• 文献检索
  • 文档翻译
  • 深度研究
  • 学术资讯
  • Suppr Zotero 插件Zotero 插件
  • 邀请有礼
  • 套餐&价格
  • 历史记录
应用&插件
Suppr Zotero 插件Zotero 插件浏览器插件Mac 客户端Windows 客户端微信小程序
定价
高级版会员购买积分包购买API积分包
服务
文献检索文档翻译深度研究API 文档MCP 服务
关于我们
关于 Suppr公司介绍联系我们用户协议隐私条款
关注我们

Suppr 超能文献

核心技术专利:CN118964589B侵权必究
粤ICP备2023148730 号-1Suppr @ 2026

文献检索

告别复杂PubMed语法,用中文像聊天一样搜索,搜遍4000万医学文献。AI智能推荐,让科研检索更轻松。

立即免费搜索

文件翻译

保留排版,准确专业,支持PDF/Word/PPT等文件格式,支持 12+语言互译。

免费翻译文档

深度研究

AI帮你快速写综述,25分钟生成高质量综述,智能提取关键信息,辅助科研写作。

立即免费体验

在治疗肠梗阻过程中偶然诊断出乳腺癌。

Incidental diagnosis of breast cancer in the pursuit of the treatment of intestinal obstruction.

作者信息

Armas Isabel, Brandão Mariana, Guerreiro Inês, Guerreiro Inês, Lobo João, Freitas Carla, Pinto-de-Sousa João, de Sousa Joaquim Abreu

机构信息

Unidade Local de Saúde do Nordeste, General Surgery. Bragança, Portugal.

Instituto Português de Oncologia do Porto, Medical Oncology. Porto, Portugal.

出版信息

Autops Case Rep. 2019 Feb 25;9(1):e2018071. doi: 10.4322/acr.2018.071. eCollection 2019 Jan-Mar.

DOI:10.4322/acr.2018.071
PMID:30863737
原文链接:https://pmc.ncbi.nlm.nih.gov/articles/PMC6394361/
Abstract

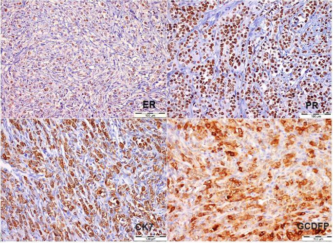
Intestinal lipomatosis is rare and often asymptomatic but can present with intestinal obstruction. Occasionally, metastatic breast cancer is identified in the ovary before a breast primary is discovered. We report the case of a 50-year-old woman diagnosed with synchronous intestinal obstruction due to lipomatosis, and incidental ovarian metastases from breast cancer. The patient presented with a 12-day history of nausea, diffuse abdominal pain, and constipation. An abdominal x-ray showed air-fluid levels, and computed tomography documented small bowel distention. An explorative laparotomy was performed, which revealed small bowel distention, an obstructive lesion of the ileocecal valve, three terminal ileum lesions, ascites, and heterogeneous ovaries. Right ileocolic resection and left oophorectomy were performed. The pathological diagnosis revealed lipomatous submucosal lesion of the ileocecal valve and ileum, and 17 lymph nodes, which were all negative for malignant cells. The oophorectomy revealed ovarian metastasis from breast carcinoma. Ascitic fluid was positive for malignant cells. Mammography and breast/axillary ultrasonography showed a solid nodule of the left breast, ductal carcinoma, and multiple enlarged left axillary lymph nodes, which were positive for neoplastic cells. Immunohistochemical evaluation showed hormonal receptor positivity and C-erb2 negativity. Breast magnetic resonance imaging showed a 14 mm left nodule and a positron emission tomography scan revealed F-FDG uptake in the left breast, left axillary lymph nodes, right ovary, and peritoneum. The tumor was staged as stage IV ductal breast carcinoma, cT1N1M1, Grade 2, Luminal B-like. The multidisciplinary oncological meeting proposed chemotherapy, and a re-staging breast MRI after chemotherapy, which showed a complete response. The patient started treatment with letrozole and remains disease-free 22 months after finishing chemotherapy.

