• 文献检索
  • 文档翻译
  • 深度研究
  • 学术资讯
  • Suppr Zotero 插件Zotero 插件
  • 邀请有礼
  • 套餐&价格
  • 历史记录
应用&插件
Suppr Zotero 插件Zotero 插件浏览器插件Mac 客户端Windows 客户端微信小程序
定价
高级版会员购买积分包购买API积分包
服务
文献检索文档翻译深度研究API 文档MCP 服务
关于我们
关于 Suppr公司介绍联系我们用户协议隐私条款
关注我们

Suppr 超能文献

核心技术专利:CN118964589B侵权必究
粤ICP备2023148730 号-1Suppr @ 2026

文献检索

告别复杂PubMed语法,用中文像聊天一样搜索,搜遍4000万医学文献。AI智能推荐,让科研检索更轻松。

立即免费搜索

文件翻译

保留排版,准确专业,支持PDF/Word/PPT等文件格式,支持 12+语言互译。

免费翻译文档

深度研究

AI帮你快速写综述,25分钟生成高质量综述,智能提取关键信息,辅助科研写作。

立即免费体验

成人术后缩窄性假性动脉瘤血管腔内修复术中主动脉破裂:紧急植入挽救生命的覆膜支架。

Aortic rupture during endovascular repair of a postoperative coarctation pseudoaneurysm in an adult: Emergency lifesaving stent graft implantation.

作者信息

Kratimenos Theodoros, Patris Vasileios, Baikoussis Nikolaos G, Tomais Dimitrios, Samiotis Ilias, Argiriou Michalis

机构信息

Department of Radiology, Interventional Radiology Unit, Evangelismos General Hospital of Athens, Athens, Greece.

Department of Cardiac Surgery, Evangelismos General Hospital of Athens, Athens, Greece.

出版信息

Ann Card Anaesth. 2019 Apr-Jun;22(2):225-228. doi: 10.4103/aca.ACA_36_18.

DOI:10.4103/aca.ACA_36_18
PMID:30971610
原文链接:https://pmc.ncbi.nlm.nih.gov/articles/PMC6489404/
Abstract

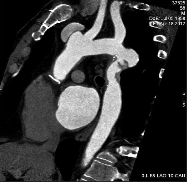
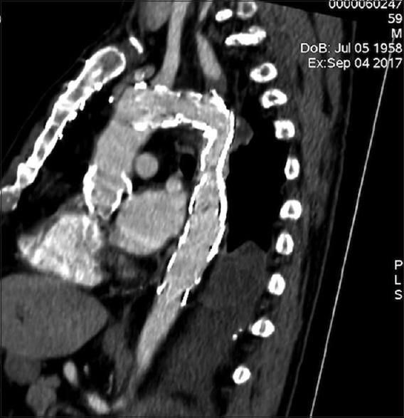
We present a case with aortic rupture during an operation of thoracic endovascular aortic repair of an anastomotic pseudoaneurysm. This happened after the use of a low-pressure remodeling balloon inside the covered part of the deployed endografts. It was successfully treated with a second more centrally in the aortic arch-implanted endograft with full coverage of the left subclavian artery orifice. This patient had a history of surgically operated aortic coarctation.

摘要

我们报告一例在胸主动脉腔内修复吻合口假性动脉瘤手术过程中发生主动脉破裂的病例。这发生在已植入的覆膜支架移植物覆盖部分内使用低压重塑球囊之后。通过在主动脉弓更中心位置植入第二个完全覆盖左锁骨下动脉开口的支架移植物成功治疗了该病例。该患者有主动脉缩窄手术史。

