搜索,搜遍4000万医学文献。AI智能推荐,让科研检索更轻松。

立即免费搜索

文件翻译

保留排版,准确专业,支持PDF/Word/PPT等文件格式,支持 12+语言互译。

免费翻译文档

深度研究

AI帮你快速写综述,25分钟生成高质量综述,智能提取关键信息,辅助科研写作。

立即免费体验