摘要

肠脂肪过多症罕见且通常无症状,但可表现为肠梗阻。偶尔,在发现原发性乳腺癌之前,会在卵巢中发现转移性乳腺癌。我们报告一例50岁女性病例,该患者被诊断为因脂肪过多症导致的同步性肠梗阻,以及偶然发现的乳腺癌卵巢转移。患者有12天的恶心、弥漫性腹痛和便秘病史。腹部X光显示气液平面,计算机断层扫描记录了小肠扩张。进行了剖腹探查术,发现小肠扩张、回盲瓣梗阻性病变、三处回肠末端病变、腹水和双侧卵巢不均质。实施了右半结肠切除术和左侧卵巢切除术。病理诊断显示回盲瓣和回肠的脂肪性黏膜下病变,以及17个淋巴结,所有淋巴结均未发现恶性细胞。卵巢切除术显示为乳腺癌卵巢转移。腹水检查发现恶性细胞阳性。乳房X光摄影和乳腺/腋窝超声检查显示左乳实性结节、导管癌以及多个左侧腋窝淋巴结肿大,淋巴结肿瘤细胞阳性。免疫组化评估显示激素受体阳性,C-erb2阴性。乳腺磁共振成像显示左乳有一个14毫米的结节,正电子发射断层扫描显示左乳、左腋窝淋巴结、右卵巢和腹膜有F-FDG摄取。肿瘤分期为IV期导管性乳腺癌,cT1N1M1,2级,Luminal B样。多学科肿瘤学会议建议进行化疗,并在化疗后重新进行乳腺MRI分期,结果显示完全缓解。患者开始使用来曲唑治疗,化疗结束22个月后仍无疾病进展。

https://cdn.ncbi.nlm.nih.gov/pmc/blobs/0a89/6394361/7e533fe10503/autopsy-09-01e2018071-g04.jpg
https://cdn.ncbi.nlm.nih.gov/pmc/blobs/0a89/6394361/17667febff7a/autopsy-09-01e2018071-g01.jpg
https://cdn.ncbi.nlm.nih.gov/pmc/blobs/0a89/6394361/04b6a5632ba6/autopsy-09-01e2018071-g02.jpg
https://cdn.ncbi.nlm.nih.gov/pmc/blobs/0a89/6394361/6a30b369806d/autopsy-09-01e2018071-g03.jpg
https://cdn.ncbi.nlm.nih.gov/pmc/blobs/0a89/6394361/7e533fe10503/autopsy-09-01e2018071-g04.jpg
https://cdn.ncbi.nlm.nih.gov/pmc/blobs/0a89/6394361/17667febff7a/autopsy-09-01e2018071-g01.jpg
https://cdn.ncbi.nlm.nih.gov/pmc/blobs/0a89/6394361/04b6a5632ba6/autopsy-09-01e2018071-g02.jpg
https://cdn.ncbi.nlm.nih.gov/pmc/blobs/0a89/6394361/6a30b369806d/autopsy-09-01e2018071-g03.jpg
https://cdn.ncbi.nlm.nih.gov/pmc/blobs/0a89/6394361/7e533fe10503/autopsy-09-01e2018071-g04.jpg

相似文献

1
Incidental diagnosis of breast cancer in the pursuit of the treatment of intestinal obstruction.在治疗肠梗阻过程中偶然诊断出乳腺癌。
Autops Case Rep. 2019 Feb 25;9(1):e2018071. doi: 10.4322/acr.2018.071. eCollection 2019 Jan-Mar.
2
Current and Emerging Therapies for HER2-Positive Women With Metastatic Breast Cancer.HER2阳性转移性乳腺癌女性的当前及新出现的治疗方法
J Adv Pract Oncol. 2017 Mar;8(2):164-168. Epub 2017 Mar 1.
3
Small bowel obstruction as first presentation of metastatic lobular breast cancer for pilgrim patient.小肠梗阻作为朝圣者患者转移性小叶乳腺癌的首发表现。
Int J Surg Case Rep. 2024 Jul;120:109855. doi: 10.1016/j.ijscr.2024.109855. Epub 2024 Jun 6.
4
More advantages in detecting bone and soft tissue metastases from prostate cancer using F-PSMA PET/CT.使用F-PSMA PET/CT检测前列腺癌骨和软组织转移方面有更多优势。
Hell J Nucl Med. 2019 Jan-Apr;22(1):6-9. doi: 10.1967/s002449910952. Epub 2019 Mar 7.
5
Serous carcinoma of the ovary and peritoneum with metastases to the breast and axillary lymph nodes: a potential pitfall.卵巢和腹膜浆液性癌伴乳腺及腋窝淋巴结转移:一个潜在的陷阱。
Am J Surg Pathol. 2004 Dec;28(12):1646-51. doi: 10.1097/00000478-200412000-00015.
6
Folliculotropic Cutaneous Metastases and Lymphangitis Carcinomatosa: When Cutaneous Metastases of Breast Carcinoma Are Mistaken for Cutaneous Infections.毛囊性皮肤转移瘤和癌性淋巴管炎:乳腺癌皮肤转移被误诊为皮肤感染时的情况。
Acta Dermatovenerol Croat. 2016 Jun;24(2):154-7.
7
Ovarian cancer initially presenting as intramammary metastases and mimicking a primary breast carcinoma: a case report and literature review.卵巢癌最初表现为乳腺内转移,类似于原发性乳腺癌:病例报告及文献复习。
J Womens Health (Larchmt). 2010 Jan;19(1):169-74. doi: 10.1089/jwh.2009.1465.
8
Metastasis to breast from ovarian cancer and primary ovarian cancer concurrently diagnosis.卵巢癌转移至乳腺与原发性卵巢癌同时诊断。
Gland Surg. 2021 May;10(5):1806-1811. doi: 10.21037/gs-20-640.
9
Efficacy of Metabolically Supported Chemotherapy Combined with Ketogenic Diet, Hyperthermia, and Hyperbaric Oxygen Therapy for Stage IV Triple-Negative Breast Cancer.代谢支持化疗联合生酮饮食、热疗和高压氧治疗对IV期三阴性乳腺癌的疗效
Cureus. 2017 Jul 7;9(7):e1445. doi: 10.7759/cureus.1445.
10
Unknown primary carcinoma, diagnosed as inflammatory breast cancer,and successfully treated with trastuzumab and vinorelbine.原发灶不明的癌,诊断为炎性乳腺癌,采用曲妥珠单抗和长春瑞滨成功治疗。
Int J Clin Oncol. 2005 Aug;10(4):285-8. doi: 10.1007/s10147-005-0485-x.

