Suppr超能文献

癫痫的形态学与高级影像学:基础之外

Morphological and Advanced Imaging of Epilepsy: Beyond the Basics.

作者信息

Fitsiori Aikaterini, Hiremath Shivaprakash Basavanthaiah, Boto José, Garibotto Valentina, Vargas Maria Isabel

机构信息

Unit of Neurodiagnostic, Division of Neuroradiology, Geneva University Hospital, rue Gabrielle-Perret-Gentil 4, 1205 Geneva, Switzerland.

Division of Nuclear Medicine and Molecular Imaging, Geneva University Hospital and Faculty of Medicine, Geneva University, 1205 Geneva, Switzerland.

出版信息

Children (Basel). 2019 Mar 11;6(3):43. doi: 10.3390/children6030043.

Abstract

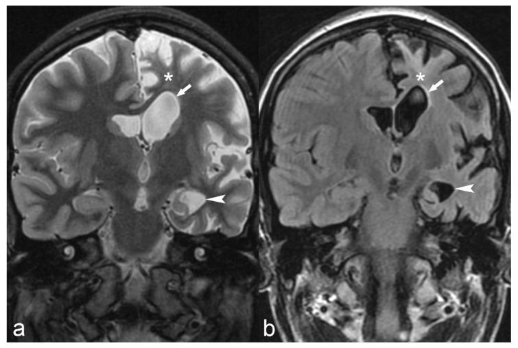
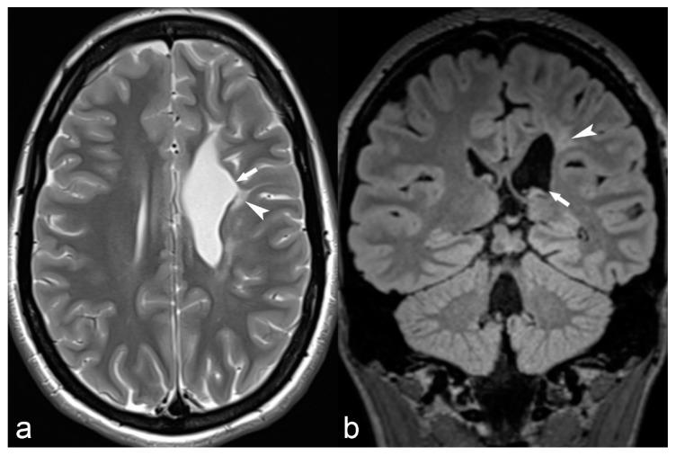
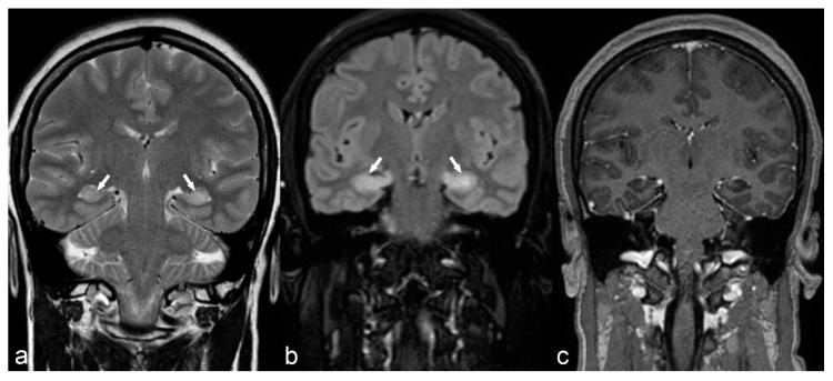
The etiology of epilepsy is variable and sometimes multifactorial. Clinical course and response to treatment largely depend on the precise etiology of the seizures. Along with the electroencephalogram (EEG), neuroimaging techniques, in particular, magnetic resonance imaging (MRI), are the most important tools for determining the possible etiology of epilepsy. Over the last few years, there have been many developments in data acquisition and analysis for both morphological and functional neuroimaging of people suffering from this condition. These innovations have increased the detection of underlying structural pathologies, which have till recently been classified as "cryptogenic" epilepsy. Cryptogenic epilepsy is often refractory to anti-epileptic drug treatment. In drug-resistant patients with structural or consistent functional lesions related to the epilepsy syndrome, surgery is the only treatment that can offer a seizure-free outcome. The pre-operative detection of the underlying structural condition increases the odds of successful surgical treatment of pharmacoresistant epilepsy. This article provides a comprehensive overview of neuroimaging techniques in epilepsy, highlighting recent advances and innovations and summarizes frequent etiologies of epilepsy in order to improve the diagnosis and management of patients suffering from seizures, especially young patients and children.

摘要

癫痫的病因多种多样,有时是多因素的。临床病程和对治疗的反应很大程度上取决于癫痫发作的确切病因。与脑电图(EEG)一样,神经影像学技术,尤其是磁共振成像(MRI),是确定癫痫可能病因的最重要工具。在过去几年中,针对患有这种疾病的人的形态学和功能神经影像学的数据采集和分析有了许多进展。这些创新提高了对潜在结构病变的检测,这些病变直到最近还被归类为“隐源性”癫痫。隐源性癫痫通常对抗癫痫药物治疗无效。对于患有与癫痫综合征相关的结构性或一致性功能性病变的耐药患者,手术是唯一能够实现无癫痫发作结果的治疗方法。术前检测潜在的结构状况增加了药物难治性癫痫手术治疗成功的几率。本文全面概述了癫痫的神经影像学技术,突出了最近的进展和创新,并总结了癫痫的常见病因,以改善癫痫患者,尤其是年轻患者和儿童的诊断和管理。

https://cdn.ncbi.nlm.nih.gov/pmc/blobs/059f/6462967/3e0db8a77373/children-06-00043-g001.jpg

文献AI研究员

20分钟写一篇综述,助力文献阅读效率提升50倍。

立即体验

用中文搜PubMed

大模型驱动的PubMed中文搜索引擎

马上搜索

文档翻译

学术文献翻译模型,支持多种主流文档格式。

立即体验