• 文献检索
  • 文档翻译
  • 深度研究
  • 学术资讯
  • Suppr Zotero 插件Zotero 插件
  • 邀请有礼
  • 套餐&价格
  • 历史记录
应用&插件
Suppr Zotero 插件Zotero 插件浏览器插件Mac 客户端Windows 客户端微信小程序
定价
高级版会员购买积分包购买API积分包
服务
文献检索文档翻译深度研究API 文档MCP 服务
关于我们
关于 Suppr公司介绍联系我们用户协议隐私条款
关注我们

Suppr 超能文献

核心技术专利:CN118964589B侵权必究
粤ICP备2023148730 号-1Suppr @ 2026

文献检索

告别复杂PubMed语法,用中文像聊天一样搜索,搜遍4000万医学文献。AI智能推荐,让科研检索更轻松。

立即免费搜索

文件翻译

保留排版,准确专业,支持PDF/Word/PPT等文件格式,支持 12+语言互译。

免费翻译文档

深度研究

AI帮你快速写综述,25分钟生成高质量综述,智能提取关键信息,辅助科研写作。

立即免费体验

埃利斯-范克里维尔德综合征的口腔表现。一例罕见病例报告。

Oral manifestations of ellis-van creveld syndrome. A rare case report.

作者信息

Peña-Cardelles Juan-Francisco, Domínguez-Medina David A, Cano-Durán Jorge A, Ortega-Concepción Daniel, Cebrián José-Luis

机构信息

DDS, Oral Medicine Postgraduate in Complutense University of Madrid. Oral and Maxillofacial Surgery Service, Alcorcon Southern Hospital.

MD, Oral and Maxillofacial Surgery Service, Alcorcon Southern Hospital.

出版信息

J Clin Exp Dent. 2019 Mar 1;11(3):e290-e295. doi: 10.4317/jced.55543. eCollection 2019 Mar.

DOI:10.4317/jced.55543
PMID:31001402
原文链接:https://pmc.ncbi.nlm.nih.gov/articles/PMC6461737/
Abstract

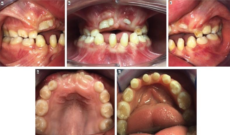
Ellis-van Creveld syndrome (EVC) or chondroectodermal dysplasia is an autosomal recessive disorder, characterized by dwarfism, polydactyly, hypoplastic fingernails and congenital heart defects, finding in most of the cases orofacial anomalies. We describe a clinical case of a 9 year old male patient diagnosed with EVC who visited our Maxillofacial private consultation at Alcorcon Southern Hospital, presenting typical oral manifestations such as dental agenesis, delayed eruption, hypoplasia of the enamel, dental dysmorphism, taurodontism and supernumerary teeth. EVC syndrome is a rare disease and requires a multidisciplinary approach. Oral features are constant and requires the jointly performance of Odontologist and Maxillofacial surgeon aiming to get an appropriate treatment sequence surgery-orthodontics in order to achieve a suitable functional result to improve the quality of life of these patients. Ellis-Van creveld syndrome, chondroectodermal dysplasia, oral manifestations, craniofacial manifestations.

摘要

埃利斯-范克里维尔德综合征(EVC)或软骨外胚层发育不良是一种常染色体隐性疾病,其特征为侏儒症、多指(趾)畸形、指甲发育不全和先天性心脏缺陷,多数病例还伴有口面部异常。我们描述了一例9岁男性患者的临床病例,该患者被诊断为EVC,前来我们位于阿尔科孔南部医院(Alcorcon Southern Hospital)的颌面私人诊所就诊,表现出典型的口腔症状,如牙齿缺失、萌出延迟、釉质发育不全、牙齿形态异常、牛牙症和多生牙。EVC综合征是一种罕见疾病,需要多学科方法进行治疗。口腔特征较为固定,需要牙科医生和颌面外科医生共同协作,制定合适的治疗顺序,即先手术再正畸,以获得理想的功能效果,提高这些患者的生活质量。埃利斯-范克里维尔德综合征、软骨外胚层发育不良、口腔表现、颅面部表现

https://cdn.ncbi.nlm.nih.gov/pmc/blobs/23ab/6461737/7df99e30daca/jced-11-e290-g003.jpg
https://cdn.ncbi.nlm.nih.gov/pmc/blobs/23ab/6461737/eb9d6811cef3/jced-11-e290-g001.jpg
https://cdn.ncbi.nlm.nih.gov/pmc/blobs/23ab/6461737/7b2668ab694c/jced-11-e290-g002.jpg
https://cdn.ncbi.nlm.nih.gov/pmc/blobs/23ab/6461737/7df99e30daca/jced-11-e290-g003.jpg
https://cdn.ncbi.nlm.nih.gov/pmc/blobs/23ab/6461737/eb9d6811cef3/jced-11-e290-g001.jpg
https://cdn.ncbi.nlm.nih.gov/pmc/blobs/23ab/6461737/7b2668ab694c/jced-11-e290-g002.jpg
https://cdn.ncbi.nlm.nih.gov/pmc/blobs/23ab/6461737/7df99e30daca/jced-11-e290-g003.jpg

