• 文献检索
  • 文档翻译
  • 深度研究
  • 学术资讯
  • Suppr Zotero 插件Zotero 插件
  • 邀请有礼
  • 套餐&价格
  • 历史记录
应用&插件
Suppr Zotero 插件Zotero 插件浏览器插件Mac 客户端Windows 客户端微信小程序
定价
高级版会员购买积分包购买API积分包
服务
文献检索文档翻译深度研究API 文档MCP 服务
关于我们
关于 Suppr公司介绍联系我们用户协议隐私条款
关注我们

Suppr 超能文献

核心技术专利:CN118964589B侵权必究
粤ICP备2023148730 号-1Suppr @ 2026

文献检索

告别复杂PubMed语法,用中文像聊天一样搜索,搜遍4000万医学文献。AI智能推荐,让科研检索更轻松。

立即免费搜索

文件翻译

保留排版,准确专业,支持PDF/Word/PPT等文件格式,支持 12+语言互译。

免费翻译文档

深度研究

AI帮你快速写综述,25分钟生成高质量综述,智能提取关键信息,辅助科研写作。

立即免费体验

盐酸小檗碱对慢性脑灌注不足大鼠模型海马中半胱天冬酶-3依赖性凋亡及抗氧化能力的影响。

Effect of berberine chloride on caspase-3 dependent apoptosis and antioxidant capacity in the hippocampus of the chronic cerebral hypoperfusion rat model.

作者信息

Pirmoradi Zeynab, Yadegari Mayam, Moradi Ali, Khojasteh Fatemeh, Zare Mehrjerdi Fatemeh

机构信息

Neurobiomedical Research Center, School of Medicine, Shahid Sadoughi University of Medical Sciences, Yazd, Iran.

Deptartment of Anatomy and Cell Biology, School of Medicine, Shahid Sadoughi University of Medical Sciences, Yazd, Iran.

出版信息

Iran J Basic Med Sci. 2019 Feb;22(2):154-159. doi: 10.22038/ijbms.2018.31225.7534.

DOI:10.22038/ijbms.2018.31225.7534
PMID:30834080
原文链接:https://pmc.ncbi.nlm.nih.gov/articles/PMC6396990/
Abstract

OBJECTIVES

The main goal of the current research was to examine the effects of Berberine (BBR) on apoptotic signaling and hippocampal oxidative stress induced by common carotid artery occlusion.

MATERIALS AND METHODS

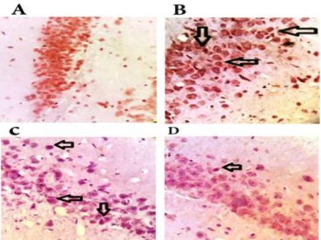
Chronic cerebral hypoperfusion (CCH) model was created by occluding the two common carotid arteries (two-vessel occlusion [2VO]) permanently. BBR (50 and 100 mg/kg/daily) was intra-gastrically administered to ischemic rats. Neuronal survival was evaluated by Nissl staining. The levels of malondialdehyde (MDA) and antioxidant enzymes, including catalase (CAT) and superoxide dismutase (SOD), along with the activities of caspase 3 were estimated in the hippocampus 2 month after treating the rats with 2VO.

RESULTS

According to findings of the present research, the BBR therapy inhibited the neuro-degeneration of hippocampus. BBR also significantly decreased the amount of MDA and activity of caspase 3 in the hippocampus. Furthermore, the administration of BBR alleviated the lowered activities of SOD and CAT after 2VO surgery.

CONCLUSION

The antioxidant and antiapoptotic properties of BBR might play important roles in improving functional outcomes and might have significant neuroprotective effects on the CCH damage.

摘要

目的

本研究的主要目的是检测小檗碱(BBR)对颈总动脉闭塞诱导的凋亡信号和海马氧化应激的影响。

材料与方法

通过永久性闭塞双侧颈总动脉(双血管闭塞[2VO])建立慢性脑灌注不足(CCH)模型。将BBR(50和100mg/kg/每日)经胃内给予缺血大鼠。通过尼氏染色评估神经元存活情况。在用2VO处理大鼠2个月后,估计海马中丙二醛(MDA)和抗氧化酶(包括过氧化氢酶[CAT]和超氧化物歧化酶[SOD])的水平以及半胱天冬酶3的活性。

