Suppr超能文献

肝左叶可切除的单发上皮样血管内皮瘤:一例报告

Resectable Single Hepatic Epithelioid Hemangioendothelioma in the Left Lobe of the Liver: A Case Report.

作者信息

Wang Jun-Ke, Wu Zhen-Ru, Su Fei, Ma Wen-Jie, Hu Hai-Jie, Li Fu-Yu

机构信息

Department of Biliary Surgery, West China Hospital, Sichuan University, Chengdu 610041, Chengdu China.

Laboratory of Pathology, West China Hospital, Sichuan University, Chengdu 610041, Chengdu China.

出版信息

Open Med (Wars). 2018 Dec 31;13:456-459. doi: 10.1515/med-2018-0069. eCollection 2018.

Abstract

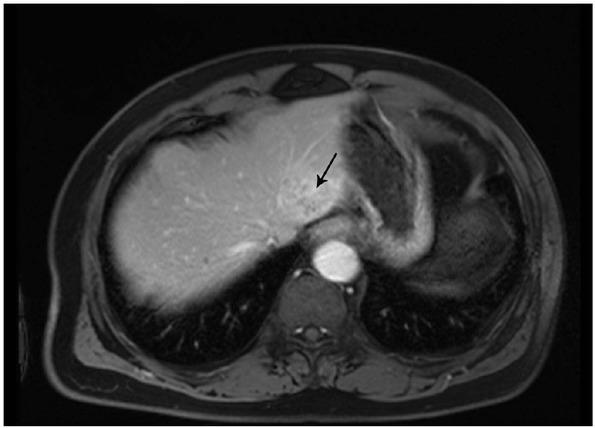
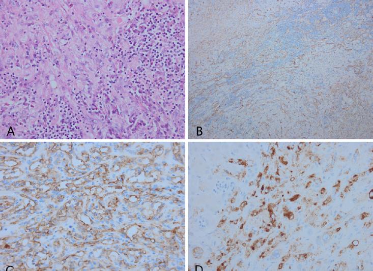
Hepatic epithelioid hemangioendothelioma (HEHE) is an extremely rare malignancy of vascular origin. When most patients with HEHE are diagnosed, they have a diffuse nodular phenotype, which is usually unresectable. A single nodular phenotype is found in only a small proportion (13%) of patients, and most are reported to be located in the right lobe of the liver. Although the prognosis of HEHE is considered more favorable than that of other hepatic malignant tumors, the 5-year survival rate is reported to be 64% after treatment. Herein, we present an unusual case of resectable HEHE of a single nodular type in the left lobe of the liver. The patient survived 15 years without recurrence after the multimodal treatment of radical resection and postoperative chemotherapy with thalidomide. The aim of the present study is to emphasize that multimodal treatment of radical resection followed by chemotherapy with thalidomide may achieve a relatively good survival outcome in patients with resectable HEHE of a single nodular type.

摘要

肝上皮样血管内皮瘤(HEHE)是一种极为罕见的血管源性恶性肿瘤。大多数HEHE患者确诊时具有弥漫性结节表型,通常无法切除。仅一小部分(13%)患者表现为单个结节表型,且多数报道位于肝右叶。尽管HEHE的预后被认为比其他肝脏恶性肿瘤更乐观,但据报道治疗后的5年生存率为64%。在此,我们报告一例罕见的可切除的肝左叶单结节型HEHE病例。该患者在接受根治性切除及沙利度胺术后化疗的多模式治疗后存活15年无复发。本研究的目的是强调对于可切除的单结节型HEHE患者,根治性切除后联合沙利度胺化疗的多模式治疗可能取得相对良好的生存结果。

https://cdn.ncbi.nlm.nih.gov/pmc/blobs/68a2/6419389/af815e4cc5c0/med-13-456-g001.jpg

文献AI研究员

20分钟写一篇综述,助力文献阅读效率提升50倍。

立即体验

用中文搜PubMed

大模型驱动的PubMed中文搜索引擎

马上搜索

文档翻译

学术文献翻译模型,支持多种主流文档格式。

立即体验