Suppr超能文献

肺结核:一种表现罕见的常见感染,孤立性鞍区结核瘤伴全垂体功能减退。

Tuberculosis: A Common Infection with Rare Presentation, Isolated Sellar Tuberculoma with Panhypopituitarism.

作者信息

Agrawal Vivek Mahesh, Giri Pramod Janardhan

机构信息

Department of Neurosurgery, Superspeciality Hospital and Government Medical College, Nagpur, Maharashtra, India.

出版信息

J Neurosci Rural Pract. 2019 Apr-Jun;10(2):327-330. doi: 10.4103/jnrp.jnrp_332_18.

Abstract

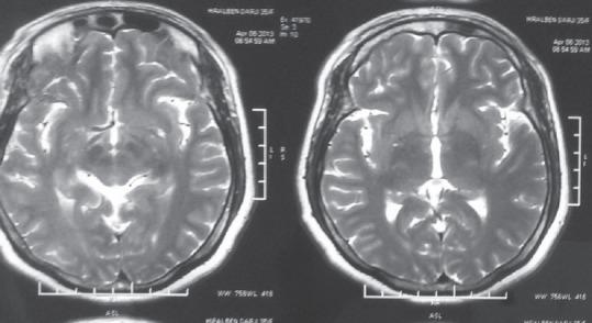
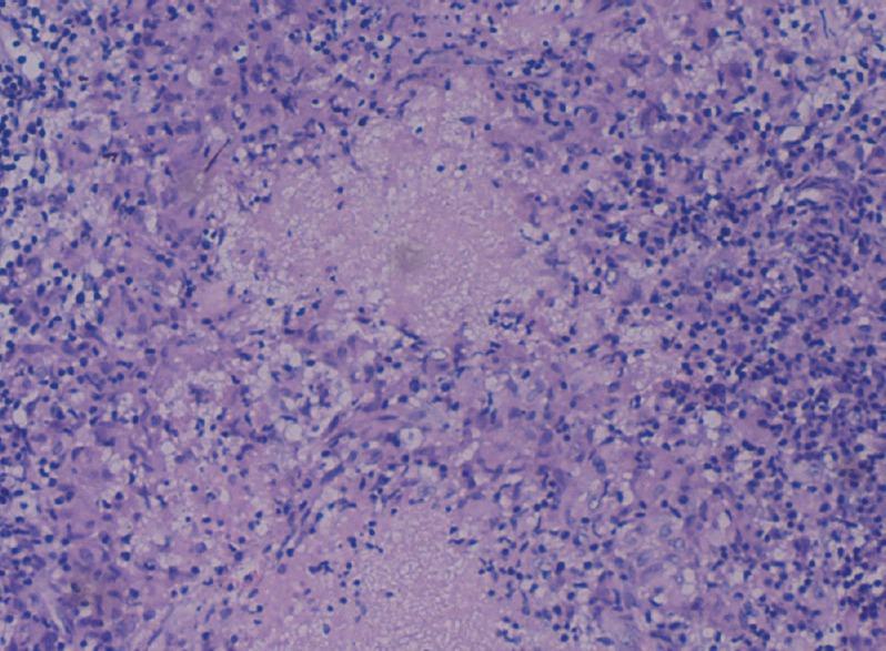
Isolated sellar tuberculoma is a very rare condition and usually presents with headache and decreased vision. It can present with panhypopituitarism with 3 nerve palsy. Tuberculoma mimics pituitary adenoma clinically as well as radiologically and requires endoscopic transsphenoidal surgery and histopathological examination for the final diagnosis. We present a rare case of a 40-year-old female presented with headache, decreased vision, and unilateral 3 nerve palsy with panhypopituitarism.

摘要

孤立性鞍区结核瘤是一种非常罕见的病症,通常表现为头痛和视力下降。它可伴有全垂体功能减退及动眼神经麻痹。结核瘤在临床和影像学上都酷似垂体腺瘤,最终诊断需要经鼻蝶窦内镜手术及组织病理学检查。我们报告一例罕见病例,一名40岁女性,表现为头痛、视力下降、单侧动眼神经麻痹伴全垂体功能减退。

https://cdn.ncbi.nlm.nih.gov/pmc/blobs/ded6/6454932/4489b07109fb/JNRP-10-327-g001.jpg

文献AI研究员

20分钟写一篇综述,助力文献阅读效率提升50倍。

立即体验

用中文搜PubMed

大模型驱动的PubMed中文搜索引擎

马上搜索

文档翻译

学术文献翻译模型,支持多种主流文档格式。

立即体验