结果

根据本研究结果,BBR治疗抑制了海马的神经变性。BBR还显著降低了海马中MDA的量和半胱天冬酶3的活性。此外,BBR给药减轻了2VO手术后SOD和CAT活性的降低。

结论

BBR的抗氧化和抗凋亡特性可能在改善功能结局中起重要作用,并且可能对CCH损伤具有显著的神经保护作用。

https://cdn.ncbi.nlm.nih.gov/pmc/blobs/3963/6396990/6d64e8464a11/IJBMS-22-154-g007.jpg
https://cdn.ncbi.nlm.nih.gov/pmc/blobs/3963/6396990/28b5cf489a74/IJBMS-22-154-g002.jpg
https://cdn.ncbi.nlm.nih.gov/pmc/blobs/3963/6396990/a9f83dde6855/IJBMS-22-154-g004.jpg
https://cdn.ncbi.nlm.nih.gov/pmc/blobs/3963/6396990/0f8b6be9daf2/IJBMS-22-154-g005.jpg
https://cdn.ncbi.nlm.nih.gov/pmc/blobs/3963/6396990/a096a675e196/IJBMS-22-154-g006.jpg
https://cdn.ncbi.nlm.nih.gov/pmc/blobs/3963/6396990/6d64e8464a11/IJBMS-22-154-g007.jpg
https://cdn.ncbi.nlm.nih.gov/pmc/blobs/3963/6396990/28b5cf489a74/IJBMS-22-154-g002.jpg
https://cdn.ncbi.nlm.nih.gov/pmc/blobs/3963/6396990/a9f83dde6855/IJBMS-22-154-g004.jpg
https://cdn.ncbi.nlm.nih.gov/pmc/blobs/3963/6396990/0f8b6be9daf2/IJBMS-22-154-g005.jpg
https://cdn.ncbi.nlm.nih.gov/pmc/blobs/3963/6396990/a096a675e196/IJBMS-22-154-g006.jpg
https://cdn.ncbi.nlm.nih.gov/pmc/blobs/3963/6396990/6d64e8464a11/IJBMS-22-154-g007.jpg

相似文献

1
Effect of berberine chloride on caspase-3 dependent apoptosis and antioxidant capacity in the hippocampus of the chronic cerebral hypoperfusion rat model.盐酸小檗碱对慢性脑灌注不足大鼠模型海马中半胱天冬酶-3依赖性凋亡及抗氧化能力的影响。
Iran J Basic Med Sci. 2019 Feb;22(2):154-159. doi: 10.22038/ijbms.2018.31225.7534.
2
Carvacrol suppresses learning and memory dysfunction and hippocampal damages caused by chronic cerebral hypoperfusion.香芹酚可抑制慢性脑低灌注引起的学习记忆功能障碍和海马损伤。
Naunyn Schmiedebergs Arch Pharmacol. 2020 Apr;393(4):581-589. doi: 10.1007/s00210-019-01754-8. Epub 2019 Nov 15.
3
The Cannabinoid Receptor Agonist WIN55,212-2 Ameliorates Hippocampal Neuronal Damage After Chronic Cerebral Hypoperfusion Possibly Through Inhibiting Oxidative Stress and ASK1-p38 Signaling.大麻素受体激动剂 WIN55,212-2 通过抑制氧化应激和 ASK1-p38 信号通路改善慢性脑低灌注后的海马神经元损伤。
Neurotox Res. 2020 Apr;37(4):847-856. doi: 10.1007/s12640-019-00141-8. Epub 2019 Dec 5.
4
Effect of berberine on the hippocampal structure, biochemical factors, memory, and blood-brain barrier in rat model of transient global cerebral ischemia.小檗碱对短暂性全脑缺血大鼠海马结构、生化因子、记忆及血脑屏障的影响。
Phytother Res. 2024 Aug;38(8):4230-4239. doi: 10.1002/ptr.8234. Epub 2024 Jul 1.
5
HMGB1 Neutralization Attenuates Hippocampal Neuronal Death and Cognitive Impairment in Rats with Chronic Cerebral Hypoperfusion via Suppressing Inflammatory Responses and Oxidative Stress.高迁移率族蛋白 B1 中和抑制通过抑制炎症反应和氧化应激减轻慢性脑低灌注大鼠海马神经元死亡和认知功能障碍。
Neuroscience. 2018 Jul 15;383:150-159. doi: 10.1016/j.neuroscience.2018.05.010. Epub 2018 May 17.
6
Neuroprotective effect of berberine chloride on cognitive impairment and hippocampal damage in experimental model of vascular dementia.盐酸小檗碱对血管性痴呆实验模型认知障碍和海马损伤的神经保护作用
Iran J Basic Med Sci. 2018 Jan;21(1):53-58. doi: 10.22038/IJBMS.2017.23195.5865.
7
Osthole improves chronic cerebral hypoperfusion induced cognitive deficits and neuronal damage in hippocampus.蛇床子素改善慢性脑低灌注诱导的海马认知功能障碍和神经元损伤。
Eur J Pharmacol. 2010 Jun 25;636(1-3):96-101. doi: 10.1016/j.ejphar.2010.03.038. Epub 2010 Apr 1.
8
[Protective effect and immune mechanism of berberine on cerebral ischemia/reperfusion injury in rats].黄连素对大鼠脑缺血/再灌注损伤的保护作用及免疫机制
Zhongguo Ying Yong Sheng Li Xue Za Zhi. 2020 Nov;36(6):656-661. doi: 10.12047/j.cjap.6001.2020.137.
9
Berberine mitigates oxidative damage associated with testicular impairment following mercury chloride intoxication.黄连素可减轻氯化汞中毒后与睾丸损伤相关的氧化损伤。
J Food Biochem. 2020 Sep;44(9):e13385. doi: 10.1111/jfbc.13385. Epub 2020 Jul 21.
10
Edaravone attenuates oxidative stress induced by chronic cerebral hypoperfusion injury: role of ERK/Nrf2/HO-1 signaling pathway.依达拉奉减轻慢性脑灌注不足损伤诱导的氧化应激:ERK/Nrf2/HO-1信号通路的作用
Neurol Res. 2018 Jan;40(1):1-10. doi: 10.1080/01616412.2017.1376457. Epub 2017 Nov 10.