本文引用的文献

1
4th ESO-ESMO International Consensus Guidelines for Advanced Breast Cancer (ABC 4)†.《第四届欧洲中学教育阶段(ESO)-欧洲肿瘤内科学会(ESMO)晚期乳腺癌国际共识指南(ABC 4)》† 。
Ann Oncol. 2018 Aug 1;29(8):1634-1657. doi: 10.1093/annonc/mdy192.
2
The challenge of diagnosing a malignancy metastatic to the ovary: clinicopathological characteristics vary and morphology can be different from that of the corresponding primary tumor.诊断转移至卵巢的恶性肿瘤面临的挑战:临床病理特征各异,形态可能与相应原发肿瘤不同。
Virchows Arch. 2017 Jan;470(1):69-80. doi: 10.1007/s00428-016-2029-3. Epub 2016 Oct 18.
3
Metastatic Neoplasms Involving the Ovary.
累及卵巢的转移性肿瘤。
Surg Pathol Clin. 2011 Mar;4(1):297-330. doi: 10.1016/j.path.2010.12.010. Epub 2011 Feb 22.
4
Lipomatosis of terminal ileum and ileocecal valve: multidetector computed tomography findings.回肠末端及回盲瓣脂肪瘤病:多层螺旋计算机断层扫描表现
Iran J Radiol. 2014 Aug;11(3):e4336. doi: 10.5812/iranjradiol.4336. Epub 2014 Aug 1.
5
Diffuse intestinal submucosal lipomatosis with incidental epidermal inclusion cyst of caecum clinically masquerading as carcinoma caecum.弥漫性肠道黏膜下脂肪瘤病伴盲肠偶然发现的表皮样囊肿,临床上伪装成盲肠癌。
Rare Tumors. 2014 Aug 26;6(3):5380. doi: 10.4081/rt.2014.5380. eCollection 2014 Jul 30.
6
Diagnostic spectrum of ovarian masses in women with breast cancer; magnetic resonance imaging: histopathology correlation.乳腺癌患者卵巢肿块的诊断范围;磁共振成像:组织病理学相关性。
Ann Diagn Pathol. 2013 Oct;17(5):441-7. doi: 10.1016/j.anndiagpath.2013.06.003. Epub 2013 Jul 26.
7
Giant submucosal lipoma cause colo-colonic intussusception. A case report and review of literature.巨大黏膜下脂肪瘤导致结肠-结肠套叠。一例病例报告及文献复习。
Ann Ital Chir. 2012 Nov-Dec;83(6):559-62.
8
Gastric lipomatosis.胃脂肪瘤病。
J Gastric Cancer. 2010 Dec;10(4):254-8. doi: 10.5230/jgc.2010.10.4.254. Epub 2010 Dec 31.
9
Small intestinal lipomas: diagnostic value of multi-slice CT enterography.小肠脂肪瘤:多层 CT 小肠成像的诊断价值。
World J Gastroenterol. 2010 Jun 7;16(21):2677-81. doi: 10.3748/wjg.v16.i21.2677.
10
Multiple intestinal lipomatosis. Case report.多发性肠道脂肪瘤病。病例报告。
Cir Cir. 2010 Mar-Apr;78(2):163-5.