Suppr超能文献

双侧桥小脑角骨瘤:病例报告及文献复习

Bilateral Cerebellopontine Angle Osteomas: Case Report and Review of the Literature.

作者信息

Yilmaz Bahadir Muhammet, Egemen Emrah, Tekiner Ayhan, Öcal Özgür

机构信息

Department of Neurosurgery, Ministry of Health, Training and Research Hospital, Kayseri, Turkey.

Department of Neurosurgery, Medicine School of Gazi University, Ankara, Turkey.

出版信息

Asian J Neurosurg. 2019 Jan-Mar;14(1):280-282. doi: 10.4103/ajns.AJNS_330_17.

Abstract

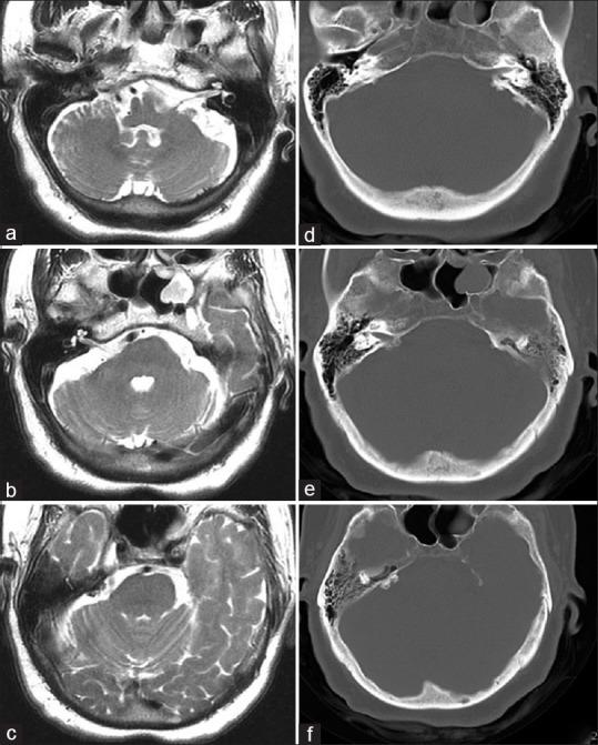
Osteomas and exostoses of cerebellopontine angle (CPA) are very rare, benign, and usually slow-growing lesions; few case reports have been published about these lesions in literature. The most common localizations of these temporal bone lesions are the mastoid cortex and the external acoustic canal. To our knowledge, only two cases of bilateral osteoma arising from both internal acoustic canals (IACs) have been reported. However, these tumors are usually asymptomatic and diagnose incidentally, and they can cause symptoms related to the 7 and 8 cranial nerve involvement. We report on a 75-year-old woman affected with bilateral osteoma of CPA and review the literature that 27 cases of IAC osteoma and exostoses have been reported.

摘要

桥小脑角(CPA)的骨瘤和外生骨疣非常罕见,为良性病变,通常生长缓慢;文献中关于这些病变的病例报告很少。这些颞骨病变最常见的部位是乳突皮质和外耳道。据我们所知,仅有两例双侧内耳道(IAC)骨瘤的报道。然而,这些肿瘤通常无症状,多为偶然诊断,也可引起与第Ⅶ和Ⅷ颅神经受累相关的症状。我们报告了一例75岁患有双侧CPA骨瘤的女性病例,并回顾了文献,其中已报道27例IAC骨瘤和外生骨疣病例。

https://cdn.ncbi.nlm.nih.gov/pmc/blobs/06c2/6417288/808d0b7e61d1/AJNS-14-280-g001.jpg

文献AI研究员

20分钟写一篇综述,助力文献阅读效率提升50倍。

立即体验

用中文搜PubMed

大模型驱动的PubMed中文搜索引擎

马上搜索

文档翻译

学术文献翻译模型,支持多种主流文档格式。

立即体验