Suppr超能文献

中国出现两种具有低中和抗体敏感性的不同重组 PRRSV 毒株。

Emergence of Two different recombinant PRRSV strains with low neutralizing antibody susceptibility in China.

机构信息

Institute of Preventive Veterinary Medicine, College of Animal Sciences of Zhejiang University, Hangzhou, China.

Zhejiang Zhengli Antoo Biotech. Co.,Ltd, Ningbo, China.

出版信息

Sci Rep. 2019 Feb 21;9(1):2490. doi: 10.1038/s41598-019-39059-8.

Abstract

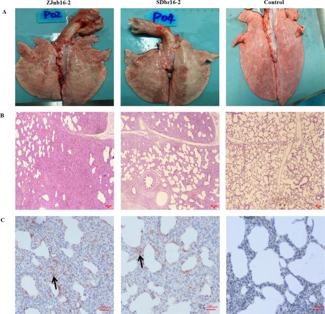
PRRSV causes major economic loss in global swine industry. 41 of 131 (31.29%) tissue samples collected from pig farms in central and east China from 2016 to 2017 were confirmed as PRRSV positive in RT-PCR. Base on phylogenetic analysis for ORF5 and ORF6, 3 isolates closely related to QYYZ strain form a new subgroup IV, while 3 other ones were clustered into subgroup III, represented by NADC30. Numerous amino acid substitutions involved in viral neutralization susceptibility were identified in GP5 among these isolates. Two emerging PRRSV strains (ZJnb16-2, SDbz16-2) were successfully isolated and sequenced. ZJnb16-2 was identified as a recombinant virus between strain QYYZ and JXA1 while SDbz16-2 was an inter-subgenotype recombinant virus of strains NADC30 and JXA1. As shown in the pathogenicity evaluation in piglets, ZJnb16-2 is highly pathogenic while SDbz16-2 is mild. Hyper-immune sera against major vaccine strains HUN4-F112 and JK-100 failed to neutralize either ZJnb16-2 or SDbz16-2. Only 0.8-2.0% of pig serum samples which were confirmed as PRRSV-positive with commercial ELISA kits presented neutralization reactivity against either ZJnb16-2 or SDbz16-2. The study confirmed that the viral genomic recombination contributes to the emergence of new pathogenic PRRSVs in China, which may escape from the protective immunity elicited by the conventional vaccines, highlighting the necessity in updates of vaccine strains and the need for a universal vaccine against PRRSV.

摘要

PRRSV 导致全球养猪业遭受重大经济损失。2016 年至 2017 年,从中国中部和东部的养猪场采集了 131 个组织样本,其中 41 个经 RT-PCR 确认为 PRRSV 阳性。基于 ORF5 和 ORF6 的系统进化分析,3 株分离株与 QYYZ 株亲缘关系密切,形成新的亚群 IV,而另外 3 株则聚类于以 NADC30 株为代表的亚群 III。这些分离株的 GP5 中存在大量与病毒中和敏感性相关的氨基酸替换。成功分离并测序了 2 株新兴的 PRRSV 株(ZJnb16-2、SDbz16-2)。ZJnb16-2 被鉴定为 QYYZ 株与 JXA1 株之间的重组病毒,而 SDbz16-2 是 NADC30 株与 JXA1 株之间的亚基因重组病毒。在仔猪致病性评估中,ZJnb16-2 为高致病性毒株,而 SDbz16-2 为低致病性毒株。针对主要疫苗株 HUN4-F112 和 JK-100 的高免血清均不能中和 ZJnb16-2 或 SDbz16-2。仅 0.8%-2.0%经商业 ELISA 试剂盒确认为 PRRSV 阳性的猪血清样品对 ZJnb16-2 或 SDbz16-2 具有中和反应性。该研究证实,病毒基因组重组导致了中国新的致病性 PRRSV 的出现,这可能逃避了常规疫苗诱导的保护性免疫,突出了更新疫苗株的必要性和对 PRRSV 的通用疫苗的需求。

https://cdn.ncbi.nlm.nih.gov/pmc/blobs/b135/6385303/a08434d6e7a7/41598_2019_39059_Fig1_HTML.jpg

文献AI研究员

20分钟写一篇综述,助力文献阅读效率提升50倍。

立即体验

用中文搜PubMed

大模型驱动的PubMed中文搜索引擎

马上搜索

文档翻译

学术文献翻译模型,支持多种主流文档格式。

立即体验