Department of Surgery, Jeju National University School of Medicine, Jeju, Korea.
J Gastric Cancer. 2010 Dec;10(4):254-8. doi: 10.5230/jgc.2010.10.4.254. Epub 2010 Dec 31.
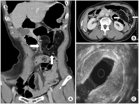
Gastric lipomatosis is an extremely rare condition. We present a case of a 69-year-old woman admitted with epigastric soreness. Computerized tomography (CT) revealed extrinsically compressing, fat-containing mass lesions on the entire gastric wall of the antrum and body except for the lesser curvature. A subtotal gastrectomy was performed. Pathology findings confirmed a gastric lipomatosis with multiple gastric ulcerations and extensive disruptions of the muscular layers. This case and reports of other gastric lipomatosis cases indicate that CT should be used to characterize large submucosal masses because CT can show the specific nature and extent of the disease. We believe that surgical treatment is the most appropriate treatment for symptomatic gastric lipomatosis that shows extensive gastric involvement, or when there are multiple gastric lipomas.
胃脂肪瘤病是一种极为罕见的疾病。我们报告一例 69 岁女性,因上腹痛入院。计算机断层扫描(CT)显示整个胃窦和胃体的胃壁除小弯外均有外压性含脂肿块病变。行胃次全切除术。病理检查结果证实为胃脂肪瘤病,伴有多发胃溃疡和广泛的肌层破坏。本例和其他胃脂肪瘤病的报告表明,CT 应用于胃黏膜下大肿块的特征描述,因为 CT 可以显示疾病的具体性质和范围。我们认为对于广泛胃受累或存在多个胃脂肪瘤的有症状胃脂肪瘤病,手术治疗是最合适的治疗方法。