Suppr超能文献

胎儿心律失常:诊断与管理。

Fetal arrhythmias: Diagnosis and management.

作者信息

Batra Anjan S, Balaji Seshadri

机构信息

Department of Pediatrics, University of California, Irvine, CA, USA.

Department of Pediatrics, Oregon Health & Science University, Portland, OR, USA.

出版信息

Indian Pacing Electrophysiol J. 2019 May-Jun;19(3):104-109. doi: 10.1016/j.ipej.2019.02.007. Epub 2019 Feb 25.

Abstract

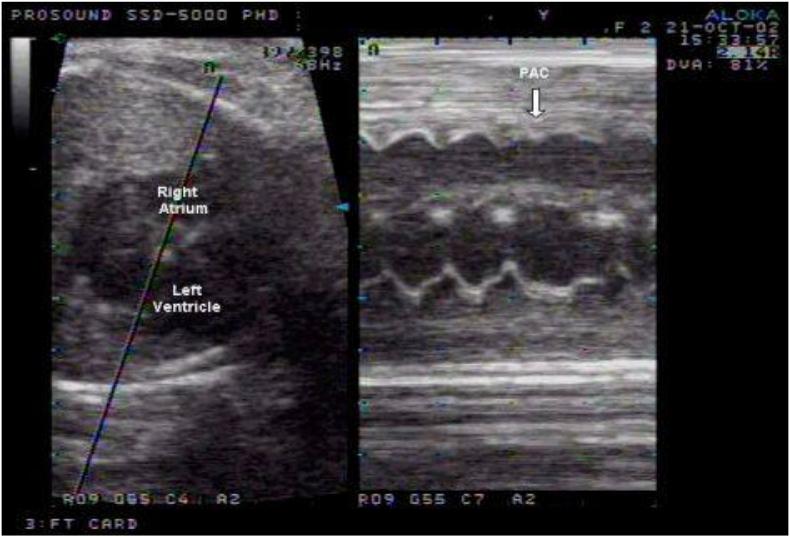
This article reviews important features for improving the diagnosis and management of fetal arrhythmias. The normal fetal heart rate ranges between 110 and 160 beats per minute. A fetal heart rate is considered abnormal if the heart rate is beyond the normal ranges or the rhythm is irregular. The rate, duration, and origin of the rhythm and degree of irregularity usually determine the potential for hemodynamic consequences. Most of the fetal rhythm disturbances are the result of premature atrial contractions (PACs) and are of little clinical significance. Other arrhythmias include tachyarrhythmias (heart rate in excess of 160 beats/min) such as atrioventricular (AV) reentry tachycardia, atrial flutter, and ventricular tachycardia, and bradyarrhythmias (heart rate <110 beats/min) such as sinus node dysfunction, complete heart block (CHB) and long QT syndrome (which is associated with sinus bradycardia and pseudo-heart block).

摘要

本文综述了改善胎儿心律失常诊断和管理的重要特征。正常胎儿心率范围在每分钟110至160次之间。如果心率超出正常范围或节律不规则,则认为胎儿心率异常。节律的速率、持续时间、起源以及不规则程度通常决定了血流动力学后果的可能性。大多数胎儿节律紊乱是房性早搏(PACs)的结果,临床意义不大。其他心律失常包括快速性心律失常(心率超过160次/分钟),如房室(AV)折返性心动过速、心房扑动和室性心动过速,以及缓慢性心律失常(心率<110次/分钟),如窦房结功能障碍、完全性心脏传导阻滞(CHB)和长QT综合征(与窦性心动过缓和假性心脏传导阻滞有关)。

https://cdn.ncbi.nlm.nih.gov/pmc/blobs/db35/6531664/67eb70500164/gr1.jpg

文献AI研究员

20分钟写一篇综述,助力文献阅读效率提升50倍。

立即体验

用中文搜PubMed

大模型驱动的PubMed中文搜索引擎

马上搜索

文档翻译

学术文献翻译模型,支持多种主流文档格式。

立即体验