Suppr超能文献

一名有卡比多巴-左旋多巴抵抗性帕金森病病史的女性,因大型左后颅窝脑膜瘤出现四肢瘫痪。

Large left posterior fossa meningioma presenting with quadriplegia in a woman with history of carbidopa-levodopa resistant parkinsonism.

作者信息

Reyes Antonio Jose, Ramcharan Kanterpersad, Alvarez Maria, Greaves Wesley, Rampersad Fidel

机构信息

Neurology Unit, San Fernando Teaching Hospital.

Department of Medicine.

出版信息

Neurol Int. 2019 Mar 11;11(1):7815. doi: 10.4081/ni.2019.7815.

Abstract

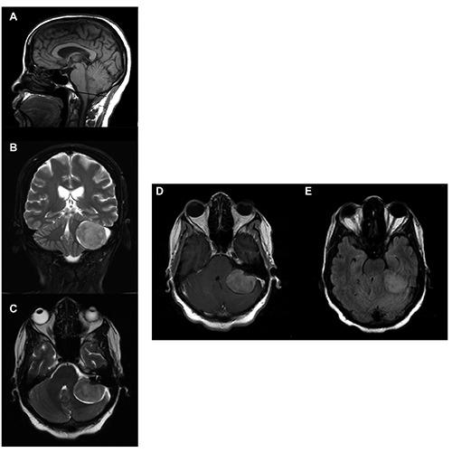
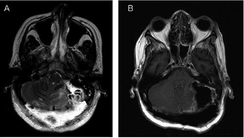
A 56-year-old Afro-Trinidadian woman with a history of a carbidopa-levodopa resistance Parkinsonian-like syndrome for 2 years, presented with acute onset spastic quadriplegia and decreased responsiveness. Diagnosis involved clinical and MR-imaging correlation consistent with a large left posterior fossa meningioma. Surgical removal of the tumor led to complete reversibility of the neurological manifestations associated with cerebellar tonsillar herniation beyond the foramen magnum and mass effect on the brainstem, cerebellum and midbrain regions. Pathological findings were typical of a meningioma. This case demonstrates the association of a large left posterior fossa meningioma and carbidopalevodopa resistant parkinsonism in an Afro-Trinidadian woman who presented with acute onset acute quadriplegia and decreased responsiveness. This case reminds clinicians that patients with dopa unresponsiveness and/or acute neurological deficit or deterioration should be worked up for other possible causes and adds to the literature on the association of parkinsonism and intracranial space occupying lesions.

摘要

一名56岁的非裔特立尼达妇女,患有对卡比多巴-左旋多巴耐药的帕金森样综合征2年,出现急性起病的痉挛性四肢瘫和反应迟钝。诊断通过临床与磁共振成像相关性得出,符合左侧后颅窝大型脑膜瘤。手术切除肿瘤后,与小脑扁桃体疝出枕大孔及对脑干、小脑和中脑区域的占位效应相关的神经学表现完全可逆。病理结果为典型的脑膜瘤。该病例显示了一名非裔特立尼达妇女左侧后颅窝大型脑膜瘤与卡比多巴-左旋多巴耐药帕金森病的关联,该妇女表现为急性起病的急性四肢瘫和反应迟钝。该病例提醒临床医生,对多巴无反应和/或有急性神经功能缺损或恶化的患者应排查其他可能病因,并为帕金森病与颅内占位性病变的关联文献增添了内容。

https://cdn.ncbi.nlm.nih.gov/pmc/blobs/cff9/6444560/69290486c7f8/ni-11-1-7815-g001.jpg

文献检索

告别复杂PubMed语法,用中文像聊天一样搜索,搜遍4000万医学文献。AI智能推荐,让科研检索更轻松。

立即免费搜索

文件翻译

保留排版,准确专业,支持PDF/Word/PPT等文件格式,支持 12+语言互译。

免费翻译文档

深度研究

AI帮你快速写综述,25分钟生成高质量综述,智能提取关键信息,辅助科研写作。

立即免费体验