Suppr超能文献

根治性膀胱切除术并原位新膀胱术后罕见的淋巴管瘤。

Unusual lymphocele following radical cystectomy with orthotopic neobladder.

作者信息

Kallappan Senthil, Manickam Ramalingam, Nachimuthu Sivasankaran, Ganesapandi Thilak

机构信息

Department of Urology, Urology Clinic, Gowtham Annexe, Coimbatore, Tamil Nadu, India.

出版信息

Indian J Urol. 2019 Apr-Jun;35(2):168-169. doi: 10.4103/iju.IJU_284_18.

Abstract

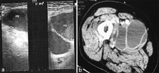
A 65-year-old male patient, a known case of carcinoma bladder, underwent radical cystectomy with ileal neobladder in 2016. Eleven lymph nodes were identified in the specimen. Histopathology revealed reactive lymphadenitis with sinus histiocytosis. The patient presented with a swelling in the right thigh, associated with dull pain, about 6 months after the procedure. Ultrasound of the right thigh and computed tomography of the region showed an isolated, large, loculated, cystic collection measuring 15 cm × 6 cm with internal septation in the pectineus and adductor longus muscles. Complete aspiration of fluid from the right thigh was done with ultrasound guidance and sent for analysis. The fluid appeared to be lymph, and the lesion turned out to be a lymphocele. There was no recurrence or infection following the aspiration till last follow-up visit. We report this rare lymphocele presentation (in the thigh without any extension from pelvis or groin) after 6 months, following radical cystectomy with neobladder, which was treated by one-time aspiration.

摘要

一名65岁男性患者,已知患有膀胱癌,于2016年接受了根治性膀胱切除术并采用回肠新膀胱术。标本中发现了11个淋巴结。组织病理学显示为伴有窦组织细胞增生的反应性淋巴结炎。该患者在手术后约6个月出现右大腿肿胀,并伴有钝痛。右大腿超声及该区域的计算机断层扫描显示在耻骨肌和长收肌中有一个孤立的、大的、有分隔的囊性肿物,大小为15 cm×6 cm。在超声引导下对右大腿的液体进行了完全抽吸并送去分析。液体似乎是淋巴液,结果发现该病变是一个淋巴管囊肿。直到最后一次随访,抽吸后均未出现复发或感染。我们报告了这例罕见的在新膀胱根治性膀胱切除术后6个月出现的淋巴管囊肿(位于大腿,没有从骨盆或腹股沟延伸而来),通过一次性抽吸进行了治疗。

https://cdn.ncbi.nlm.nih.gov/pmc/blobs/de34/6458803/9aa5987abe67/IJU-35-168-g001.jpg

文献AI研究员

20分钟写一篇综述,助力文献阅读效率提升50倍。

立即体验

用中文搜PubMed

大模型驱动的PubMed中文搜索引擎

马上搜索

文档翻译

学术文献翻译模型,支持多种主流文档格式。

立即体验