相似文献

1
Oral manifestations of ellis-van creveld syndrome. A rare case report.埃利斯-范克里维尔德综合征的口腔表现。一例罕见病例报告。
J Clin Exp Dent. 2019 Mar 1;11(3):e290-e295. doi: 10.4317/jced.55543. eCollection 2019 Mar.
2
Ellis-van Creveld syndrome with unusual oral and dental findings: A rare clinical entity.伴有不寻常口腔和牙齿表现的埃-范克里维尔德综合征:一种罕见的临床病症。
Dent Res J (Isfahan). 2016 Mar-Apr;13(2):193-7. doi: 10.4103/1735-3327.178213.
3
Ellis-van Creveld Syndrome埃利斯-范克里维尔德综合征
4
A rare case report of Ellis Van Creveld syndrome in an Indian patient and literature review.一名印度患者患埃利斯-范克里维尔德综合征的罕见病例报告及文献综述。
J Oral Biol Craniofac Res. 2015 May-Aug;5(2):98-101. doi: 10.1016/j.jobcr.2015.05.003. Epub 2015 Jun 10.
5
Ellis-van Creveld syndrome: A rare clinical entity.埃利斯-范克里维尔德综合征:一种罕见的临床病症。
J Oral Maxillofac Pathol. 2013 Jan;17(1):132-5. doi: 10.4103/0973-029X.110716.
6
Ellis-van Creveld with an Unusual Dental Anomaly: A Case Report.伴有罕见牙齿异常的埃利斯-范克里维尔德综合征:一例报告
Iran J Med Sci. 2017 Sep;42(5):501-504.
7
Peripheral odontogenic fibroma in a child with Ellis-van Creveld syndrome: Case report.儿童外周性牙源性纤维瘤伴 Ellis-van Creveld 综合征:病例报告。
Spec Care Dentist. 2024 Jan-Feb;44(1):103-108. doi: 10.1111/scd.12855. Epub 2023 Apr 11.
8
Oral manifestations of Ellis-van Creveld syndrome: report of two siblings with unusual dental anomalies.埃利斯-范克里维尔德综合征的口腔表现:两例患有罕见牙齿异常的兄弟姐妹的报告。
J Clin Pediatr Dent. 1998 Winter;22(2):159-65.
9
Ellis-van Creveld syndrome.埃利斯-范克里夫德综合征
BMJ Case Rep. 2013 Jul 9;2013:bcr2013009463. doi: 10.1136/bcr-2013-009463.
10
The importance of oral-clinical findings for the correct diagnosis of Ellis-van Creveld syndrome.
Gen Dent. 2011 Sep-Oct;59(5):e206-9.

引用本文的文献

1
High prevalence of taurodontism in North China and its relevant factors: a retrospective cohort study.华北地区尖牙型磨牙的高发率及其相关因素:一项回顾性队列研究。
Oral Radiol. 2023 Apr;39(2):266-274. doi: 10.1007/s11282-022-00630-1. Epub 2022 Jun 30.
2
First case reported of COVID-19 infection in an adult patient with Ellis-van Creveld Syndrome.首例埃利斯-范克雷维尔德综合征成年患者感染新冠病毒病例报告。
Prog Pediatr Cardiol. 2022 Dec;67:101508. doi: 10.1016/j.ppedcard.2022.101508. Epub 2022 Mar 1.
3
Taurodontism in dental genetics.牙遗传学中的牛牙样牙症

本文引用的文献

1
Ellis-Van Creveld syndrome in siblings: A rare case report.兄弟姐妹中的埃利斯-范克里维尔德综合征:一例罕见病例报告。
J Pharm Bioallied Sci. 2016 Oct;8(Suppl 1):S179-S181. doi: 10.4103/0975-7406.191954.
2
Oral and craniofacial manifestations of Ellis-van Creveld syndrome: Case series.
J Craniomaxillofac Surg. 2016 Aug;44(8):919-24. doi: 10.1016/j.jcms.2016.04.025. Epub 2016 Apr 26.
3
Ellis-van Creveld syndrome with unusual oral and dental findings: A rare clinical entity.伴有不寻常口腔和牙齿表现的埃-范克里维尔德综合征:一种罕见的临床病症。
BDJ Open. 2021 Jul 9;7(1):25. doi: 10.1038/s41405-021-00081-6.
Dent Res J (Isfahan). 2016 Mar-Apr;13(2):193-7. doi: 10.4103/1735-3327.178213.
4
Chondroectodermal dysplasia: a rare syndrome.软骨外胚层发育不良:一种罕见综合征。
J Dent (Tehran). 2014 May;11(3):361-4. Epub 2014 May 31.
5
Ellis-van Creveld syndrome.埃利斯-范克里夫德综合征
BMJ Case Rep. 2013 Jul 9;2013:bcr2013009463. doi: 10.1136/bcr-2013-009463.
6
Oral manifestations of Ellis-van Creveld syndrome.
Contemp Clin Dent. 2012 Apr;3(Suppl 1):S55-9. doi: 10.4103/0976-237X.95106.
7
The importance of oral-clinical findings for the correct diagnosis of Ellis-van Creveld syndrome.
Gen Dent. 2011 Sep-Oct;59(5):e206-9.
8
Ellis-van Creveld syndrome in an Indian child: a case report.一名印度儿童患埃利斯-范克里维尔德综合征:病例报告。
Imaging Sci Dent. 2011 Dec;41(4):167-70. doi: 10.5624/isd.2011.41.4.167. Epub 2011 Dec 19.
9
Chondroectodermal dysplasia (Ellis-van Creveld syndrome): a case report.软骨外胚层发育不良(埃利斯-范克里弗德综合征):一例报告。
J Oral Sci. 2010 Jun;52(2):333-6. doi: 10.2334/josnusd.52.333.
10
Oral manifestations in Ellis-van Creveld syndrome: report of a case and review of the literature.埃利斯-范克里维尔德综合征的口腔表现:一例报告及文献综述
J Oral Maxillofac Surg. 2010 Feb;68(2):456-60. doi: 10.1016/j.joms.2009.07.026. Epub 2010 Jan 15.