引用本文的文献

1
Berberine Inhibits Abdominal Aortic Aneurysm Formation and Vascular Smooth Muscle Cell Phenotypic Switching by Regulating the Nrf2 Pathway.黄连素通过调节Nrf2信号通路抑制腹主动脉瘤形成和血管平滑肌细胞表型转换
J Cell Mol Med. 2025 Apr;29(7):e70509. doi: 10.1111/jcmm.70509.
2
Berberine Hydrochloride Improves Cognitive Function and Hippocampal Antioxidant Status in Subchronic and Chronic Lead Poisoning.盐酸小檗碱改善亚慢性和慢性铅中毒的认知功能和海马抗氧化状态。
Chin J Integr Med. 2025 Jan;31(1):49-54. doi: 10.1007/s11655-024-3907-1. Epub 2024 Sep 7.
3
Neuroprotective Properties of Berberine: Molecular Mechanisms and Clinical Implications.

本文引用的文献

1
Rosmarinic acid attenuates development and existing pain in a rat model of neuropathic pain: An evidence of anti-oxidative and anti-inflammatory effects.迷迭香酸减轻神经病理性疼痛大鼠模型的发展和现有疼痛:抗氧化和抗炎作用的证据。
Phytomedicine. 2018 Feb 1;40:59-67. doi: 10.1016/j.phymed.2018.01.001. Epub 2018 Jan 9.
2
13 reasons why the brain is susceptible to oxidative stress.大脑易受氧化应激影响的 13 个原因。
Redox Biol. 2018 May;15:490-503. doi: 10.1016/j.redox.2018.01.008. Epub 2018 Feb 3.
3
Neuroprotective effect of berberine chloride on cognitive impairment and hippocampal damage in experimental model of vascular dementia.
黄连素的神经保护特性:分子机制与临床意义
Antioxidants (Basel). 2023 Oct 19;12(10):1883. doi: 10.3390/antiox12101883.
4
Dataset on biochemical markers and histological alterations in rat kidney intoxicated with cadmium chloride and treated with antioxidant.氯化镉中毒并用抗氧化剂治疗的大鼠肾脏中生化标志物和组织学改变的数据集
Data Brief. 2022 Jun 17;43:108394. doi: 10.1016/j.dib.2022.108394. eCollection 2022 Aug.
5
Edible Bird's Nest as a Potential Cognitive Enhancer.食用燕窝作为一种潜在的认知增强剂。
Front Neurol. 2022 May 6;13:865671. doi: 10.3389/fneur.2022.865671. eCollection 2022.
6
Melatonin attenuates cerebral hypoperfusion-induced hippocampal damage and memory deficits in rats by suppressing TRPM7 channels.褪黑素通过抑制瞬时受体电位 melastatin 7(TRPM7)通道减轻大鼠脑灌注不足诱导的海马损伤和记忆缺陷。
Saudi J Biol Sci. 2022 Apr;29(4):2958-2968. doi: 10.1016/j.sjbs.2022.01.018. Epub 2022 Jan 18.
7
Berberine regulates the Notch1/PTEN/PI3K/AKT/mTOR pathway and acts synergistically with 17-AAG and SAHA in SW480 colon cancer cells.小檗碱调控 Notch1/PTEN/PI3K/AKT/mTOR 通路,并与 17-AAG 和 SAHA 在 SW480 结肠癌细胞中协同作用。
