Suppr超能文献

自发性脊髓硬膜下血肿所致进行性马尾神经受压的外科治疗:一例报告

Surgical treatment of progressive cauda equina compression caused by spontaneous spinal subdural hematoma: A case report.

作者信息

Li Xigong, Yang Ge, Wen Zhiqiang, Lou Xianfeng, Lin Xiangjin

机构信息

Department of Orthopedic Surgery, The First Affiliated Hospital, School of Medicine, Zhejiang University, Hangzhou.

Department of Orthopedics, Hunan Children's Hospital, The Pediatric Academy of University of South China, Hunan, China.

出版信息

Medicine (Baltimore). 2019 Mar;98(12):e14598. doi: 10.1097/MD.0000000000014598.

Abstract

RATIONALE

Spontaneous spinal subdural hematoma (SSDH) without an underlying pathology is a very rare condition. The treatment protocol for SSDH is early diagnosis and treatment before irreversible damage to neural tissue. However, there is no agreement on the etiopathogenesis, as well as the need for surgery to treat spontaneous SSDH. Here, we report a rare case of spontaneous SSDH with progressive deterioration and symptoms of cauda equina syndrome after ineffective conservative treatment.

PATIENT'S CONCERN: A 38-year-old male patient presented with sudden lower back and bilateral leg pain.

DIAGNOSIS

A magnetic resonance imaging (MRI) scan on the third day after the onset of symptoms revealed a subdural hematoma from L1 to S1, presenting as hyperintensities on T1 weighted sequences and hypointensities to isointensities on T2 weighted sequences.

INTERVENTION

Laminectomy and subdural evacuation were performed immediately.

OUTCOMES

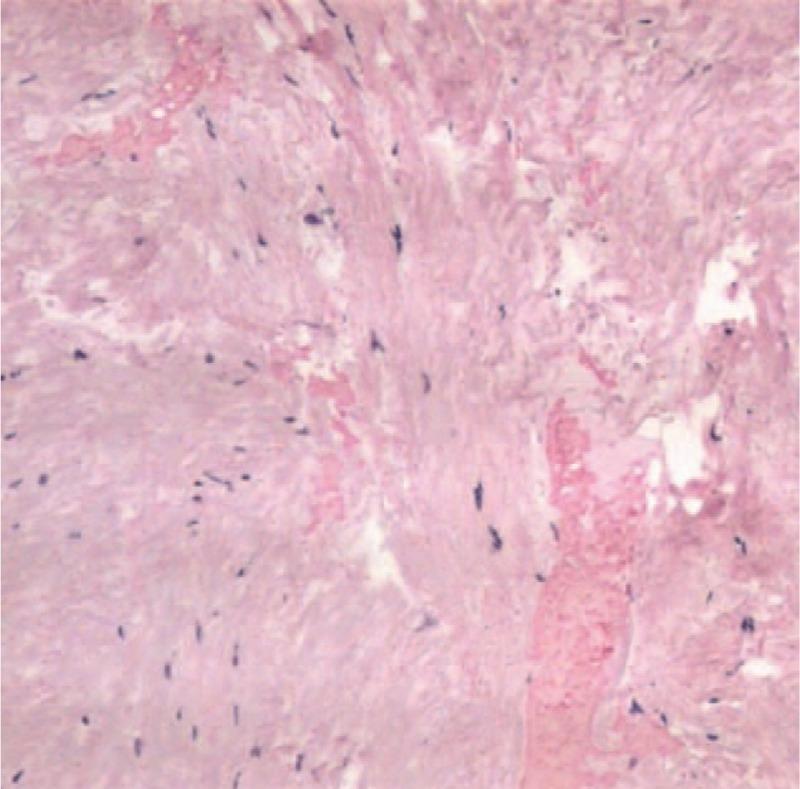
An abnormal ligamentum flavum was observed intraoperatively. A histological examination revealed extravasation of blood in the degenerated ligamentum flavum. Postoperatively, the lower limb pain improved immediately. At the 6-month follow-up, the pain and numbness of the lower limb disappeared, and the muscle strength of both legs recovered completely with normal gait.

LESSONS

Spontaneous SSDH with ligamentum flavum hematoma was caused by a sudden increase of intravenous pressure, resulting from a marked surge in the intra-abdominal or intrathoracic pressure. Consecutive MRI scans provided valuable information, leading to a diagnosis of spontaneous SSDH. The treatment protocol for spontaneous SSDH should be determined based on the location and stage of the hematoma, as well as the subject's neurological status.

摘要

理论依据

无潜在病理基础的自发性脊髓硬膜下血肿(SSDH)是一种非常罕见的病症。SSDH的治疗方案是在神经组织发生不可逆损伤之前进行早期诊断和治疗。然而,关于其发病机制以及治疗自发性SSDH是否需要手术,目前尚无定论。在此,我们报告一例罕见的自发性SSDH病例,该患者在保守治疗无效后病情逐渐恶化,并出现马尾综合征症状。

患者关注点

一名38岁男性患者出现突发下背部及双侧腿部疼痛。

诊断

症状发作后第三天进行的磁共振成像(MRI)扫描显示,L1至S1水平存在硬膜下血肿,在T1加权序列上表现为高信号,在T2加权序列上表现为低信号至高信号。

干预措施

立即进行椎板切除术及硬膜下血肿清除术。

结果

术中观察到黄韧带异常。组织学检查显示退变的黄韧带内有血液外渗。术后,下肢疼痛立即改善。在6个月的随访中,下肢疼痛和麻木消失,双腿肌力完全恢复,步态正常。

经验教训

伴有黄韧带血肿的自发性SSDH是由腹内或胸内压力显著升高导致静脉压突然升高引起的。连续的MRI扫描提供了有价值的信息,从而确诊为自发性SSDH。自发性SSDH的治疗方案应根据血肿的位置和阶段以及患者的神经状态来确定。

https://cdn.ncbi.nlm.nih.gov/pmc/blobs/d9f5/6708805/6325b1fc4787/medi-98-e14598-g001.jpg

文献AI研究员

20分钟写一篇综述,助力文献阅读效率提升50倍。

立即体验

用中文搜PubMed

大模型驱动的PubMed中文搜索引擎

马上搜索

文档翻译

学术文献翻译模型,支持多种主流文档格式。

立即体验