https://cdn.ncbi.nlm.nih.gov/pmc/blobs/5438/6489404/dea03eb8e05b/ACA-22-225-g006.jpg
https://cdn.ncbi.nlm.nih.gov/pmc/blobs/5438/6489404/9e219298981f/ACA-22-225-g001.jpg
https://cdn.ncbi.nlm.nih.gov/pmc/blobs/5438/6489404/3fd6b1bd4529/ACA-22-225-g002.jpg
https://cdn.ncbi.nlm.nih.gov/pmc/blobs/5438/6489404/18e13f179778/ACA-22-225-g003.jpg
https://cdn.ncbi.nlm.nih.gov/pmc/blobs/5438/6489404/902ea986e7b3/ACA-22-225-g004.jpg
https://cdn.ncbi.nlm.nih.gov/pmc/blobs/5438/6489404/714d90dcfc9b/ACA-22-225-g005.jpg
https://cdn.ncbi.nlm.nih.gov/pmc/blobs/5438/6489404/dea03eb8e05b/ACA-22-225-g006.jpg
https://cdn.ncbi.nlm.nih.gov/pmc/blobs/5438/6489404/9e219298981f/ACA-22-225-g001.jpg
https://cdn.ncbi.nlm.nih.gov/pmc/blobs/5438/6489404/3fd6b1bd4529/ACA-22-225-g002.jpg
https://cdn.ncbi.nlm.nih.gov/pmc/blobs/5438/6489404/18e13f179778/ACA-22-225-g003.jpg
https://cdn.ncbi.nlm.nih.gov/pmc/blobs/5438/6489404/902ea986e7b3/ACA-22-225-g004.jpg
https://cdn.ncbi.nlm.nih.gov/pmc/blobs/5438/6489404/714d90dcfc9b/ACA-22-225-g005.jpg
https://cdn.ncbi.nlm.nih.gov/pmc/blobs/5438/6489404/dea03eb8e05b/ACA-22-225-g006.jpg

相似文献

1
Aortic rupture during endovascular repair of a postoperative coarctation pseudoaneurysm in an adult: Emergency lifesaving stent graft implantation.成人术后缩窄性假性动脉瘤血管腔内修复术中主动脉破裂:紧急植入挽救生命的覆膜支架。
Ann Card Anaesth. 2019 Apr-Jun;22(2):225-228. doi: 10.4103/aca.ACA_36_18.
2
Endovascular Repair of a Ruptured Aortic Extra-anatomic Bypass Pseudoaneurysm After Previous Coarctation Surgery.既往缩窄手术后继发破裂的主动脉解剖外旁路假性动脉瘤的血管内修复术
Innovations (Phila). 2015 Sep-Oct;10(5):370-2. doi: 10.1097/IMI.0000000000000195.
3
[Late complication of surgical repair of aortic coarctation: ruptured pseudoaneurysm of the aorta treated by thoracic endovascular aortic repair].[主动脉缩窄手术修复的晚期并发症:经胸主动脉腔内修复术治疗的主动脉假性动脉瘤破裂]
J Mal Vasc. 2010 Jun;35(3):189-93. doi: 10.1016/j.jmv.2010.01.078. Epub 2010 Mar 20.
4
Endovascular repair of paraanastomotic aneurysms after previous open aortic prosthetic reconstruction.既往开放性主动脉人工血管重建术后吻合口旁动脉瘤的血管腔内修复术。
Ann Vasc Surg. 2004 May;18(3):280-6. doi: 10.1007/s10016-004-0002-0.
5
Staged hybrid treatment of complex ascending aortic and distal aortic arch pseudoaneurysm after repair of aortic coarctation.主动脉缩窄修复术后复杂升主动脉及远端主动脉弓假性动脉瘤的分期杂交治疗
J Cardiovasc Surg (Torino). 2011 Jun;52(3):395-8. Epub 2008 Oct 24.
6
Endovascular Management of a Ruptured Aortic Arch Pseudoaneurysm Using the Snorkel Technique and Coil Embolization.使用“通气管”技术和弹簧圈栓塞术对破裂的主动脉弓假性动脉瘤进行血管内治疗
Ann Vasc Surg. 2017 May;41:281.e7-281.e10. doi: 10.1016/j.avsg.2016.09.035. Epub 2017 Feb 27.
7
Midterm results of endovascular repair of thoracic aortic false aneurysm formation after coarctation repair.缩窄修复术后胸主动脉假性动脉瘤形成的血管内修复中期结果。
Ann Vasc Surg. 2011 Apr;25(3):327-32. doi: 10.1016/j.avsg.2010.07.024. Epub 2010 Oct 6.
8
Endovascular repair of pseudoaneurysms after open surgery for aortic coarctation.主动脉缩窄开放手术后假性动脉瘤的血管内修复。
Interact Cardiovasc Thorac Surg. 2016 Jan;22(1):26-31. doi: 10.1093/icvts/ivv297. Epub 2015 Oct 26.
9
Endovascular repair of aortic coarctation pseudoaneurysm using an off-label "hourglass" stent-graft configuration.使用非标签“沙漏”型覆膜支架构型对主动脉缩窄假性动脉瘤进行血管内修复。
J Endovasc Ther. 2015 Jun;22(3):460-5. doi: 10.1177/1526602815581595. Epub 2015 Apr 15.
10
Endovascular covered stent treatment for descending aorta pseudoaneurysm following coarctation of the aorta repair in an infant.婴儿主动脉缩窄修复术后降主动脉假性动脉瘤的血管内覆膜支架治疗。
Heart Lung Circ. 2010 Dec;19(12):745-8. doi: 10.1016/j.hlc.2010.06.1058. Epub 2010 Aug 25.