Pharm Biol. 2021 Dec;59(1):21-30. doi: 10.1080/13880209.2020.1865407.
8
Carvacrol reduces hippocampal cell death and improves learning and memory deficits following lead-induced neurotoxicity via antioxidant activity.香芹酚通过抗氧化活性减少铅诱导的神经毒性后的海马细胞死亡,并改善学习和记忆缺陷。
Naunyn Schmiedebergs Arch Pharmacol. 2020 Jul;393(7):1229-1237. doi: 10.1007/s00210-020-01866-6. Epub 2020 Apr 17.
盐酸小檗碱对血管性痴呆实验模型认知障碍和海马损伤的神经保护作用
Iran J Basic Med Sci. 2018 Jan;21(1):53-58. doi: 10.22038/IJBMS.2017.23195.5865.
4
Oxidative stress affects processing of amyloid precursor protein in vascular endothelial cells.氧化应激影响血管内皮细胞中淀粉样前体蛋白的加工过程。
PLoS One. 2017 Jun 15;12(6):e0178127. doi: 10.1371/journal.pone.0178127. eCollection 2017.
5
Pretreatment of rats with increased bioavailable berberine attenuates cerebral ischemia-reperfusion injury via down regulation of adenosine-5'monophosphate kinase activity.增加生物利用度的小檗碱预处理大鼠可通过下调腺苷-5'-单磷酸激酶活性减轻脑缺血再灌注损伤。
Eur J Pharmacol. 2016 May 15;779:80-90. doi: 10.1016/j.ejphar.2016.03.015. Epub 2016 Mar 5.
6
The Protective Effect of Remote Renal Preconditioning Against Hippocampal Ischemia Reperfusion Injury: Role of KATP Channels.远程肾预处理对海马缺血再灌注损伤的保护作用:ATP敏感性钾通道的作用
J Mol Neurosci. 2015 Dec;57(4):554-60. doi: 10.1007/s12031-015-0636-0. Epub 2015 Aug 9.
7
Increased Oxidative Stress in Cultured 3T3-L1 Cells was Attenuated by Berberine Treatment.黄连素处理减轻了培养的3T3-L1细胞中氧化应激的增加。
Nat Prod Commun. 2015 Jun;10(6):895-7.
8
Berberine exerts an anticonvulsant effect and ameliorates memory impairment and oxidative stress in a pilocarpine-induced epilepsy model in the rat.小檗碱在大鼠毛果芸香碱诱导的癫痫模型中发挥抗惊厥作用,并改善记忆障碍和氧化应激。
Neuropsychiatr Dis Treat. 2014 Nov 13;10:2139-45. doi: 10.2147/NDT.S73210. eCollection 2014.
9
Morphology of Rat Hippocampal CA1 Neurons Following Modified Two and Four-Vessels Global Ischemia Models.改良二血管和四血管全脑缺血模型后大鼠海马CA1区神经元的形态学
Arch Trauma Res. 2013 Dec;2(3):124-8. doi: 10.5812/atr.10240. Epub 2013 Dec 1.
10
Hydrogen sulfide protects the brain against ischemic reperfusion injury in a transient model of focal cerebral ischemia.在局灶性脑缺血的短暂模型中,硫化氢可保护大脑免受缺血再灌注损伤。
J Mol Neurosci. 2014;54(2):264-70. doi: 10.1007/s12031-014-0284-9. Epub 2014 Mar 19.