Suppr超能文献

抗 N-甲基-D-天冬氨酸受体脑炎相关卵巢畸胎瘤的免疫病理学特征。

Immunopathological characterization of ovarian teratomas associated with anti-N-methyl-D-aspartate receptor encephalitis.

机构信息

Institut NeuroMyogène, Equipe Synaptopathies et Autoanticorps (SynatAc), INSERM U1217/UMR CRS 5310, Lyon, France.

University of Lyon, Université Claude Bernard Lyon 1, Lyon, France.

出版信息

Acta Neuropathol Commun. 2019 Mar 11;7(1):38. doi: 10.1186/s40478-019-0693-7.

Abstract

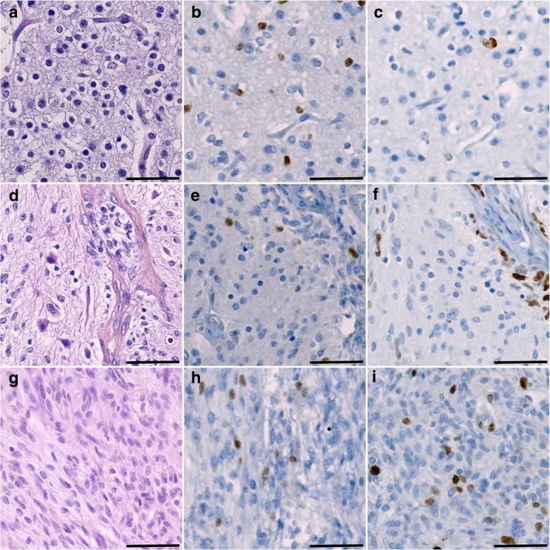
Encephalitis with anti-NMDAR antibodies (NMDAR-E) is a severe autoimmune neurological disorder, defined by a clinical presentation of encephalitis and the presence of IgG targeting the GluN1 subunit of NMDA receptors in the CSF. An underlying ovarian teratoma is commonly associated with this autoimmune disease suggesting a role of the tumor in immunopathogenesis. In this study, we characterized the salient histopathological features of 27 ovarian teratomas associated with NMDAR-E (3 immature and 24 mature teratomas) and 40 controls without associated encephalitis. All but one NMDAR-E-associated teratomas contained a nervous tissue component, while less than 40% of control teratomas did (p < 0.001). GluN1 expression by teratomatous nervous tissue seemed to be more often glial in NMDAR-E teratomas than in control teratomas (73% vs. 29%, p < 0.05). Strikingly, 3 out of 24 NMDAR-E-associated mature teratomas contained neuroglial tissue exhibiting histopathological features of central nervous system neuroglial tumor, while such glioma-like features are exceptionally described in the literature on ovarian teratomas. Moreover, NMDAR-E associated teratomas differed from sporadic ovarian teratomas by consistent and prominent infiltration of the nervous tissue component by immune cells, comprised of T- and B-cells and mature dendritic cells organized in tertiary lymphoid structures, with IgG and IgA deposits and plasma cells in close contact to the neuroglial tissue.These data demonstrate an association between massive infiltration of NMDAR-E-associated teratomas by immune cells and particular glial features of its neuroglial component, suggesting that this glial tissue might be involved in triggering or sustaining the anti-tumor response associated with the auto-immune neurological disease.

摘要

抗 N- 甲基-D- 天冬氨酸受体脑炎(NMDAR-E)是一种严重的自身免疫性神经疾病,其特征为脑炎的临床表现和脑脊液中针对 NMDA 受体 GluN1 亚单位的 IgG 存在。这种自身免疫性疾病常与卵巢畸胎瘤有关,提示肿瘤在免疫发病机制中起作用。在这项研究中,我们对 27 例与 NMDAR-E 相关的卵巢畸胎瘤(3 例未成熟和 24 例成熟畸胎瘤)和 40 例无脑炎相关的对照的显著组织病理学特征进行了描述。除了一个以外,所有与 NMDAR-E 相关的畸胎瘤都含有神经组织成分,而对照组中不到 40%的畸胎瘤含有(p<0.001)。NMDAR-E 相关畸胎瘤中 GluN1 的表达似乎比对照组更常为神经胶质(73%比 29%,p<0.05)。值得注意的是,24 例 NMDAR-E 相关成熟畸胎瘤中有 3 例含有神经胶质组织,具有中枢神经系统神经胶质肿瘤的组织病理学特征,而这种神经胶质瘤样特征在卵巢畸胎瘤的文献中很少被描述。此外,与散发性卵巢畸胎瘤相比,NMDAR-E 相关畸胎瘤的特点是其神经组织成分持续和明显地被免疫细胞浸润,这些免疫细胞由 T 细胞和 B 细胞以及成熟树突状细胞组成,形成三级淋巴结构,伴有 IgG 和 IgA 沉积和浆细胞与神经胶质组织密切接触。这些数据表明,NMDAR-E 相关畸胎瘤的大量免疫细胞浸润与其神经胶质成分的特殊胶质特征之间存在关联,提示这种神经胶质组织可能参与触发或维持与自身免疫性神经疾病相关的抗肿瘤反应。

https://cdn.ncbi.nlm.nih.gov/pmc/blobs/631e/6410529/aa747607c5a9/40478_2019_693_Fig1_HTML.jpg

文献AI研究员

20分钟写一篇综述,助力文献阅读效率提升50倍。

立即体验

用中文搜PubMed

大模型驱动的PubMed中文搜索引擎

马上搜索

文档翻译

学术文献翻译模型,支持多种主流文档格式。

立即体验