本文引用的文献

1
Aortic rupture during stenting for recurrent aortic coarctation in an adult: live-saving, emergency, NuDEL all-in-one covered stent implantation.成人复发性主动脉缩窄支架置入术中主动脉破裂:挽救生命的紧急全覆膜一体化NuDEL支架植入术
Cardiol Young. 2017 Aug;27(6):1225-1228. doi: 10.1017/S1047951117000142. Epub 2017 Mar 6.
2
Aortic Wall Injury Related to Endovascular Therapy for Aortic Coarctation.与主动脉缩窄血管内治疗相关的主动脉壁损伤
Circ Cardiovasc Interv. 2015 Sep;8(9):e002840. doi: 10.1161/CIRCINTERVENTIONS.115.002840.
3
Role of endovascular repair in the management of late pseudo-aneurysms following open surgery for aortic coarctation.
血管内修复在主动脉缩窄开放手术后迟发性假性动脉瘤治疗中的作用。
Eur J Cardiothorac Surg. 2009 Oct;36(4):670-4. doi: 10.1016/j.ejcts.2009.04.056. Epub 2009 Jul 9.
4
Procedural results and acute complications in stenting native and recurrent coarctation of the aorta in patients over 4 years of age: a multi-institutional study.4岁以上患者主动脉缩窄原发及复发病变支架置入术的手术结果和急性并发症:一项多机构研究
Catheter Cardiovasc Interv. 2007 Aug 1;70(2):276-85. doi: 10.1002/ccd.21164.
5
Endovascular management of pseudo-aneurysms after previous surgical repair of congenital aortic coarctation.先天性主动脉缩窄既往手术修复后假性动脉瘤的血管内治疗
Eur J Cardiothorac Surg. 2007 Jun;31(6):1004-7. doi: 10.1016/j.ejcts.2007.02.036. Epub 2007 Apr 20.
6
Acute and intermediate outcomes, and evaluation of injury to the aortic wall, as based on 15 years experience of implanting stents to treat aortic coarctation.基于15年主动脉缩窄支架植入经验的急性和中期结果以及主动脉壁损伤评估。
Cardiol Young. 2007 Jun;17(3):307-18. doi: 10.1017/S1047951107000339. Epub 2007 Feb 26.
7
Hypothermic circulatory arrest for the surgical treatment of complicated adult coarctation of the aorta.低温循环停止用于复杂成人主动脉缩窄的外科治疗。
J Am Coll Cardiol. 2003 Mar 5;41(5):849-51. doi: 10.1016/s0735-1097(02)02923-6.
8
Predictors of aneurysmal formation after surgical correction of aortic coarctation.主动脉缩窄手术矫正后动脉瘤形成的预测因素。
J Am Coll Cardiol. 2002 Feb 20;39(4):617-24. doi: 10.1016/s0735-1097(01)01784-3.
9
Aortic aneurysms at the site of the repair of coarctation of the aorta: a review of 48 patients.主动脉缩窄修复部位的主动脉瘤:48例患者的回顾
Ann Thorac Surg. 1996 Mar;61(3):935-9. doi: 10.1016/0003-4975(95)01189-7.
10
Cystic medial necrosis in coarctation of the aorta: a potential factor contributing to adverse consequences observed after percutaneous balloon angioplasty of coarctation sites.
Circulation. 1987 Apr;75(4):689-95. doi: 10.1161/01.cir.75.4.689.